Logo Passei Direto
Buscar
Material
páginas com resultados encontrados.
páginas com resultados encontrados.

Prévia do material em texto

HISTOLOGIA DO VASOS SANGUÍNEOS
REFERÊNCIA BIBLIOGRÁFICA UTILIZADA
CAPÍTULO 8
As artérias não são iguais histologicamente
Lúmen / luz do vaso: é a cavidade dos vasos por 
onde passa o sangue.
Túnicas são as camadas dos vasos sanguíneos
calibre está relacionado a espessura do vaso
Precisa saber distinguir veia e vênula, mas não precisa diferenciar os calibres. As artérias precisa saber diferenciar porque são diferentes. 
“GENERALIDADES” DOS VASOS 
SANGUÍNEOS
ESTRUTURA GERAL DOS VASOS 
SANGUÍNEOS
DIFERENÇAS ENTRE ARTÉRIAS E VEIAS
- Artérias: 
1- parede mais espessa
2- formato regular (arredondado)
3- lúmen mais estreito 
4- túnica média mais espessa do que
a adventícia
5- menor quantidade de vasa vasorum
do que nas veias
6- pode ocorrer vasa vasorum (principalmente 
na túnica adventícia)
- Veias:
1- parede mais delgada
2- formato irregular
3- lúmen mais amplo
4- túnica adventícia mais espessa do que 
a média
5- maior quantidade de vasa vasorum
do que nas artérias 
6- pode ocorrer vasa vasorum (principalmente 
nas túnicas adventícia e média)
quando for comparar precisa ser do mesmo calibre
ambas de grande, médio, etc
são vasos de capacitância 
A túnica média vai ser a mais espessa nos vasos eferentes
A túnica adventícia vai ser a mais espessa nos aferentes
Um vaso dentro de outro vaso
Vai nutrir e oxigenar camadas + ext.
Geralmente na adventícia 
Highlight
endotélio
subendotélio
Lâmina elástica interna
Lâminas elásticas (estas não são
Internas – interna só tem uma!)
Nas artérias de grande calibre,
Muitas destas lâminas são 
visualizadas!
Nas de médio/pequeno calibre,
poucas destas lâminas são 
visualizadas!
Túnica média músculo liso 
(nas artérias elásticas também tem grande quantidade de
Lâminas elásticas) Vasa vasorum
Lâmina elástica externa
“ESQUEMA” DAS ARTÉRIAS
média
adventícia
i
n
t
i
m
a
t
e
s
p
tecido epitelial simples pavimentoso
tecido conjuntivo frouxo
t
c
f
Highlight
Highlight
m. liso
Mtas
Entre as lâminas elásticas tem músculo liso.
Podem ser chamadas de lamelas
DIFERENÇAS ENTRE ARTÉRIAS E VEIAS
redondo
irregular
Highlight
Highlight
HISTOLOGIA DAS ARTÉRIAS 
ELÁSTICAS (DE GRANDE CALIBRE)
Também chamada
de condutoras
