Logo Passei Direto
Buscar
Material
páginas com resultados encontrados.
páginas com resultados encontrados.
left-side-bubbles-backgroundright-side-bubbles-background

Crie sua conta grátis para liberar esse material. 🤩

Já tem uma conta?

Ao continuar, você aceita os Termos de Uso e Política de Privacidade

left-side-bubbles-backgroundright-side-bubbles-background

Crie sua conta grátis para liberar esse material. 🤩

Já tem uma conta?

Ao continuar, você aceita os Termos de Uso e Política de Privacidade

left-side-bubbles-backgroundright-side-bubbles-background

Crie sua conta grátis para liberar esse material. 🤩

Já tem uma conta?

Ao continuar, você aceita os Termos de Uso e Política de Privacidade

left-side-bubbles-backgroundright-side-bubbles-background

Crie sua conta grátis para liberar esse material. 🤩

Já tem uma conta?

Ao continuar, você aceita os Termos de Uso e Política de Privacidade

left-side-bubbles-backgroundright-side-bubbles-background

Crie sua conta grátis para liberar esse material. 🤩

Já tem uma conta?

Ao continuar, você aceita os Termos de Uso e Política de Privacidade

left-side-bubbles-backgroundright-side-bubbles-background

Crie sua conta grátis para liberar esse material. 🤩

Já tem uma conta?

Ao continuar, você aceita os Termos de Uso e Política de Privacidade

Prévia do material em texto

Cirurgia Especializada 
Derrame Pleural 
 
 
Acumulo anormal de liquido na cavidade pleural, pode acontecer por duas formas: 
 
• Doença Pleural Primária; 
• Manifestação pleural de doença sistêmica; 
 
Sintomas; 
Assintomáticos ou até mesmo inespecífico com dor, tosse, dispneia. 
 
Propedêutica armada: 
 
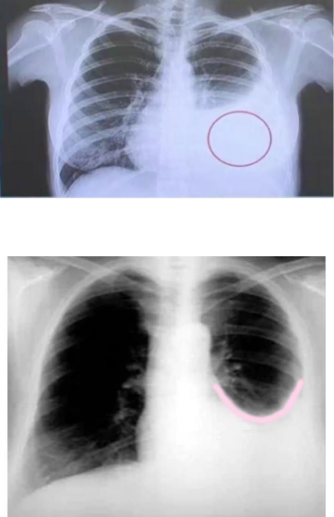
à Raio-X de Tórax Posteroanterior com líquido pleural detectável entre 100 a 150 mL 
 
 
 
 
Parábola de Damoiseau: 
 
 
 
 
 
à Tomografia: 
 
A TC com contraste permite avaliar a distensão entre derrame, espessamento e lesões 
solidas da pleura; 
 
Avaliar parênquima pulmonar. 
 
 
à USG: 
 
Facilita o diagnóstico; 
Facilita a Toracocentese. 
 
 
à Toracocentese: 
 
Diagnóstico e alivio. 
 
Antes e depois da Toracocentese: 
 
 
Expansão pulmonar após toracocentese. 
 
 
 
 
 
 
 
 
 
 
 
 
 
 
 
#CAINAPROVA 
 
Critérios de Light: 
 
Serve para definir entre liquido Exsudato e Transudato. 
 
 
 
 
 
à Aspecto do liquido pleural: 
 
Amarelo Citrino: Inespecífico à ICC, Hepatopatia, tuberculose, neoplasia, colagenoses; 
Hemático: Neoplasia, TEP, Trauma (pós-operatório); 
 
Quiloso: Quilotórax; à Aspecto leitoso na toracocentese (TGL >110 mg/dl), sendo o 
liquido quiloso com uma composição vasta: gorduras, proteínas, glicose, eletrólitos, 
vitaminas, linfócitos, imunoglobubulinas. Causas traumática ou não traumáticas (por 
natureza obstrutiva). 
 
Tratamento Quilotórax: 
 
Clínica: 
Jejum oral, deita com triqlicérides de cadeia média, alimentação parenteral, 
somatostatina; 
 
Quimioterapia: 
Nas doenças neoplásicas; 
 
Radioterapia: 
Quando indicada para tratamento da doença de base. 
 
Cirúrgico: 
Drenagem do espaço pleural; 
Ligadura do ducto torácico 
 
Purulento: Empiema. 
 
 
 
 
à Avaliação Bioquímica: 
 
• pH; 
• Proteínas totais; 
• DHL; 
• Glicose; 
• ADA; (ADA elevado: Tuberculose, empiema, linfomas) 
• Amilase; 
• Triglicérides. 
 
à Avaliação da citologia: 
• Leucometria; 
 
Predominância de neutrófilos à processos agudos 
-Derrame parapneumonico; 
-Colagenoses; 
-TB fase aguda; 
-Pós-manipulação 
 
Predominância de linfócitos à processo crônico. 
-Tuberculose; 
-Neoplasia; 
-Colagenoses; 
 
Predominância de eosinófilos à Pós-hemotórax: 
-TEP 
 
• Citologia oncótica; 
• Células leveduriformes; 
 
 
à Microbiologia: 
• Bacterioscopia, cultura geral; 
• Baciloscopia, micológico direto e cultura para BAAR e fungos. 
 
 
 
 
 
 
 
 
Solicitar a Biópsia ou fazer Pleuroscopia para elucidar a causa. 
 
 
Tratamento: 
 
Principios gerais: 
1) Especifico para causa base; 
2) Sintomáticos; 
3) Nutrição; 
4) Oxigenioterapia; 
5) Fisioterapia. 
 
Tratamentos invasivos: 
 
1) Toracocentese; 
2) Drenagem; 
3) Pleurodese à Indicação derrame pleural maligno redicivante sintomático em 
paciente com pulao expansível e com Karnofsky >70. 
4) Toracoscopia; 
5) Decorticação; 
6) Pleurostomia. 
 
 
Derrame Pleural Neoplásico à (se redicivante após documentado, fazer Pleurodese) 
 
Primário: 
• Mesotelioma; 
• Raro; 
 
Secundário: 
• Neoplasias: pulmão, mama, ovário, linfoproliferações; 
• É mais frequente sendo secundário 
 
 
Derrame Parapenumônica: Fases fisiopatológicas. 
 
1) Exudativa (água + proteínas); 
2) Fibrinopurulenta (bactérias); 
3) Organização (fibroblastos) 
 
ATB: 
 
É indicado para todos à Direcionados para perfil local/padrões de resistência. 
 
Indicados por terem boa penetração pleural: Penicilinas, cefalosporinas e metronidazol. 
 
 
Critério drenagem em infecção pleural: 
 
1) Conteúdo purulento; 
2) Achados de organismos sugestivos (Gram e/ou cultura +); 
3) pH Lpl < 7,2 (evolução clinica desfavorável); 
4) Glicose < 40/ DHL > 1000; 
5) Coleção septada à abordagem precoce.

Mais conteúdos dessa disciplina