Logo Passei Direto
Buscar
Material
páginas com resultados encontrados.
páginas com resultados encontrados.

Prévia do material em texto

CAIOAP
Máquina de escribir
CAIOAP
Máquina de escribir
Arteria
CAIOAP
Máquina de escribir
Túnica Adventicia 
CAIOAP
Máquina de escribir
Túnica medianull 
CAIOAP
Máquina de escribir
Túnica Íntima 
CAIOAP
Línea
CAIOAP
Línea
CAIOAP
Máquina de escribir
Endotelio 
CAIOAP
Máquina de escribir
celulas aplastadas 
CAIOAP
Máquina de escribir
mas desenvolvida 
CAIOAP
Máquina de escribir
Arteria pequeña
CAIOAP
Máquina de escribir
apresenta hasta 8 capas de celulas muscular lisa 
CAIOAP
Máquina de escribir
Arteriolas
CAIOAP
Máquina de escribir
Las arteriolas poseen 1 capa o 2 de celulas musculo liso 
CAIOAP
Máquina de escribir
Arteriola
CAIOAP
Máquina de escribir
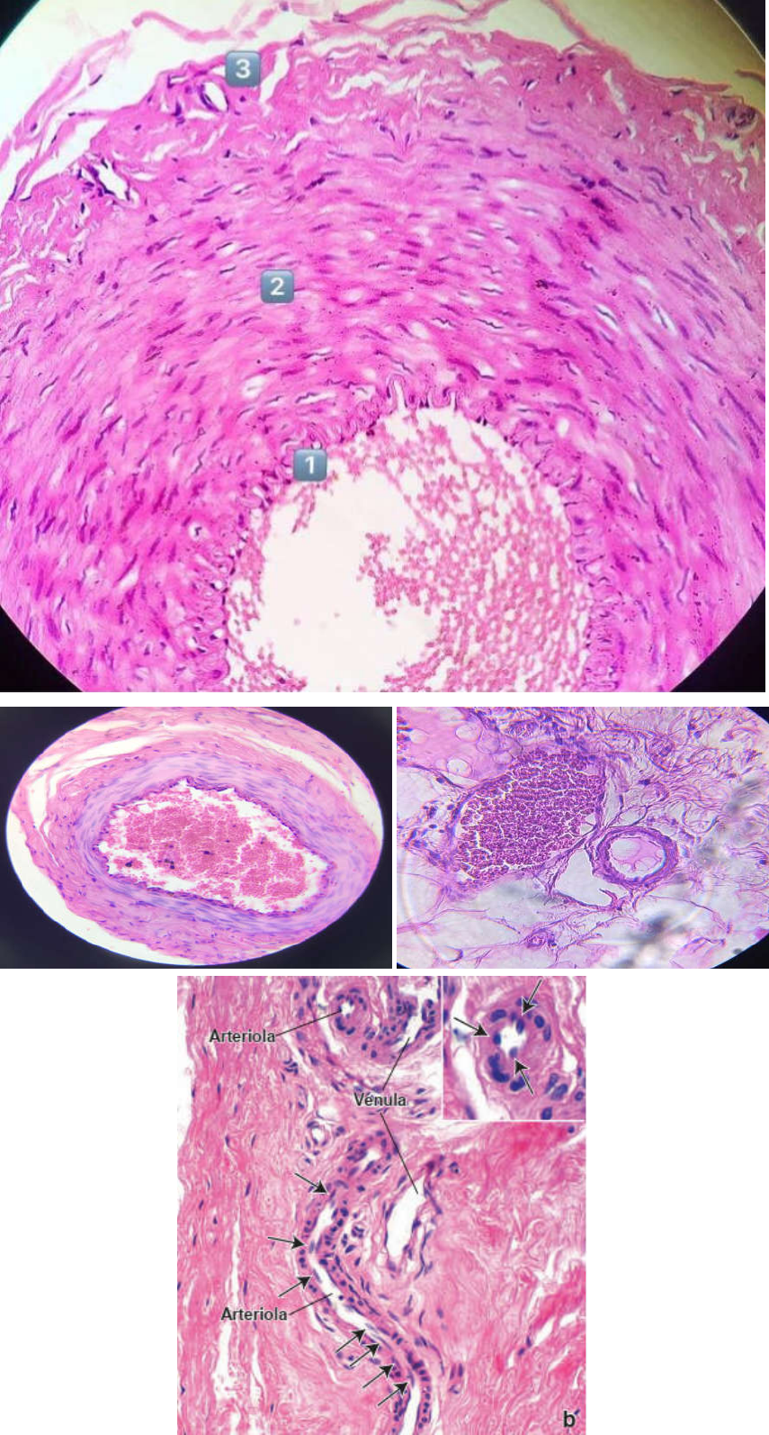
1° ENTREGA DE HISTOLOGIA II
CARACTERISTICAS HISTOLOGICAS: 
 Tenido con H&E 
 Las paredes de las arterias y las venas se componen de tres capas llamadas túnicas. 
 La túnica íntima, la capa más interna del vaso, se compone de endotelio, una capa 
subendotelial de tejido conjuntivo y una membrana elástica interna. 
 La túnica media, la capa intermedia, consiste en capas de células musculares lisas con 
disposición circunferencial y con laminillas elásticas interpuestas entre ellas. 
 Las células endoteliales interactúan activamente con las células musculares lisas 
contiguas y el tejido conjuntivo. Además de mantener una barrera de permeabilidad 
selectiva entre la sangre y el tejido conjuntivo, las células endoteliales impiden la 
coagulación sanguínea (por secreción de anticoagulantes y agentes antitrombogénicos), 
modulan la resistencia vascular (por secreción de vasoconstrictores y vasodilatadores) y 
regulan las respuestas inmunitarias. 
 La túnica adventicia, la capa más externa de tejido conjuntivo, se compone 
principalmente de colágeno con pocas fibras elásticas dispersas. Contiene los vasa 
vasorum y una red de nervios autónomos llamados nervio vasorum (vascularis). 
 En las arterias, la túnica media es relativamente gruesa y se extiende entre las 
membranas elásticas internas y externas. 
 Las arterias pequeñas y las arteriolas se distinguen unas de otras por la cantidad de 
capas de células de músculo liso en la túnica media. 
 las arteriolas tienen sólo una o dos capas, y una arteria pequeña puede tener hasta ocho 
capas de músculo liso en la túnica media. 
 Las arteriolas controlan el flujo sanguíneo hacia las redes capilares por contracción de 
las células del músculo liso. 
 VENAS- Las túnicas de las venas no están tan bien definidas como las túnicas de las 
arterias. E clasifican en cuatro tipos según su tamaño en: Vénulas,(vénulas poscapilares 
y vénulas musculares), Venas pequeñas, Venas medianas y Venas grandes. 
 
