Logo Passei Direto
Buscar
Material
páginas com resultados encontrados.
páginas com resultados encontrados.

Prévia do material em texto

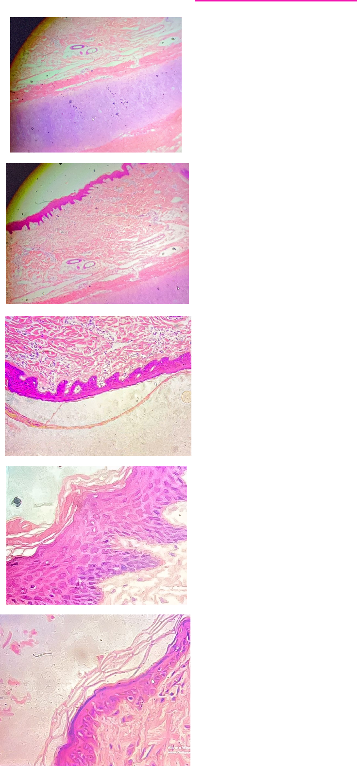
Imagem das lâminas
Essa foto vai mostrar um pedaço de cartilagem ( tecido-
conjuntivo, com classificação de suporte ), podemos iden-
tificar nessa parte roxa, pela quantidade de células com
um núcleo maior juntas. ( pedaço de orelha de coelho )
Vai ser a mesma lâmina que a anterior, porém nessa
conseguimos ver uma parte do tecido epitelial ( na pe-
riferia com a tonalidade de rosa mais forte, ainda con-
seguimos ver nessa camada a transição de um leve
roxo até uma parte somente rosa ) e a parte abaixo
em um rosa mais claro vai ser o tecido conjuntivo.
( pele )
Tanto nessa imagem quanto nas de baixo coseguimos
ver o tecido epitelial e conjuntivo. ( pele )
A epiderme vai apresentar o tecido epitelial ( parte rosa
mais forte, vai se dar a coloração por ter suas células
encontrwadas de maneira mais junta, em sua parte mais
basal irá apresentar uma coloração roxeada pela pre-
sença de núcleo, que com o passar das camadas irá di-
minuindo até que desaparecerá, assim somente vemos
uma coloração mais rosa, por só possuir a estrutura da
célula ) vai ter uma das funções a de revestimento, por
isso ela tem que ser mais junta, essas linhas que apare-
cem de maneira mais esterna vai ser a queratina ( a pele
pode ser mais fina ou grossa, vai depender da quantida-
de de queratina, uma pele mais fina vai ter menos quera-
tina e se apresentará com maiores espaçamentos entre
ela, enquanto uma mais grossa irá ser mais densa, ela
vai se encontrar mais densa em lugares que tenham cer-
to atritos - pés, mãos em pessoas que fazem certos
exercícios físicos...-). Na derme veremos o tecido con-
juntivo, que vai ter esse rosa mais claro pelo espaça-
mento das células, uma das funções dela vai ser o de
preenchimento, além de ser vascularizada, fazendo com
que o tecido epitelial dependa dela para ter seus nutrien-
tes e oxigênio, que vai ir pela difusão dos capilares pre-
sente na derme.
Aqui podemos ver glânduas sudoríparas e sebáceas,
presentes no músculo liso, além de espaços amare-
los que estariam os folículos pilosos - que em volta
vai estar o músculo eretor do pelo. ( pele )
( mesma lâmina que a de cima )
Aqui vemos um tecido hormonal, a parotida, com
glândulas cordonais, que não irão formar bolsas
igual ao acinar ( folicular ), pois toda substância
que elas formarem já serão secretadas na mesma
hora
Aqui temos uma glândula de arranjo folicular, vai ter a
formação dessas bolsas para guardar a secreção, nesse
caso vemos uma tireoide.
( Tireoide também )
 Essa lâmina vai ser a de um pulmão de um mamífero, es-
ses espaços vai ser onde estava os alvéolos.
A estrutura dessa ima-
gem vai ser um bron-
quiolo terminal
( podemos falar bron-
quiolo támbem )
E na imagem abaixo tem um
Bronquíolo respiratório
( acima do b. terminal )
Aqui vai ser o pulmão de uma ave, que vai ter menos espa-
ços por terem menos alvéolos, pelo motivo que não preci-
sarão de tanto espaço/ar, quanto mamíferos.
lâmina de uma traqueia, a parte roxa vai ser cartilagem e a
camada rente a ela vai ser de músculo liso, em seguida
por tecido conjuntivo e epitelial
Imagem aproximada da traqueia, onde fica os cílios.
Classificação do epitélio traqueal:
- Epitélio pseudoestratificado colu-
nar ciliado com células caliciforme
Subdivisão dos brônquios e bronquiolos no pul-
mão depois da traquéia:
1. Brônquio ( maior e com bastante cartilagem )
2. Bronquiolo ( vai ser menor, mas ainda com
bastante pedaços de cartilagem )
3. Bronquiolo terminal ( menor e poucos pontos
de cartilagem ao redor )
