Logo Passei Direto
Buscar
Material
left-side-bubbles-backgroundright-side-bubbles-background

Crie sua conta grátis para liberar esse material. 🤩

Já tem uma conta?

Ao continuar, você aceita os Termos de Uso e Política de Privacidade

left-side-bubbles-backgroundright-side-bubbles-background

Crie sua conta grátis para liberar esse material. 🤩

Já tem uma conta?

Ao continuar, você aceita os Termos de Uso e Política de Privacidade

Prévia do material em texto

Enterocolite infecciosa: diarreia, dor abdominal, urgência, desconforto perianal, incontinência e hemorragia. 
Cólera: Vibrio cholerae, gram negativa, em forma de vírgula, transmitida por água contaminada e algumas vezes por alimentos (frutos do mar) contaminados, prefere temperaturas quentes. São não invasisos e permanecem no lúmen intestinal, sendo a doença causada por uma enterotoxina pré-formada, a toxina da cólera, sendo composta por algumas subunidades, essas subunidades vão ser responsáveis pela ligação nas células epiteliais intestinais, e causarão um desequilíbrio nos íons cloreto, que serão liberado no lúmen, causando a secreção de bicarbonato, sódio e água, o que leva a uma diarreia massiva, e a absorção desses elementos também fica inibida. A maioria dos indivíduos expostos é assintomática ou desenvolve somente diarreia branda. Naqueles com a doença grave, há um início abrupto de diarreia aquosa e vômitos seguindo um período de incubação de 1 a 5 dias. As fezes volumosas se assemelham a água de arroz e são, algumas vezes, descritas como tendo odor de peixe. A taxa de diarreia pode alcançar 1 litro por hora, levando à desidratação, hipotensão, câimbras musculares, anúria, choque, perda de consciência e morte. A maioria das mortes ocorre dentro das primeiras 24 horas após a apresentação.
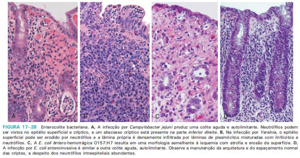
Campylobacter jejuni: diarreia dos viajantes; alimentos contaminados, leite não pasteurizado, 4 propriedades principais de virulência: mobilidade (flagelos), aderência, produção de toxina (lesão epitelial) e invasão. Febre entérica ocorre quando as bactérias se proliferam na lâmina própria e nos linfonodos mesentéricos. Complicações: Síndrome de Guillain-Barré. São organismos em forma de vírgula, gram negativos; diagnóstico por cultura de fezes; colite aguda autolimitada (infiltrados neutrofílicos mucosos e intraepiteliais são proeminentes, criptite [infiltração de neutrófilos nas criptas], abcessos crípticos [criptas com acúmulos de neutrófilos luminais]). Diarreia aquosa, disenteria (15%)
 Shigella: bacilos gram negativos, encapsuladas, imóveis, anaeróbicos facultativos que pertencem às Enterobacteriaceae, relacionados a ECEI. Desinteira. Transmissão fecal-oral, alimentos contaminados. É resistente ao meio ácido do estômago, quando chega ao intestino, são captadas pelas células epiteliais M, proliferam intracelularmente, escapam para a lâmina própria e são fagocitadas por macrófagos, nos quais elas induzem a apoptose. O processo inflamatório danifica a superfície epitelial e permite que a Shigella tenha acesso à membrana basolateral do clonócito. Acomete mais o cólon esquerdo e o íleo. A mucosa é hemorrágica e ulcerada, e pseudomembranas podem estar presentes. Doença autolimitadas, 6 dias de diarreia, febre e dor abdominal; a diarreia evolui para desinteira em 50% dos casos.
Salmonelas: família Enterobacteriaceae, bacilos gram negativos, divididas em typhi e não typhi. Alimentos contaminados. Características semelhantes à shigella e campylobacter. Varia desde fezes moles e diarreia profusa ate disenteria.

Mais conteúdos dessa disciplina