HISTOLOGIA DAS ARTÉRIAS 
ELÁSTICAS
art elástica de grande calibre
art elástica 
Highlight
HISTOLOGIA DAS ARTÉRIAS 
ELÁSTICAS (DE GRANDE CALIBRE)
- Também chamadas de condutoras
- Correspondem às maiores e incluem a artéria aorta, o tronco 
pulmonar, as artérias carótidas comuns, subclávias e ilíacas comuns
- 50-75 lâminas elásticas
- Grande lúmen em relação à espessura de sua parede
- Túnica íntima  endotélio + tecido conjuntivo frouxo (fibras 
colágenas e elásticas embebidas em substância fundamental, além 
de fibroblastos isolados e ocasionais fibras musculares lisas) + lâmina 
elástica interna (pouco evidente)
- Túnica média  Abundantes lâminas elásticas concentricamente 
dispostas + camadas de células musculares lisas 
circunferencialmente organizadas (células musculares lisas na túnica 
média sintetizam e secretam os componentes do sistema elástico 
(lâminas elásticas), além de colágenos e outros elementos da matriz 
extracelular) + lâmina elástica externa (pouco evidente)
- Túnica adventícia  tecido conjuntivo frouxo, com predomínio de 
fibras colágenas orientadas longitudinalmente e fibroblastos 
esparsos + nervos + adipócitos  na maioria das artérias elásticas, a 
túnica adventícia contém pequenos vasos sanguíneos nutridores –
denominados em conjunto de “vasa vasorum” (“vasos dos vasos”) –
e capilares linfáticos
Lâmina elástica não pega bem nem com eosina
e nem com hematoxilina
Highlight
HISTOLOGIA DAS ARTÉRIAS 
MUSCULARES (MÉDIO E PEQUENO
CALIBRE)
a lamina elástica interna
é bem evidente pq praticamente
não tem no meio
lâmina elástica externa
HISTOLOGIA DAS ARTÉRIAS 
MUSCULARES (MÉDIO E PEQUENO
CALIBRE)
m. liso
artéria 
múscular
Lamina elástica
interna
- Também chamadas de distribuidoras  regulam o fluxo sanguíneo 
para órgãos e partes do corpo mediante contração e relaxamento do 
tecido muscular liso em suas paredes
- Exemplos  femoral, braquial e coronárias
- Pequeno calibre  3-4 camadas de músculo liso / Médio calibre 
20-40 camadas
- Túnica íntima  endotélio + tecido conjuntivo frouxo (fibras 
colágenas e elásticas embebidas em substância fundamental, além 
de fibroblastos isolados e ocasionais fibras musculares lisas) + lâmina 
elástica interna (bastante evidente)
- Túnica média  Poucas lâminas elásticas e concentricamente 
dispostas + camadas de células musculares lisas + fibras colágenas e 