 
 
CAIOAP
Máquina de escribir
Hay tres tipos de capilares: continuos, fenestrados y discontinuos (sinusoidales)
 
LÁMINA – 22 TIMO ADULTO 
 
LÁMINA – 21 TIMO NIÑO 
✓ A diferencia del timo del adulto para del niño es la presencia de celularidad, que en 
adulto tiene más células y hay una gran cantidad de tejido adiposo. 
 
 
LÁMINA – 19 BAZO 
✓ El bazo está recubierto de una capa de Tejido Conjuntivo (TC). 
✓ En la imagen se observa que desde la cápsula parten trabéculas de tejido conjuntivo 
que se distribuyen entre la pulpa. 
✓ Ésta tiene dos partes: la pulpa roja (PR) y la pulpa blanca (PB). 
✓ La pulpa roja (PR) está formada esencialmente por sinusoides venosos, separados por 
cordones esplénicos, con gran cantidad de eritrocitos. 
✓ Además, en ella se puede observar la presencia de arteriolas (a). 
✓ La pulpa banca (PB) contiene una alta concentración de linfocitos, que forman una 
vaina linfoide periarteriolar (VLP). 
 
p 
LÁMINA 20 – AMIGDALA 
✓ Revestida por epitélio plano estratificado; 
✓ 
 
Epitelio plano estratificado 
Centro Germinativo 
Nódulos 
Nódulos 
 
LÁMINA 8 – PIEL FINA 
CARACTERISTICAS HISTOLOGICAS: 
 Tenida con H&E 
 La epidermis de la piel fina es más delgada 
 La piel fina puede encuentra en el párpados, siendo la epidermis más delgada. 
 En esta imagen puede ver sus dos capas principales: la epidermis y la dermis. 
 La epidermis es más superficial (epitelio plano estratificado no queratinizado) y posee 
cuatro estratos bien definidos, desde la profundidad hasta la superficie los estratos son: 
basal, espinoso, granuloso, y córneo 
 Las células de la epidermis pertenecen a cuatro tipos celulares diferentes: 
queratinocitos(Constituyen el 85 % de las células de la epidermis), melanocitos(Constituyen 
alrededor del 5 %), células de Langerhans(origen en la medula ósea Constituyen entre el 2 
% y el 15% participan en la respuesta 
inmunitaria) y células de Merkel (que están asociadas con terminaciones 
nerviosas sensitivas. Constituyen entre el 6 % y el 10%) 
 La dermis se compone de dos capas: capa papilar – superficial (tejido conjuntivo laxo) y la 
capa reticular – más profunda (tejido conjuntivo más denso). Presencia de fibras elásticas. 
 Estrato granuloso hay presencia de los queratinocitos responsables por la producción de 
queratina. 
 Glándulas sebáceas 
 Por debajo de la dermis reticular pueden encontrarse capas de tejido adiposo, musculo 
liso y en algunos sitios musculo estriado. 
 Corpúsculos de Pacini y de Meissner 
LÁMINA 8 – PIEL FINA 
epitelio plano estratificado queratinizado 
Tej conjuntivo laxo 
Hipodermes 
Tej adiposo 
Epidermis 
Estratos 4: 
corneo 
granuloso 
espinoso 
basal 
 
Dermis 
4 tipos de células: 
Queratinocitos 
melanocitos 
células de Langerhans 
células de Merkel 
 Corpúsculos de Meissner 
 Corpúsculos de Pacini 
Tej conjuntivo mas denso 
CAIOAP
Máquina de escribir
2° ENTREGA DE HISTOLOGIA II
 
LÁMINA 9 – PIEL GRUESA 
CARACTERISTICAS HISTOLOGICAS: 
 Tenido con H&E 
 La epidermis de la piel gruesa es más gruesa 
 La piel más gruesa se encuentra en la parte superior del dorso donde las dermis tiene 
un gran espesor. 
 En esta imagen puede ver sus dos capas principales: la epidermis y la dermis. 
 Hay cinco estratos: basal, espinoso, granuloso, lúcido y córneo. 
 Presencia de glándula sudorípara 
 Presenta un epitelio plano estratificado queratinizado 
 Tejido adiposo 
 La dermis se compone de dos capas: capa papilar – superficial (tejido conjuntivo laxo) 
y la capa reticular – más profunda (tejido conjuntivo más denso). Presencia de fibras 
elásticas. 
 Corpúsculos de Meissner 
 Por debajo de la dermis reticular pueden encontrarse capas de tejido adiposo, musculo 
liso y en algunos sitios musculo estriado. 
estratos: 
corneo 
lucido 
granuloso 
espinoso 
basal 
 
Tej adiposo 
Muitas Gladulas 
sudoríparas 
Corpúsculos 
de Meissner 
 
capa reticular – más profunda 
(tejido conjuntivo más denso) 
capa papilar – superficial (tejido 
conjuntivo laxo) 
 
LÁMIINA 10 – CUERO CABELUDO 
CARACTERISTICAS HISTOLOGICAS: 
 Tenida con H&E 
 Tejido epitelial plano estratificado queratinizado 
 Adipocitos 
 Glándula sebácea y sudorípara 
 Cuenta con unas proyecciones de la epidermis hacia la dermis llamadas Papilas Epidérmicas 
o Clavos Inter papilares. 
 Presenta tejido conjuntivo laxo y denso irregular 
 Folículos Pilosos (en gran cantidad). Los folículos pilosos constan de 5 partes:, Médula, 
Corteza, Cutícula, Vaina Radicular Interna, Vaina Radicular Externa 
Corte transversal en esta imagen 
Foliculo piloso 
Glándula sebáceas 
 
