Logo Passei Direto
Buscar
Material
páginas com resultados encontrados.
páginas com resultados encontrados.
left-side-bubbles-backgroundright-side-bubbles-background

Crie sua conta grátis para liberar esse material. 🤩

Já tem uma conta?

Ao continuar, você aceita os Termos de Uso e Política de Privacidade

left-side-bubbles-backgroundright-side-bubbles-background

Crie sua conta grátis para liberar esse material. 🤩

Já tem uma conta?

Ao continuar, você aceita os Termos de Uso e Política de Privacidade

left-side-bubbles-backgroundright-side-bubbles-background

Crie sua conta grátis para liberar esse material. 🤩

Já tem uma conta?

Ao continuar, você aceita os Termos de Uso e Política de Privacidade

Prévia do material em texto

1/3
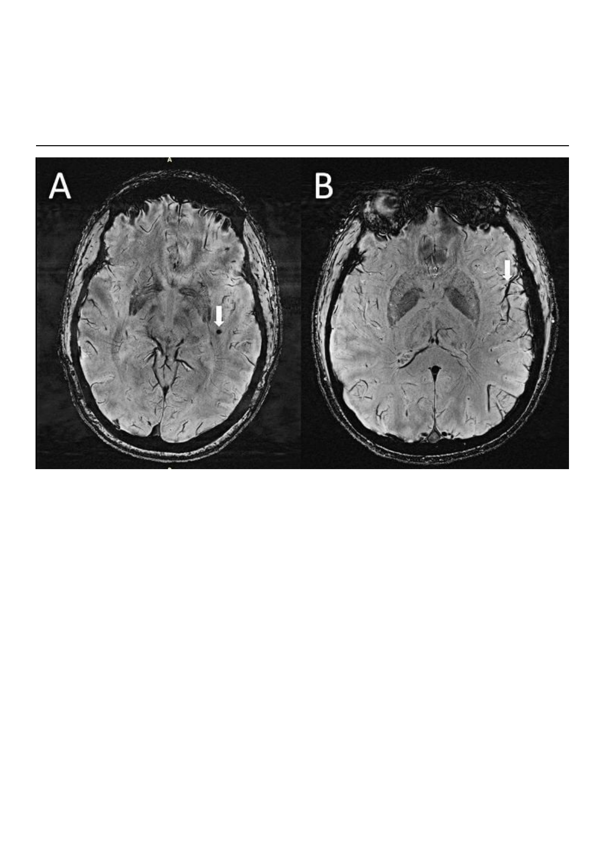
RRI de ultra-alta resistência revela alterações cerebrais de
enxaqueca
(A) Microssangramento cerebral (CMB) visualizado como lesões redondas e escuras (seta) na
sequência SWI no lobo temporal esquerdo em um caso de enxaqueca com aura. (B) A assimetria no
aparecimento dos vasos corticais é mais proeminente no lado esquerdo (seta) ipsilateral à CMB.
Pela primeira vez, um novo estudo identificou espaços perivasculares aumentados no cérebro de
pessoas que sofrem de enxaqueca. Os resultados do estudo serão apresentados na próxima semana na
reunião anual da Sociedade Radiológica da América do Norte (RSNA).
“Em pessoas com enxaqueca crônica e enxaqueca episódica sem aura, há mudanças significativas nos
espaços perivasculares de uma região do cérebro chamada centrum semiovale”, disse o co-autor do
estudo Wilson Xu, candidato em MD na Keck School of Medicine da Universidade do Sul da Califórnia,
em Los Angeles. “Essas mudanças nunca foram relatadas antes.”
A enxaqueca é uma condição comum, muitas vezes debilitante, envolvendo uma dor de cabeça
recorrente grave. Enxaquecas também podem causar náuseas, fraqueza e sensibilidade à luz. De
acordo com a American Migraine Foundation, mais de 37 milhões de pessoas nos EUA são afetadas
pela enxaqueca, e até 148 milhões de pessoas em todo o mundo sofrem de enxaqueca crônica.
Espaços periavasculares são espaços cheios de fluidos em torno dos vasos sanguíneos no cérebro.
Eles são mais comumente localizados nos gânglios basais e na substância branca do cérebro e ao longo
2/3
do trato óptico. Os espaços periavasculares são afetados por vários fatores, incluindo anormalidades na
barreira hematoencefálica e inflamação. Espaços perivasculares aumentados podem ser um sinal de
doença subjacente de pequenos vasos.
“Os espaços perivasculares fazem parte de um sistema de depuração de fluidos no cérebro”, disse Xu.
“Estudar como eles contribuem para a enxaqueca poderia nos ajudar a entender melhor as
complexidades de como ocorrem as enxaquecas”.
Xu e seus colegas se estabeleceram para determinar a associação entre enxaqueca e espaços
perivasculares aumentados. Os pesquisadores usaram a ressonância magnética 7T de campo ultra-alto
para comparar as alterações microvasculares estruturais em diferentes tipos de enxaqueca.
“Até onde sabemos, este é o primeiro estudo usando ressonância magnética de ultra-alta resolução para
estudar mudanças microvasculares no cérebro devido à enxaqueca, particularmente em espaços
perivasculares”, disse Xu. “Como a ressonância magnética 7T é capaz de criar imagens do cérebro com
