Logo Passei Direto
Buscar
Material
páginas com resultados encontrados.
páginas com resultados encontrados.
left-side-bubbles-backgroundright-side-bubbles-background

Crie sua conta grátis para liberar esse material. 🤩

Já tem uma conta?

Ao continuar, você aceita os Termos de Uso e Política de Privacidade

Prévia do material em texto

Universidade de Caxias do Sul 
Curso de Medicina Veterinária 
Histopatologia Veterinária 
Nome: Liane Dalpiaz 
Turma: 36 
 
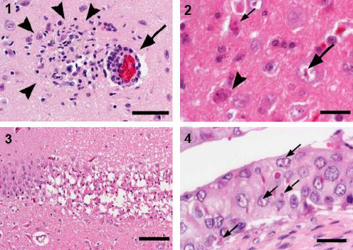
CINOMOSE 
Lesões Microscópicas: nos pulmões espessamento das paredes dos alvéolos devido a 
infiltrados mononucleares intersticiais e hiperplasia dos pneumócitos tipo II. No SNC: 
desmielinização, hiperplasia e hipertrofia astrocítica, corpúsculos de inclusão 
intranucleares, neurônios necróticos (vermelho) e células inflamatórias mononucleares. 
 
Lâmina 1: manguito perivascular; lâmina 2: corpúsculos de inclusão intracitoplasmáticos; lâmina 3: necrose e 
degeneração do estrato córneo no giro dentado; lâmina 4: corpúsculos de inclusão no epitélio da bexiga.

Mais conteúdos dessa disciplina