Hipodermis 
Tej adposo 
Tej. Conjuntivo 
denso irregular 
Glándula sudoripara 
Clavos Inter papilares 
 
LÁMINA 14 – LENGUA 
CARACTERISTICAS HISTOLOGICAS: 
 Tenida con H&E 
 Hay cuatro tipos de papilas: filiformes, fungiformes, caliciformes y foliadas. En esta imagen tiene las papilas foliadas 
 Las papilas foliadas están revestidas por un Tejido epitelial plano estratificado sin estrato 
córneo 
 Las papilas estas separadas por las hendiduras 
 Tejido conjuntivo laxo y denso 
 Glándulas serosas linguales (glándulas de von Ebner) 
 Corpúsculos gustativos – son órganos sensitivos intraepiteliales que funcionan en la 
percepción de los sabores. La superficie de la lengua y la superficie posterior de la cavidad 
oral cuentan con cerca de 3,000 corpúsculos gustativos. Cada uno de ellos está compuesto 
por 60 a 80 células fusiformes en una estructura oval de 70 a 80 µm de longitud y 30 a 40 
µm de ancho, y es claramente más pálido que el epitelio que lo rodea. 
 Musculo estriado y presencia de conductos 
LÁMINA 14 – LENGUA 
papilas foliadas 
están revestidas por un Tejido epitelial 
 plano estratificado sin estrato córneo 
Corpúsculos gustativos 
Glándulas serosas linguales 
(glándulas de von Ebner) 
Hendiduras 
papilares 
Papilas caliciformes 
Musculos liso e estriado 
 
LÁMINA 24 – SUBLINGUAL 
CARACTERISTICAS HISTOLOGICAS: 
 Tenida con H&E 
 Ubicado abajo da lengua 
 Ácinos mucosos, son estructuras esferoidales 
 Conductos intralobulillares 
 Semilunas serosas 
 Células mucosas 
 Plasmocitos - Este tipo celular é responsável pela produção dos anticorpos circulantes no 
sangue conhecidos como anticorpos humorais. Os anticorpos produzidos pelos 
plasmócitos são formados por um tipo específico de proteína chama globulina. Se asocian 
con la produción de IgA salival. 
 Conducto intercalar 
Conductos de la glándula 
sublingual 
Conductos intralobulillares 
ou intercalar 
Plasmocitos 
responsável pela produção 
dos anticorpos 
 
glándula sublingual posuen 
elementos serosos (oscuro) y 
mucosos (claro) 
Linfócitos 
 
Lobulillos 
 
 
LÁMINA 23 – GLÁNDULA PARÓTIDA 
CARACTERISTICAS HISTOLOGICAS: 
 Tenido con H&E 
 Compuesta por casi por completo por ácinos serosos 
 Hay muchos adipocitos 
 Dentro del lobulillo se ven bien los conductos estriados 
 Exhiben epitelio cilíndrico simple 
 Conductos intercalares y conducto excretor 
 Plasmocitos 
 Tejido conjuntivo
Conductos excretor 
Ep. Cilíndrico simples 
Conducto excretor 
Mayoría ácinos serosos 
(oscuro) 
Adipocitos 
LÁMINA 23 – GLÁNDULA PARÓTIDA 
Conductos intercalares 
Células Plasmocitos 
 
LÁMINA 23 – SUBMAXILAR 
CARACTERISTICAS HISTOLOGICAS: 
 Las glándulas submaxilares son mixtas. Contienen unidades secretorias serosas, mucosas y 
mixtas. Note las medias lunas serosas. 
 Ácinos serosos y mucosos. 
 Conducto estriado 
 Epitelio estratificado o seudoestratificado 
 Arterias y venas que transcurren en el tejido conjuntivo con los conductos más grandes. 
 Linfocitos y plasmocitos 
 
LÁMINA 23 – SUBMAXILAR 
Conducto estriado 
Las glándulas submaxilares son 
mixtas 
Epitelio estratificado o seudoestratificado 
Arterias y venas 
 
Linfocitos y plasmocitos 
 
LÁMINA 25 – ESÓFAGO 
CARACTERÍSTICAS HISTOLOGICAS: 
 Tenido con H&E 
 Aspecto irregular a la luz 
 La mucosa tiene un epitelio plano estratificado sin estrato córneo 
 Una delgada capa de lámina propia que contiene nódulos linfáticos y muchos linfocitos 
 En la submucosa consiste en tejido conjuntivo denso irregular que contiene vasos 
sanguíneos y linfáticos de gran calibre, fibras nerviosas y células ganglionares (que forman 
el plexo submucoso – plexo de Meissner). Hay también glándula mucosa. 
 Por fuera de la submucosa se encuentra la muscular externar (musculo liso y estriado), que 
se divide en dos estratos musculares, una capa circular interna y una capa longitudinal 
externa. Un plexo nervioso que se halla entre las capas musculares interna y externa se 
llama plexo mientérico (plexo de Auerbach). 
 La adventícia 
La mucosa epitelio plano 
estratificado sin extra. corneo 
LÁMINA 25 – ESÓFAGO 
Aspecto irregular a la luz 
Adventicia 
glándula mucosa 
Submucosa 
Tej conjuntivo denso irregular 
Muscular 
Nódulos 
linfáticos 
plexo submucoso – plexo de 
Meissner 
plexo mientérico (plexo de 
Auerbach). 
 
LÁMINA 26 – CUERPO GASTRICO 
CARACTERÍSTICAS HISTOLOGICAS: 
 Tenido con H&E 
 Musculo liso 
 Tejido conjuntivo denso irregular que contiene vasos sanguíneos 
 Fositas gástricas 
 El epitelio que reviste la superficie y las fositas gástricas del estómago es cilíndrico simple 
 Lámina propia lleno de glándulas gástricas o fúndicas - Estas glándulas secretan ácido 
clorhídrico, pepsinógeno, factor intrínseco y moco. 
 