outros elementos da matriz extracelular + lâmina elástica externa 
(bastante evidente)
- Túnica adventícia  tecido conjuntivo frouxo (fibras colágenas + 
elásticas)
HISTOLOGIA DAS ARTÉRIAS MUSCULARES 
(MÉDIO E PEQUENO CALIBRE)
Muscular não tem quase elástica 
Núcleo de músculo liso formato de salsicha e charuto
Quando a célula do músculo liso contrai o núcleo fica meio torcido como saca-rolha, rabo de porco 
A túnica do músculo liso é a túnica média 
hematoxilina cora bem os núcleos
HISTOLOGIA DAS ARTERÍOLAS
HISTOLOGIA DAS ARTERÍOLAS
núcleo endotélio 
túnica média 
Highlight
- Paredes espessas em comparação ao lúmen
- Vasos de resistência  constrição ou relaxamento mediante estímulos 
 controle da pressão sanguínea sistêmica
- 1-2 camadas de músculo liso na túnica média
- Túnica íntima  endotélio ancorado na lâmina basal + lâmina elástica 
interna (delgada ou ausente nas arteríolas menores)
- Túnica média  células musculares lisas
- Túnica adventícia  tecido conjuntivo frouxo (fibras colágenas + 
elásticas frouxamente organizadas)
HISTOLOGIA DAS ARTERÍOLAS
núcleo end
Highlight
a túnica média é a principal túnica da arteríola 
HISTOLOGIA DAS VEIAS DE GRANDE 
CALIBRE)
lúmen irregular
a túnica mais espessa das veias é a adventícia 
HISTOLOGIA DAS VEIAS DE 
GRANDE CALIBRE
HISTOLOGIA DAS VEIAS DE GRANDE 
CALIBRE)
- Exemplos veias cavas superior e inferior, veias porta do fígado, 
pulmonares, ázigo, renais, suprarrenais, esplênica e mesentérica 
superior
- Grandes vasos de capacitância que devolvem o sangue sob baixa 
pressão ao coração
- Túnica íntima  endotélio + tecido conjuntivo frouxo (fibras 
colágenas e elásticas embebidas em substância fundamental, além 
de fibroblastos isolados)
- Túnica média  não é bem desenvolvida  fibras musculares lisas
- Túnica adventícia  fibras musculares lisas + fibras elásticas e 
colágenas
- OBS: vasa vasorum podendo ocorrer tanto na túnica média quanto 
na adventícia
HISTOLOGIA DAS VEIAS DE MÉDIO/PEQUENO 
CALIBRE)
HISTOLOGIA DAS VEIAS DE MÉDIO/PEQUENO 
CALIBRE)
- Túnica íntima  endotélio + tecido conjuntivo frouxo (fibras 
colágenas e elásticas embebidas em substância fundamental, além 
de fibroblastos isolados)  bastante delgada
- OBS: nesta túnica muitas veias de médio/pequeno calibre 