resolução muito maior e melhor qualidade do que outros tipos de ressonância magnética, ela pode ser
usada para demonstrar mudanças muito menores que acontecem no tecido cerebral após uma
enxaqueca”.
Os participantes do estudo incluíram 10 com enxaqueca crônica, 10 com enxaqueca episódica sem aura
e cinco controles saudáveis pareados pela idade. Todos os pacientes tinham entre 25 e 60 anos. Foram
excluídos do estudo pacientes com comprometimento cognitivo evidente, tumor cerebral, cirurgia
intracraniana prévia, contraindicações de RM e claustrofobia.
Os pesquisadores calcularam espaços perivasculares ampliados na semiovale de centrum (área central
da matéria branca) e áreas de gânglios basais do cérebro. As hiperintensidades da matéria branca –
lesões que “iluminam” na ressonância magnética – foram medidas usando a escala Fazekas. Os
microssangregados cerebrais foram classificados com a escala de classificação anatômica
microssangrada. Os pesquisadores também coletaram dados clínicos como duração e gravidade da
doença, sintomas no momento da varredura, presença de aura e lado de dor de cabeça.
A análise estatística revelou que o número de espaços perivasculares aumentados no semiovale
centrum foi significativamente maior em pacientes com enxaqueca em comparação com controles
saudáveis. Além disso, a quantidade de espaço perivascular aumentado na semiovale de centrum
correlacionou-se com a gravidade da hiperintensidade da substância branca profunda em pacientes com
enxaqueca.
“Estudamos enxaqueca crônica e enxaqueca episódica sem aura e descobrimos que, para ambos os
tipos de enxaqueca, os espaços perivasculares eram maiores na semiovale centrum”, disse Xu. “Embora
não tenhamos encontrado alterações significativas na gravidade das lesões da substância branca em
pacientes com e sem enxaqueca, essas lesões da substância branca estavam significativamente ligadas
à presença de espaços perivasculares aumentados. Isso sugere que mudanças nos espaços
perivasculares podem levar ao desenvolvimento futuro de mais lesões da substância branca.
Os pesquisadores levantam a hipótese de que diferenças significativas nos espaços perivasculares em
pacientes com enxaqueca em comparação com os controles saudáveis podem ser sugestivas de
interrupção glinfática dentro do cérebro. O sistema glinfático é um sistema de depuração de resíduos
3/3
que utiliza canais perivasculares para ajudar a eliminar proteínas solúveis e metabólitos do sistema
nervoso central.
No entanto, se tais mudanças afetam o desenvolvimento da enxaqueca ou resultam da enxaqueca é
desconhecido. Estudo contínuo com populações de casos maiores e acompanhamento longitudinal
estabelecerá melhor a relação entre mudanças estruturais e desenvolvimento de enxaqueca e tipo.
“Os resultados do nosso estudo podem ajudar a inspirar estudos futuros em maior escala para continuar
investigando como as mudanças nos vasos microscópicos do cérebro e no suprimento de sangue
contribuem para diferentes tipos de enxaqueca”, disse Xu. “Eventualmente, isso pode nos ajudar a
desenvolver maneiras novas e personalizadas de diagnosticar e tratar a enxaqueca”.
Os co-autores são Brendon Chou, Giuseppe Barisano, Raymond Huang, Soniya Pinto, M.D., Daniel
Chang Phung, M.D., Soma Sahai-Srivastava, Alexander Lerner, M.D., e Nasim Sheikh Bahaei, M.D.,
FRCR.

Mais conteúdos dessa disciplina