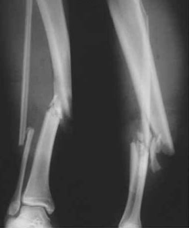
Após um acidente automobilístico um indivíduo sofreu fratura nos ossos da perna. Observe a radiografia abaixo, indicando a localização da fratura.

Adaptado de: Kojima, K. E.; Ferreira, R. V. Fraturas da diáfise da tíbia. Rev Bras Ortop. 2011;46(2):130-5
Em relação ao sistema esquelético e à fratura presente na imagem, analise as afirmativas a seguir:
É correto o que se afirma em:
Lucas Carlos
ano passado
1 e 2
Já tem uma conta?
Ao continuar, você aceita os Termos de Uso e Política de Privacidade
Aline
há 3 meses
1 e 3