valvas  pregas da túnica íntima com um eixo de tecido conjuntivo 
frouxo (fibras colágenas + elásticas) recoberto em ambos os lados 
pelo endotélio
- Túnica média  não é bem desenvolvida  pequenos feixes de 
fibras musculares lisas
- Túnica adventícia  proeminente  grande quantidade de fibras 
elásticas e colágenas
- OBS: vasa vasorum podendo ocorrer tanto na túnica média quanto 
na adventícia
válvulas:
As válvulas são voltadas para a túnica íntima 
nas valvas do coração é conjuntivo denso
nas válvulas das veias é conjuntivo frouxo 
capilar linfático é similar ao capilar sanguíneo 
Para distinguir se tiver hemácia dento é capilar sanguíneo 
Mas se não tem hemácia não tem como saber, são idênticos 
Highlight
Highlight
HISTOLOGIA DAS VÊNULAS
HISTOLOGIA DAS VÊNULAS
- Locais preferenciais para o extravasamento de células sanguíneas e 
para a formação de exsudatos da circulação para os tecidos 
circunjacentes, especialmente durante eventos inflamatórios agudos
- Túnica íntima  atenuado endotélio ancorado em uma lâmina basal
- Túnica média constituída por músculo liso muito mais delgada 
do que a das arteríolas
- Túnica adventícia  fibras colágenas
- OBS: muito difícil distinguir as três túnicas!
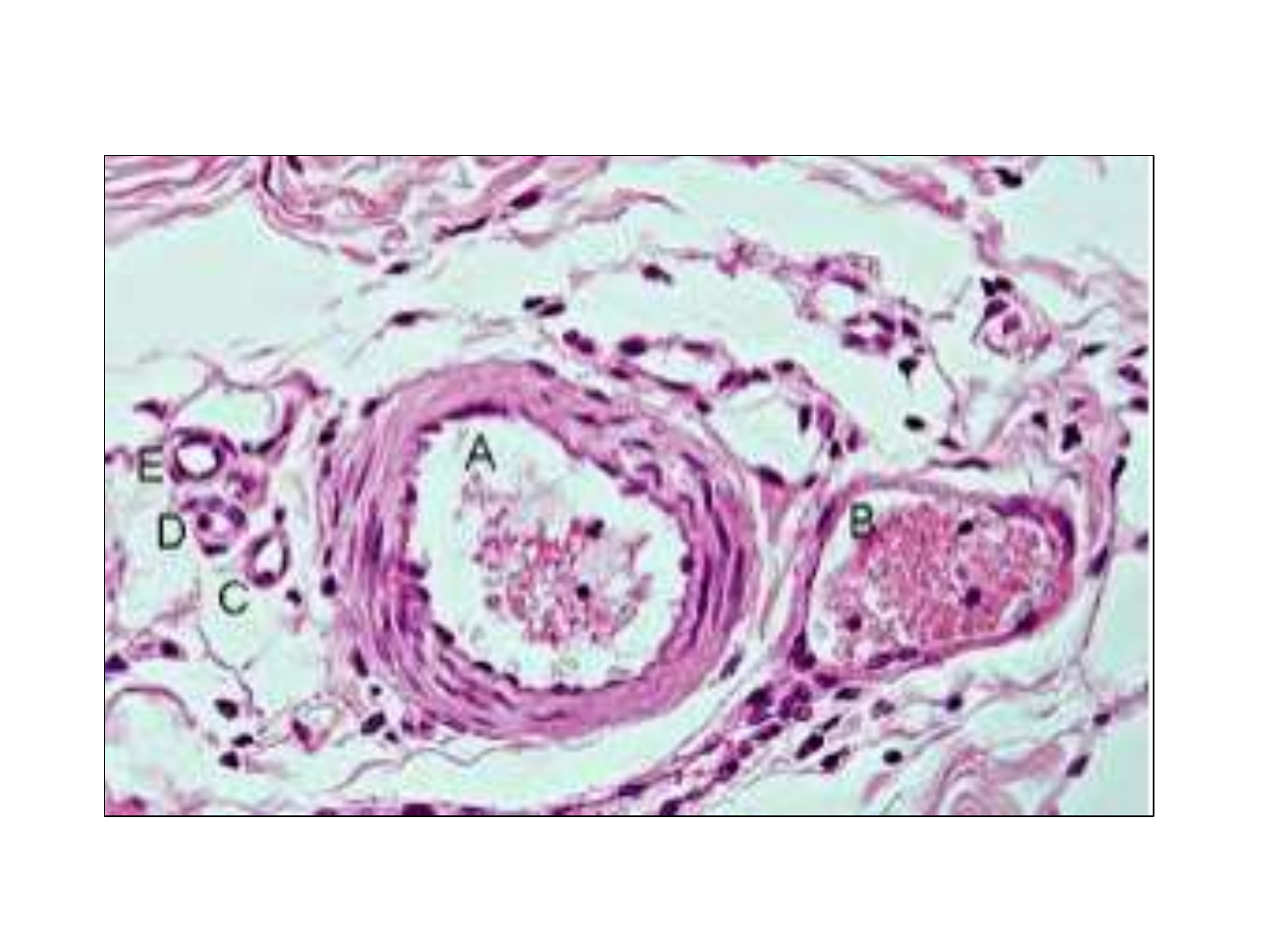
ARTERÍOLA, VÊNULA E VALVA
HISTOLOGIA DOS CAPILARES
1
1 núcleo só 
Pode ter até no máximo 3
HISTOLOGIA DOS CAPILARES
- Mais de 90% de todos os vasos sanguíneos do corpo
- Atuam nas trocas de O2, CO2, nutrientes e hormônios entre a 
corrente sanguínea e os tecidos
- Somente túnica íntima  endotélio ancorado em uma lâmina basal 
+ pericitos esparsos
- Três tipos de capilares que variam de ultraestrutura e 
permeabilidade contínuos, capilares fenestrados e capilares 
sinusoides adaptados às demandas funcionais de órgãos e tecidos 
específicos
- OBS: pericitos células-tronco mesenquimais pluripotenciais que 
podem dar origem a células endoteliais, fibroblastos ou células 
musculares lisas nas paredes dos vasos sanguíneos, dependendo do 
tipo de vaso, especialmente em resposta a uma injúria ou à 
estimulação por fatores de crescimento
não se contrai bem 
HISTOLOGIA DOS CAPILARES
Highlight
Highlight
Highlight
HISTOLOGIA DOS CAPILARES
MICROCIRCULAÇÃO 
(ARTERÍOLAS, VÊNULAS E CAPILARES)
MICROCIRCULAÇÃO 
(ARTERÍOLAS, VÊNULAS E CAPILARES)

Mais conteúdos dessa disciplina