 
 
 
 
 
 
 
 
 
 
 
 
 
 
 
 
 
 
LÁMINA 27 – ANTRO GASTRICO 
CARACTERISTICAS HISTOLOGICAS: 
 Tenido con H&E 
 Epitelio cilíndrico simple 
 Fositas gástricas 
 Glándulas pilóricas: son tubulares, enrolladas y ramificadas. Producen una secreción 
bastante viscosa 
 Tejido conjuntivo denso irregular 
 
LÁMINA 30 – APENDICE CECAL O VERMIFORME 
CARACTERISTICAS HISTOLOGICAS: 
 Tenido con H&E 
 Posee las mismas cuatro capas que el intestino grueso pero su diámetro es menor 
 Mesotelio 
 Tejido conjuntivo submesotelial 
 Muscular externa 
 Criptas de Lieberkuhn 
 Submucosa 
 Presencia de nódulos linfáticos en la lámina propia 
 Mucosa 
LÁMINA 30 – APENDICE CECAL O VERMIFORME 
Nódulos linfáticos 
Luz da apéndice 
A
d
ip
o
cito
s 
Mesotelio 
Mesotelio 
Glándulas mucosa 
Mucosa 
SubMucosa 
Capa muscular externa 
Ep. Cilind rico simples 
te
 
LÁMINA 29 – ILEON 
CARACTERISTICAS HISTOLOGICAS: 
 Tenido con H&E 
 Vellosidades intestinales 
 Epitelio cilíndrico simples 
 Lamina propia 
 Túnica mucosa – compuesto por seis tipos celulares: células absortivas, células 
caliciformes, células de Paneth, células enteroendocrinas, células madre pluripotenciales y 
células M. 
 Criptas de Lieberkuhn 
 Lamina muscular de la mucosa 
 Túnica submucosa 
 Tejido conjuntivo 
LÁMINA 29 – ILEON 
Vellosidades 
Vellosidades 
Criptas 
Lamina propia 
Ep. Cilindrico simples 
 
LÁMINA 28 – DUODENO 
CARACTERISTICAS HISTOLOGICAS: 
 Tenido con H&E 
 Lumen 
 Las capas desde la luz son: mucosa, submucosa, muscular externa y serosa 
 En la muscular externa: capa circular y longitudinal 
 Vellosidades 
 Glándulas de Brunner (se encuentra en la submucosa) 
 Epitelio cilíndrico simples 
 Células caliciformes 
 Glándulas intestinales (criptas) 
 Lamina propia 
 Musculo liso 
 As criptas de Liberkuhn, presentes em todo o intestino delgado, são glândulas formadas 
por invaginações do epitélio entre vilos, no duodeno, essas criptas podem conter células 
de Paneth (que elaboram produtos de secreção para proteger o lúmen de patógenos). 
 LÁMINA 28 – DUODENO 
 
 Glándulas de brunner – submucosa 
 
 
LÁMINA 31 – COLON 
CARACTERISTICAS HISTOLOGICAS: 
 Tenido con H&E 
 Cuatro capas de afuera hacia adentro: mucosa, submucosa, muscular externa y serosa 
 Tejido adiposo 
 Células absortivas 
 Vasos sanguíneos 
 Células caliciformes 
 Lamina propia 
 Muscular externa 
 Tenia del colon 
 Células musculares lisas con núcleos redondeados 
 Criptas de Lieberkühn 
 LÁMINA 31 – COLON 
 vellosidad 
 
 Mucosa Muscular de la mucosa 
 Criptas de Lieberkühn 
 
 
 
LÁMINA 32 – PÁNCREAS 
CARACTERISTICAS HISTOLOGICAS 
✓ El páncreas es una glándula alargada, exocrina y endocrina; 
✓ El componente exocrino – sintetiza y secreta enzimas hacia el duodeno que son 
indispensables para la digestiónen el intestino; 
✓ El componente endocrino – sintetiza las hormonas (insulina y glucagón) y las secreta 
hacia la sangre. Estas hormonas regulan el metabolismo de la glucosa, los lípidos y las 
proteínas en el organismo; 
Células acinosas 
Vaso sanguíneo 
Células 
centroacinosas 
Conducto 
intercalar 
Ácino 
pancreáticos 
Conducto Interlobulillar 
CAIOAP
Flecha
CAIOAP
Óvalo
CAIOAP
Máquina de escribir
lobulillos 
CAIOAP
Máquina de escribir
 tabiques tejido conjuntivo
CAIOAP
Máquina de escribir
células B Alfa – 60 a 70 % cetral secretan insulina;nullcélulas A Beta – 15 a 20 % periferia del slotes secretan glucagon;nullcélulas D Delta – 5 a 10 % periferia del slotes somatostatina;
CAIOAP
Máquina de escribir
3° ENTREGA DE HISTOLOGIA II
✓ El páncreas exocrino es una glándula serosa, muy parecido con la glándula parótida y 
puede ser confundido; 
✓ Sin embargo, después de la fijación en Zenker-formol y de la tinción con el método de 
Mallory-Azan, es posible identificar tres tipos celulares principales, designados células 
A (alfa), B (beta) y D (delta); 
✓ Las células Alfa – secretan glucagón; 
✓ Las células Beta – secretan insulina; 
✓ Las células Delta – somatostatina; 
✓ Hay una presencia de un capilar; 
✓ Conducto intercalar; 
✓ Células centroacinosas; 
✓ Lobulillos pancreáticos; 
✓ Tabique de tejido conjuntivo; 
✓ Ácinos exocrinos; 
✓ Islotes de Langerhans; 
 