4. Bronquiolo respiratório ( menor e sem cartila-
gem )
5. Ducto alveolar
6. Saco alveolar
7. Alvéolo
Lâmina de uma artéria, essa vai ser uma artéria elastica,
pois vai possuir fibras elásticas na sua tunica média.
Aqui conseguimos ver melhor a parte elástica, será
presente justamente nessas ondulações no meio.
Essa lâmina será a mesma artéria, mas com coloração di-
ferente que vai corar somente fibras, para ser mais evi-
dente.
Vai ser a lâmina de uma língua, em sua parte dorsal apre-
sentará papilas com mais queratina ( principalmente em al-
gumas espécies de animais ) e com músculo no meio.
Vai ser o baço, pode
fazer ou não parte
do sistema linfático,
faz parte do sistema
imune - de defesa
com os centros ger-
minativos - não irá
passar linfa nele,
mas o sangue.
O baço vai ter:
1. Polpa branca - áreas em roxo ( concentração
de linfócitos - núcleo grande -, que vai corar
de forma basofílica )
2. Polpa vermelha - vão ser as áreas mais aver-
melhadas, vai ter hemácias - células com
pouco núcleo ou nenhum - ( vão corar eusi-
nofílico )
3. Músculo - são as partes rosas ( vai haver a
passagem de hemácias por ele )
Vai ser o intestino delgado, vai ter uma mucosa com bas-
tante glândula e submucosa pequena.
Nas áreas de vilosidade, vai ser recoberta de microvilosi-
dades.
( intestino delgado )
Parte da cápsula da bolsa cloacal
Parte da luz da bolsa cloacal, confluência de várias pro-
jeções, corando basofílicas ( células de defesa com nú-
cleo grande )
órgão imune de aves
Esse é o oviduto, estrutura junto da bolsa cloacal. Ele
vai estar presente somente em fêmeas.
( o ovo vai começar a se formar no ovário e terminar
sua maturação no oviduto até sair ).
É o retículo, vai ter prjeções
de tamanhos diferentes
umas das outras, além de ter
grandes projeções.
( na macroscopia vai ter for-
mato de favo de mel ).
É o rumém, vai ter projeções papilares na mucosa,
que são alongadas e do perto umas das outras e mais
ou menos do mesmo tamanho
( Parte abaixo das projeções do rúmem )
É o omaso, vai ter projeções próximas umas das
outras e bem longas e no meio vai ter músculo.
Na macroscopia vai ser chamado de folhoso.
É o abomaso, com a característica de possuir muitas glându-
las na mucosa e vai ter também projeções - como nas outras
cavidades dos ruminantes - sendo em menor quantidade. (
uma aqui, uma lááá ).
Vai ter mais glâdulas e são mais aparentes que no estômago.
É o estômago, ele vai ter mais projeções e com
as glândulas da mucosa menos aparente ).
( estômago também )
Esôfago, com glândulas na
submucosa
Támbem é um esôfago, de outra lâmina ( junto com o papo )
Papo, vai estar do lado do esôfago na lâmina de esôfago acima.
Vai ter muito mais glândulas na submucosa, por ter como fun-
ção umidecer o alimento.
É um linfonodo, essa imagem tá a parte da cápsula
essa região em roxo ( basofílica ) vai ser a região de córtex
do linfonodo.
Maior celularidade devido a maior quantidade de linfócitos
maduros
A região abaixo com menos celularidade -
com menos células - e linfócitos imatu-
ros ( com mais citoplasma ), é a medula (
mais eusinofílico )
Diferente do baço, não vai ter músculo e o lin
Isso para mamíferos em ge-
ral, menos suínos, que vão
ter um padrão invertido
Área de hilo, local de dobra do linfonodo que vai haver
entrada e saída de vasos sangíneos e de saída de vasos
eferentes.
Parte da cápsula do linfonodo que vai parecer queratina,
mas é tecido conjuntivo.
Diferente do baço, o linfonodo não vai ter músculo pelo meio do parênquima e o linfono-
do vai ter um arranjo com cápsula, o cótex com uma “bolinhas” e medula embaixo.
 Aqui vai ser a lâmina de um fígado

Mais conteúdos dessa disciplina