Logo Passei Direto
Buscar
Material
páginas com resultados encontrados.
páginas com resultados encontrados.
left-side-bubbles-backgroundright-side-bubbles-background

Experimente o Premium!star struck emoji

Acesse conteúdos dessa e de diversas outras disciplinas.

Libere conteúdos
sem pagar

Ajude estudantes e ganhe conteúdos liberados!

Prévia do material em texto

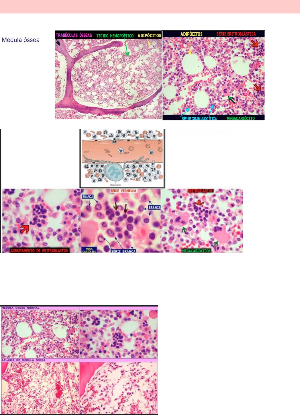
ANEMIA APLÁSICA 
Ocorre a falência das 3 linhagens celulares: leucócitos, trombócitos e eritócitos (plaquetas, hemácias e glóbulos 
brancos). 
 
A medula óssea fica contida por várias células adiposas no estroma. 
 
As células eritroblásticas tendem a hipercromatismo. Já os leucócitos apresentam núcleos menos corados e citoplasma 
mais branco. Assim, evidencia a liposubstituição com perda de tecido medular por células de tecido adiposo e 
linfócitos. 
 A Biopsia é padrão ouro para o diagnóstico (quando faz punção não vem nada de medula 
óssea). 
 
OBS: Anemia aplásica NÃO resulta em leucemia, pois ela não forma célula, assim não tem como ter leucemia se não 
tem célula nenhuma.

Mais conteúdos dessa disciplina