 
LÁMINA 34 – VESICULA BILIAR 
CARACTERISTICAS HISTOLOGICAS 
✓ La vesícula biliar concentra y almacena la bilis; 
✓ Tejido epitelial cilíndrico simples; 
✓ Lámina propia extremamente celular con gran cantidades de linfocitos y plasmocitos; 
✓ Tejido conjuntivo laxo; 
✓ Mucosa; 
✓ En seguida puede observar un estrato bastante grueso, que es la muscular externa; 
✓ Musculo liso orientados en forma aleatoria; 
✓ Mas debajo de la muscular se encuentra la adventicia que contiene tejido adiposo y 
vasos sanguíneos; 
✓ Senos de Rokitansky – Aschoff; 
✓ Glándulas secretoras de moco; 
✓ Numerosas microvellosidades apicales cortas y poco desarrolladas; 
 
 
 
 
 
Senos de 
Rokitansky - Aschoff 
 
 
LÁMINA – HÍGADO 
CARACTERISTICAS HISTOLOGICAS: 
✓ O hígado representa la mayor masa de tejido glandular del cuerpo y es el mayor órgano 
interno; 
✓ Recibe la mayor parte de sangre por la vena porta hepática; 
✓ Los hepatocitos son las células del hígado, exhiben función exocrina y endocrina; 
✓ Los hepatocitos forman los cordones celulares anastomosadas del lobulillo hepático; 
✓ Además, el hígado degrada o conjuga muchos fármacos y sustancias tóxicas; 
✓ Tejido conjuntivo; 
✓ Conducto biliar; 
✓ Vena central; 
✓ Arteria hepática; 
✓ Nódulo linfático; 
✓ Vena porta; 
✓ Lobulillo hepático; 
✓ Sinusoide hepático; 
✓ Células de Kupffer (derivan del los monocitos) que pertenecen al sistema fagocítico; 
 
 
 
 
 
 
CAIOAP
Máquina de escribir
sinusoide nullhepatico 
CAIOAP
Máquina de escribir
celulas del higado nullHEPATOCITOS redondeadas
CAIOAP
Máquina de escribir
Células de Kupffer alargada 
CAIOAP
Máquina de escribir
triada 
 
 
 
 
 
Conducto 
excretor 
Epitélio 
Olfatório 
Conducto 
excretor 
Glandulas 
Olfatorias 
Nervios 
Olfatorios 
Mucosa olfatoria 
Periosteo 
Epitelio olfatorio 
Osso da concha 
Nervio olfatorio 
Periosteo 
Nervio olfatorio 
Epitelio olfatorio 
LÁMINA – MUCOSA OLFATORIA DE LA CAVIDAD NASAL 
CARACTERISTICAS HISTOLOGICAS: 
✓ Tres tipos celulares ubicados en el epitelio olfatorio: célula olfatoria, célula de sostén, 
en cepillo y la basal; 
✓ Cilios que se encuentran en la porción apical de epitelio olfatorio; 
✓ A lâmina própria é predominantemente ocupada pelas glândulas serosas de Bowman 
✓ Vasos sanguíneos venosos; 
 
 
LÁMINA – LARINGE 
CARACTERISTICAS HISTOLOGICAS: 
✓ Nódulos linfáticos que se encontram abaixo da mucosa respiratória podem ser 
evidenciados; 
✓ Zona de transição entre o epitélio pseudoestratificado cilíndrico ciliado, típico do trato 
respiratório, e o epitélio estratificado pavimentoso da mucosa laríngea, que está 
sujeito a estresse por atrito por causa da movimentação intensa de ar. 
✓ Cílios 
✓ Glândulas mucosserosas e seromucosas 
✓ Pequenos vasos sanguíneos; 
 
 
 
Via aerea 
Via aerea 
Musculo vocal 
Prega vocal 
Ventriculo 
Prega ventricular 
Traqueia 
Nodulos linfaticos 
 
 
 
 
 
Capa adventicia 
Cartilago hialino 
Mucosa e submucosa 
Musculo traqueal 
LÁMINA – TRAQUEA 
CARACTERISTICAS HISTOLOGICAS: 
✓ La tráquea es un tubo corto de unos 2,5 cm de diámetro y unos 10 cm de longitud. Se 
extiende desde la laringe hasta más o menos la mitad del tórax, donde se divide en dos 
bronquios principales (bronquios primarios). Su función principal es la de servir como 
un conducto para el aire. 
✓ Corte transversal; 
1. Epitélio seudocilindrico estratificado ciliado; 
2. Membrana basal; 
3. Células caliciformes 
4. Lamina própria 
5. Submucosa 
6. Glândulas seromucosas 
7. Musculo traqueal 
8. Tejido adiposo 
✓ Nódulos linfáticos 
✓ Células inflamatórias 
 
 
booksmedicos.orgbooksmedicos.org
arteria hepática
vena porta
vena porta
sinusoides sanguíneos
sinusoides sanguíneos
sinusoides sanguíneos
vena central
vena hepática
nódulo linfático
conducto biliar
tejido conjuntivo
Los conductos biliares están compuestos por un epitelio
simple cilíndrico o cúbico
vena central
conducto biliar
La arteria y la vena, junto con el conducto biliar, se denominan colectivamente tríada portal.
tejido conjuntivo
CELULAS hepatocitos
CELULAS Kupffer 
booksmedicos.orgbooksmedicos.org
célula de Kupffer
célula de Kupffer
célula de Kupffer
célula de Kupffer
vena central
 canalículo biliar
 canalículo biliar
sinusoide
sinusoide sinusoide
sinusoide
sinusoide
sinusoide
 célula endotelial
 célula endotelial
tejido conjuntivo de la
vena central tejido conjuntivo de lavena central
 
 
 
 
 
 
 
 
 
 
 
 
 
 
 
 
 
 
 
 
 
 
 
 
 
