Logo Passei Direto
Buscar
Material
páginas com resultados encontrados.
páginas com resultados encontrados.
left-side-bubbles-backgroundright-side-bubbles-background

Experimente o Premium!star struck emoji

Acesse conteúdos dessa e de diversas outras disciplinas.

Libere conteúdos
sem pagar

Ajude estudantes e ganhe conteúdos liberados!

left-side-bubbles-backgroundright-side-bubbles-background

Experimente o Premium!star struck emoji

Acesse conteúdos dessa e de diversas outras disciplinas.

Libere conteúdos
sem pagar

Ajude estudantes e ganhe conteúdos liberados!

Prévia do material em texto

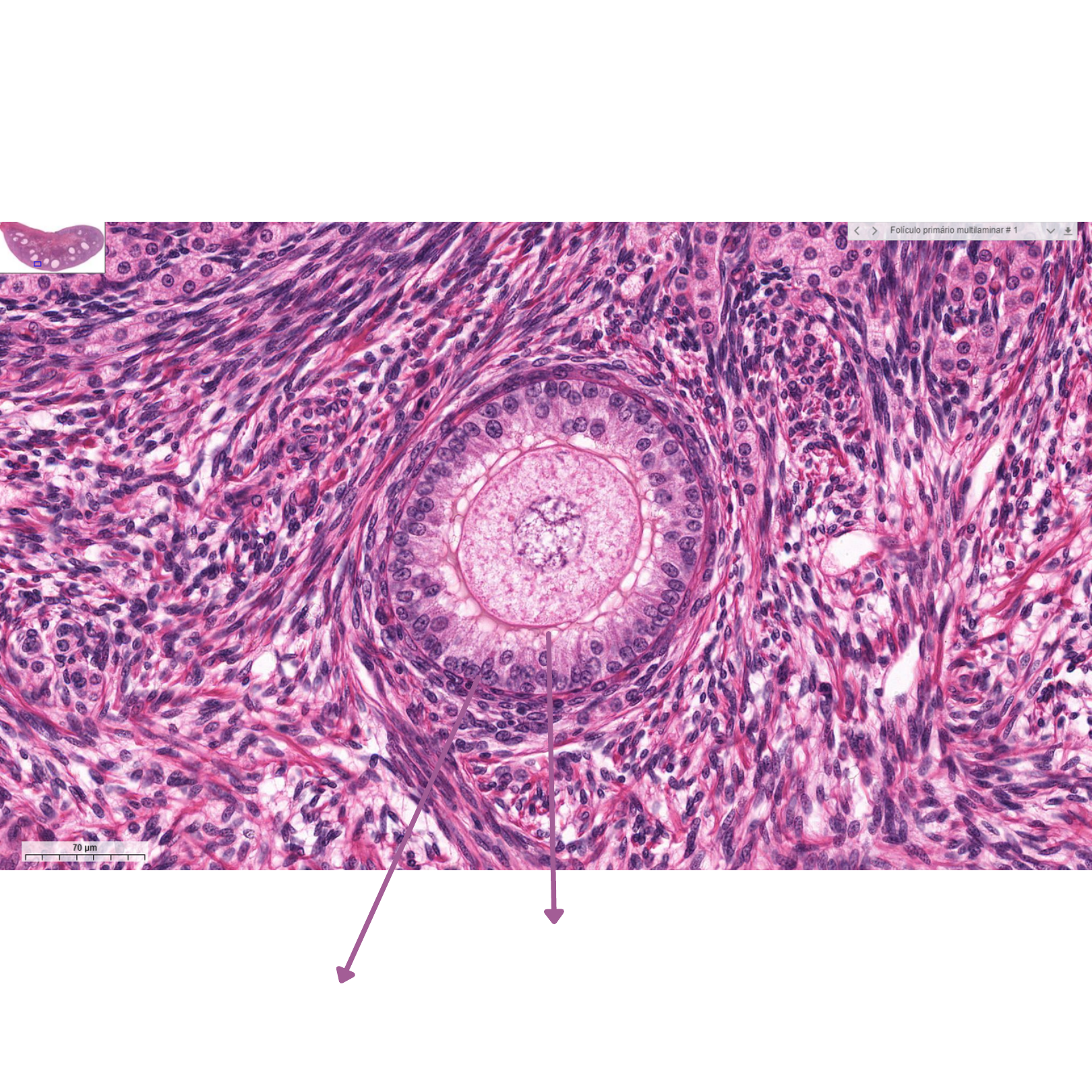
Folículo primário
Zona pelúcida
Células da granulosa
Fonte: https://histologyguide.com/
Folículo primário: células foliculares cúbicas,
ovócito maior, células foliculares começam a se
multiplicar por divisão mitótica;
Células da granulosa: células foliculares que se
replicaram;
Zona pelúcida: região proteica que faz o
reconhecimento dos espermatozoides;
Folículo unilaminar: uma única camada de
células da granulosa;
Multilaminar: mais de uma camada de células
da granulosa.