Prévia do material em texto
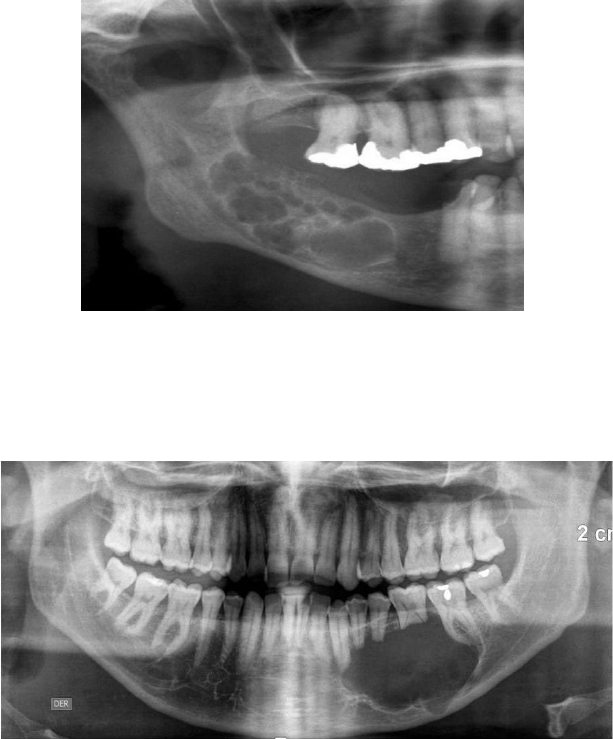
TUMORES ODONTOGÊNICOS EPITELIAIS BENIGNOS Ameloblastoma É de crescimento lento; Assintomático; Acomete mais a mandíbula (ramo da mandíbula e MI) do que a maxila; Expande corticais, tem alta taxa de recidiva; Ocorre em três diferentes situações: Ameloblastoma Multicístico ou sólido: lesões localizadas na mandíbula. Imagem radiolúcida e multilocular, descrita como “favo de mel” ou “bolhas de sabão”. Tem reabsorção óssea, deslocamento dentário e rompimento de corticais ósseas. Ameloblastoma Unicístico: caracteriza-se por estar dentro de um cisto. Tem imagem radiolúcida, circunscrita e bem demarcada. Acomete mais pacientes jovens e o 3° molar. Está associado a dente incluso. Ameloblastoma periférico ou extraósseo: mais incomum. Restos da lâmina dentária, lesão séssil (base alargada) ou pedenculada, mucosa alveolar ou gengiva. Acomete as idades entre 50-60 anos. Tumor Odontogênico Escamoso Pode se confundir com o ameloblastoma; Acomete mais homens, com idade de +/- 39 anos; Assintomático, perda óssea severa; Associado a mobilidade dentária, causa inchaço na região, reabsorção de raízes; Imagem radiolúcida, em forma de triângulo ou semicircular Tumor Odontogênico Epitelial Calcificante Tumor de Pindborg; Acomete mais homens, entre 30-50 anos; Assintomático, de crescimento lento, maior recidiva; Imagem radiolúcida multilocular ou unilocular (menos frequente), margens festonadas; Afeta a região dos M e ramo de mandíbula; Tumor Odontogênico Adenomatoide Acomete mais pacientes jovens, entre 10-19 anos; Mais comum em mulheres; Imagem radiolúcida, unilocular circunscrita, envolve a coroa do dente incluso; Acomete mais caninos; Aspecto de “flocos de neve”; Assintomático, de crescimento lento, não invasivo; Pode ser intra ou extra ósseo; Estende apicalmente ao longo da raiz. TUMORES ODONTOGÊNICOS MESENQUIMAIS Fibroma Odontogênico Causado por uma proliferação ectomesenquimal; Também conhecido como: Fibroma Cemento-Ossificante; Dividido em: fibroma Odontogênico central e fibroma Odontogênico periférico. Fibroma Odontogênico Central: mais raro, assintomático, maior ocorrência em mulheres entre 30-40 anos, raça branca, mandíbula (PM e M). Possui imagem radiolúcida (ou mista), unilocular de bordas bem finidas, expande corticais, de crescimento lento, reabsorve raízes e expansão da tábua óssea vestibular. Fibroma Odontogênico Periférico: crescimento focal, benigno e raro. Ocorre na gengiva, às vezes sem alteração radiográfica. Imagem radiolúcida, sem envolvimento ósseo, deslocamento de raízes e de dentes próximos. Aspecto nodular, séssil, aderida à gengiva, coloração semelhante ao tecido. Mixoma Odontogênico ou Mixofibroma Cementoblastoma Acomete mais a região posterior da mandíbula; Lesão intraóssea expansiva, de crescimento lento; Acomete mais jovens, em torno de 20-30 anos; Assintomática; Imagem radiolúcida, com aspecto “raquete de tênis”; Associada a dentes inclusos; Move dentes adjacentes, expande corticais; Acomete mais pacientes jovens, homens (; Ocorre mais na mandíbula, região de PM e M; Crescimento lento e contínuo, expansão óssea das corticais; Imagem radiopaca, bem definida, circundada por uma zona radiolúcida; Halo radiolúcido, fundida à raiz do dente, de forma circular, bem delimitada. TUMORES ODONTOGÊNICOS MISTOS Fibroma Ameloblástico Odontoma Composto + gressivo; Acomete jovens, homens, em torno de 14-20 anos; Imagem radiolúcida, unilocular ou multilocular, margens bem definidas e bem delimitadas; Associada à dentes inclusos; Expande corticais ósseas, pode deslocar dentes vizinhos; Acomete mais a região posterior da mandíbula (PM e M). Acomete mais entre 20-30 anos; Acomete a parte anterior da maxila, não expande corticais; Imagem patognomônica; Assintomática; Imagem radiopaca e radiolúcida (mista), auto limitante; Odontoma Complexo Idade entre 20-30 anos; Acomete a mandíbula, região do 2º e 3º M; Acomete mais mulheres; Imagem radiopaca, irregular; Não causa expansão óssea.