 
 
 
booksmedicos.orgbooksmedicos.org
CAIOAP
Máquina de escribir
La vesícula biliar es un órgano hueco, con forma de pera, que concentra y almacena la bilis.
CAIOAP
Máquina de escribir
mucosa
CAIOAP
Máquina de escribir
músculo liso
CAIOAP
Máquina de escribir
senos de Rokitansky-Aschoff
CAIOAP
Máquina de escribir
músculo liso
CAIOAP
Máquina de escribir
muscular
CAIOAP
Máquina de escribir
senos de Rokitansky-Aschoff
CAIOAP
Máquina de escribir
vaso sanguíneo
CAIOAP
Máquina de escribir
vaso sanguíneo
CAIOAP
Máquina de escribir
 adventicia
CAIOAP
Máquina de escribir
tejido adiposo
CAIOAP
Máquina de escribir
 linfocitos
CAIOAP
Máquina de escribir
plasmocitos
CAIOAP
Máquina de escribir
epitelio cilíndrico simple alto absortivo
CAIOAP
Máquina de escribir
lámina propianullde tejido conjuntivo laxo irregular
CAIOAP
Máquina de escribir
células mucosas
CAIOAP
Máquina de escribir
glándula mucosa
CAIOAP
Máquina de escribir
lámina propianullde tejido conjuntivo laxo irregular
CAIOAP
Máquina de escribir
vaso sanguíneo
booksmedicos.orgbooksmedicos.org
CAIOAP
Máquina de escribir
 tejido conjuntivo
CAIOAP
Máquina de escribir
vasos de mayor calibre 
CAIOAP
Máquina de escribir
conducto intralobulillar
CAIOAP
Máquina de escribir
conducto intralobulillar
CAIOAP
Máquina de escribir
islote de Langerhans
CAIOAP
Máquina de escribir
ácinos
CAIOAP
Máquina de escribir
ácinos
CAIOAP
Máquina de escribir
ácinos
CAIOAP
Máquina de escribir
 región con más abundanciade células A
CAIOAP
Máquina de escribir
región con más abundancia de células B
CAIOAP
Máquina de escribir
capilares
CAIOAP
Máquina de escribir
 tejido conjuntivo
CAIOAP
Máquina de escribir
conductos intercalares
CAIOAP
Máquina de escribir
células centroacinosas
CAIOAP
Máquina de escribir
conductos intercalares
booksmedicos.orgbooksmedicos.org
booksmedicos.orgbooksmedicos.org
CAIOAP
Máquina de escribir
epitelio olfatorio
CAIOAP
Máquina de escribir
células de Bowman
CAIOAP
Máquina de escribir
 Pared de la cavidad nasal. Se señala la mucosa olfatoria 
CAIOAP
Máquina de escribir
mucosa olfatoria
CAIOAP
Máquina de escribir
 nervios olfatorios
CAIOAP
Máquina de escribir
 nervios olfatorios
CAIOAP
Máquina de escribir
arteria
CAIOAP
Máquina de escribir
 hueso etmoides
CAIOAP
Máquina de escribir
 hueso etmoides
CAIOAP
Máquina de escribir
epitelio respiratorio
CAIOAP
Máquina de escribir
 nervios olfatorios
CAIOAP
Máquina de escribir
luz de las glándulas denullBowman
CAIOAP
Máquina de escribir
núcleos de células de sostén
CAIOAP
Máquina de escribir
células olfatorias
CAIOAP
Máquina de escribir
 células basales
CAIOAP
Máquina de escribir
prolongación axónica
CAIOAP
Máquina de escribir
capilar
CAIOAP
Máquina de escribir
 vena
CAIOAP
Máquina de escribir
células de Bowman
CAIOAP
Máquina de escribir
células de Bowman
CAIOAP
Máquina de escribir
núcleos de células de Schwann
booksmedicos.orgbooksmedicos.org
CAIOAP
Máquina de escribir
pliegues vocales
CAIOAP
Máquina de escribir
pliegues vocales
CAIOAP
Máquina de escribir
ventrículo 
CAIOAP
Máquina de escribir
pliegue ventricular
CAIOAP
Máquina de escribir
músculos faríngeos
CAIOAP
Máquina de escribir
músculos faríngeos
CAIOAP
Máquina de escribir
epitelio estratificado plano
CAIOAP
Máquina de escribir
epitelio estratificado plano
CAIOAP
Máquina de escribir
glándulas
CAIOAP
Máquina de escribir
glándulas
CAIOAP
Máquina de escribir
glándulas
CAIOAP
Máquina de escribir
epitelio seudocilíndrico estratificado
CAIOAP
Máquina de escribir
epitelio cilíndrico estratifi cado
CAIOAP
Máquina de escribir
Pliegues ventricular y vocal
CAIOAP
Máquina de escribir
Cavidad infraglótica
booksmedicos.orgbooksmedicos.org
CAIOAP
Máquina de escribir
Tráquea
CAIOAP
Máquina de escribir
epitelio seudocilíndrico estratificado ciliado
CAIOAP
Máquina de escribir
membrana basal
CAIOAP
Máquina de escribir
células caliciformes
CAIOAP
Máquina de escribir
Lámina propia 
CAIOAP
Máquina de escribir
submucosa 
CAIOAP
Máquina de escribir
glándulas seromucosas
CAIOAP
Máquina de escribir
glándulas seromucosas
CAIOAP
Máquina de escribir
músculo traqueal
CAIOAP
Máquina de escribir
tejido adiposo
CAIOAP
Máquina de escribir
glándulas seromucosas
CAIOAP
Máquina de escribir
 cartílago traqueal
CAIOAP
Máquina de escribir
epitelio seudocilíndrico estratifi cado ciliado
CAIOAP
Máquina de escribir
 membrananullbasal
CAIOAP
Máquina de escribir
lámina propia
CAIOAP
Máquina de escribir
submucosa
CAIOAP
Máquina de escribir
glándulas seromucosas
CAIOAP
Máquina de escribir
músculo traqueal
CAIOAP
Máquina de escribir
nódulo linfático
CAIOAP
Máquina de escribir
tejido adiposo
CAIOAP
Máquina de escribir
 membrananullbasal
CAIOAP
Máquina de escribir
células caliciformes
CAIOAP
Máquina de escribir
cilios
CAIOAP
Máquina de escribir
Tráquea
booksmedicos.orgbooksmedicos.org
 
 
LÁMINA 47 – TESTICULO 
CARACTERISTICAS HISTOLOGICAS 
 Las dos funciones primarias del testículo son la espermatogénesis (producción de 
espermatozoides, denominados gametos masculinos) y la esteroidogénesis (síntesis 
de andrógenos, también denominados hormonas sexuales que es la testosterona); 
 Túnica albugínea (Tejido conectivo denso); 
Túbulos seminíferos 
Tejido conectivo / 
túnica vascular 
Epitélio seminífero 
Células de Leydig 
Vasos sanguíneos 
Células de Sertoli 
CAIOAP
Máquina de escribir
CAIOAP
Máquina de escribir
Celulas Espematólicanullproduce esperma 
CAIOAP
Máquina de escribir
son celulas cilindricas altas nullson Celulas escasas nulle su funcion bligagem, nutricion e sonten null
CAIOAP
Máquina de escribir
produce proteina androgeno- que aumenta a nullconcetracion de testosterona en el tubo seminifero nullhomona Inhibina - FSH nullfuctosa- seve para nutrir los espermatozoides 
CAIOAP
Máquina de escribir
Espermatogonis- C.madre nullEspermatocito primario nullEspermatocito secundarionullEspermatide - espermatozoidenullisso de dar por division meiosis 
CAIOAP
Máquina de escribir
.
CAIOAP
Máquina de escribir
ESPERMATOGENESISnullFases 
CAIOAP
Máquina de escribir
4° ENTREGA DE HISTOLOGIA II
 Núcleo de las células de Sertoli (son escasas y pueden reconocerse por su núcleo pálido 
alargado y su nucléolo conspicuo. 
 Células de Sertoli – nutren, sostén y protección a los espermatozoides; 
 
 
 
 
Tejido conjuntivo laxo 
Músculo liso 
Pliegues de la mucosa 
CAIOAP
Máquina de escribir
Epitelio Seudoestratificado y está compuesto por células cúbicas nullo cilíndricas bajas y células basales redondeadas
CAIOAP
Máquina de escribir
capa circular interna poco nítida y una capa longitudinal externa
CAIOAP
Máquina de escribir
Apresenta 3 capas nullAdventicia nullMuscularnullMucosa 
CAIOAP
Máquina de escribir
Corresponde a 70% del liquido seminal- produce fuctosa nullque siver como fuente de energia para los espermatozoides 
LÁMINA 48 – VESICULA SEMINAL 
CARACTERISTICAS HISTOLOGICAS 
 Las vesículas seminales son evaginaciones del final de cada conducto deferente que 
forman tubos muy enrollados. 
 El epitelio se describe como seudoestratificado y está compuesto por células cúbicas 
o cilíndricas bajas y células basales redondeadas pequeñas; 
 Secreción – un material viscoso blanco amarillento que contiene fructosa y otros 
sacáridos simples, aminoácidos, ácidos ascórbicos y prostaglandina; 
 El musculo liso consiste en una capa circular interna poco nítida y una capa longitudinal 
externa; 
 
Músculo liso 
Concreciones prostáticas 
Elementos glandulares do 
tipo mucoso 
CAIOAP
Máquina de escribir
La próstata es la glándula accesoria más grande del sistema genital masculino, estánullcompuesta por 30 a 50 glándulas tubuloalveolares
CAIOAP
Máquina de escribir
 La próstata secreta fosfatasa ácida prostática (PAP), fibrinolisina, ácido cítrico y antígeno prostático específico (PSA). 
Las células epiteliales prostáticas producen varias enzimas, en particular antígeno prostático específico (PSA), fosfatasa ácida prostática
(PAP) y fibrinolisina, además de ácido cítrico;
 Epitelio seudoestratificado;
 
LÁMINA 49 – PROSTATA 
CARACTERISTICAS HISTOLOGICAS 
 La próstata es la glándula accesoria más grande del sistema genital masculino, está 
compuesta por 30 a 50 glándulas tubuloalveolares que rodean la uretra proximal; 
 La próstata secreta fosfatasa ácida prostática (PAP), fibrinolisina, ácido cítrico y 
antígeno prostático específico (PSA). Las células epiteliales prostáticas producen varias 
enzimas, en particular antígeno prostático específico (PSA), fosfatasa ácida prostática 
(PAP) y fibrinolisina, además de ácido cítrico; 
 Epitelio seudoestratificado; 
 
LÁMINA 36 – LARINGE 
CARACTERISTICAS HISTOLOGICAS 
 La laringe es la parte de las vías respiratorias ubicadas entre la orofaringe y la tráquea 
que funciona para la fonación; 
 
Epitelio seudocilindrico 
estratificado ciliado y 
epitelio estratificado plano 
Glándulas 
seromucosas 
Glándulas 
mucosserosas 
 
LÁMINA 35 – EPIGLOTIS 
CARACTERISTICAS HISTOLOGICAS Epitelio estratificado pavimentoso no queratinizado; 
 Epitelio seudoestratificado; 
 
 
Cartílago hialino 
Glándula seromucosa 
CAIOAP
Máquina de escribir
Epitelio estratificado pavimentoso no queratinizado;
 Epitelio seudoestratificado;
 
LÁMINA 15 – TIREOIDE 
CARACTERISTICAS HISTOLOGICAS 
 La glándula tiroides se localiza en la región anterior del cuello contigua a la laringe y la 
tráquea; 
 Cada folículo está envolto por um epitélio folicular simples cubico; 
 La luz de cada folículo está llena con una masa gelatinosa denominada coloide que 
contiene tiroglobulina, una forma inactiva de almacenamiento de las hormonas 
tiroideas; 
 El epitelio folicular contiene 
 
Folículos dentro tem uma massa chamada coloide 
Adipocitos 
Tejido Conjuntivo 
Vasos sanguíneos 
Células principales 
CAIOAP
Máquina de escribir
Cada folículo está envolto por um epitélio folicular simples cubico
 
LÁMINA 38 – RIÑON 
CARACTERISTICAS HISTOLOGICAS 
 
 
LÁMINA 40 – VEGIGA 
CARACTERISTICAS HISTOLOGICAS 
 Las células en el epitelio de transición están compuestas por al menos tres capas – 
superficial, intermedia y basal; 
 
Epitélio de transición (urotelio) 
Músculo liso 
Tejido conectivo denso 
Artéria 
 
 
Músculo liso 
Cartílago hialino 
Tejido conjuntivo y fibras 
elásticas 
Epitélio seudocilíndrico 
estratificado 
 
LÁMINA 37 – PULMÓN 
CARACTERISTICAS HISTOLOGICAS 
 
 
 
 
Tejido adiposo 
Vasos sanguíneos 
Tejido conectivo 
Epitélio de transición 
Mucosa 
Muscular 
Capa circular de 
musculo liso 
Ureter 
LÁMINA 39 – URETER 
CARACTERISTICAS HISTOLOGICAS 
 Los uréteres son dos estructuras tubulares que transportan orina desde los riñones 
hasta la vejiga urinaria. Están revestidos por un epitelio de transición (urotelio); 
 
 
 
 
Tejido adiposo 
Cápsula 
Zona glomerular 
Zona reticular 
Zona fasciculada 
LÁMINA 17 – SUPRARRENAL 
CARACTERISTICAS HISTOLOGICAS 
 Las glándulas suprarrenales están organizadas en dos regiones diferentes: la corteza, 
una porción secretora de esteroides que se desarrolla a partir del mesodermo y la 
médula, una porción secretora de catecolamina que se desarrolla a partir de las células 
de la cresta neural. 
 La médula suprarrenal contiene células cromafines que sintetizan adrenalina y 
noradrenalina para preparar el cuerpo para la respuesta “lucha o huida”; 
 Las células de la zona glomerular forman cúmulos ovoides y producen 
mineralocorticoides (p. ej., aldosterona). El sistema renina-angiotensina-aldosterona 
proporciona el mecanismo de retrocontrol de la secreción de las células de la zona 
glomerular. 
 Las células de la zona fasciculada están dispuestas en cordones rectos largos y 
producen glucocorticoides (p. ej., cortisol) que regulan la gluconeogénesis (síntesis de 
glucosa) y la glucogénesis (polimerización de glucógeno). La ACTH regula la secreción 
de las células de la zona fasciculada. 
 Las células de la zona reticular están dispuestas en cordones anastomosados 
separados por capilares fenestrados y producen andrógenos débiles (sobre todo 
DHEA). La ACTH regula la secreción de las células de la zona reticular. 
 
 
LÁMINA 16 – PARATIROIDES 
CARACTERISTICAS HISTOLOGICAS 
 Las glándulas paratiroides suelen ser cuatro. Cada una está rodeada por una cápsula y 
se ubica sobre la glándula tiroides o está parcialmente incluida en ella. Las glándulas 
paratiroides producen una hormona que influye sobre el metabolismo del calcio y de 
los huesos. 
Tejido conjuntivo 
Tejido adiposo 
Células principales 
Células oxifilas 
 Las glándulas paratiroides (dos pares) se localizan en la superficie posterior de la 
glándula tiroides. Se desarrollan a partir de la tercera y la cuarta bolsas faríngeas. 
 Las glándulas paratiroides consisten en dos tipos principales de células: células 
principales, que son las más abundantes y secretan la hormona paratiroidea (PTH) y 
las células oxífilas. 
 La PTH regula las concentraciones de calcio y fosfato en la sangre. Se une a los 
receptores de PTH en las células diana e incrementa la concentración de Ca2+ en la 
sangre. 
 
 
Folículos em crecimiento 
Médula en su cento 
Tejido conectivo laxo 
Vaso sanguíneo 
CAIOAP
Máquina de escribir
Las funciones principales de los ovarios son la producción de gametos (ovogénesis) ynullla producción de hormonas - estrógenos y progesterona
CAIOAP
Máquina de escribir
o ovario esta dividido em duas partes nullcorteza - externa > Foliculos en diferentes estagios nullmedula - cetral > T. areolar laxo 
CAIOAP
Máquina de escribir
niña apresenta solo foliculo primario nullmujer apresenta foliculo primario secundario e seu proceso de maduracionnullmujer en menopalsa enconta una delgada capa de T. Conj sen foliculos 
 
 
 
 
LÁMINA 41 – OVÁRIO 
CARACTERISTICAS HISTOLOGICAS 
 El sistema genital femenino está compuesto por órganos genitales internos (ovarios, 
tubas uterinas, útero y vagina) y los órganos genitales externos (vulva); 
 Los órganos sexuales femeninos internos sufren cambios cíclicos regulares durante 
cada ciclo menstrual, desde la pubertad hasta la menopausia, que es el reflejo de 
modificaciones en las concentraciones hormonales; 
 Las funciones principales de los ovarios son la producción de gametos (ovogénesis) y 
la producción de hormonas esteroides (estrógenos y progesterona; esteroidogénesis); 
 En la superficie de la corteza hay una capa simple de células epiteliales designadas 
como epitelio germinativo; 
 El epitelio cubre la capa de tejido conjuntivo denso fibroso, la túnica albugínea; 
 Epitelio germinativo – túnica albugínea después se encuentra los folículos 
primordiales; 
 El folículo secundario, el ovocito de este folículo esta rodeado por varias capas de 
células foliculares que en esta etapa se denominan células de la granulosa (actividad 
mitótica); 
 
LÁMINA 42 – TROMPA 
CARACTERISTICAS HISTOLOGICAS 
 El revestimiento mucoso es epitelio cilíndrico simple compuesto por dos tipos 
celulares: las células ciliadas y las células no ciliadas (en tachuela). 
Luz 
Luz 
Luz 
Tejido conectivo 
Epitélio 
 
LÁMINA 43 – ÚTERO EN FASE SECRETORA 
CARACTERISTICAS HISTOLOGICAS 
 Estrato funcional y estrato basal; 
 Compuesto por un epitelio superficial 
 La pared uterina esta compuesta por el endometrio (epitelio cilíndrico simple), 
miometrio (capa muscular lisa) y perimetrio (una capa serosa del peritoneo visceral); 
Glândulas endometriales 
Vasos sanguíneos 
Estrato funcional 
Estrato basal

Mais conteúdos dessa disciplina