Logo Passei Direto
Buscar
Material
páginas com resultados encontrados.
páginas com resultados encontrados.

Prévia do material em texto

CALCIFICAÇÕES E OSSIFICAÇÕES DOS TECIDOS MOLES 
A deposição de sais de cálcio, principalmente fosfato de cálcio, normalmente ocorre no esqueleto humano. Quando 
esta ocorre de forma desorganizada nos tecidos moles, denomina-se calcificação heterotópica (desenvolvida em local 
incomum) e normalmente nem apresentam sinais clínicos e são achados em exames radiográficos de rotina. Esta 
mineralização do tecido mole pode se desenvolver numa grande variedade de alterações não correlacionadas e de 
processos degenerativos. Podem ser distróficas (formado no interior de um tecido degenerado, doente e necrosado 
apesar dos níveis sorológicos normais de cálcio e fosfato), idiopáticas (deposição em tecido normal, independente dos 
níveis sorológicos de cálcio e fosfato) e metastáticas (ocorre a partir da precipitação de minerais no interior do tecido 
normal como consequência dos altos níveis sorológicos de cálcio ou fosfato). 
Na maior parte dos casos o importante é saber identificar a calcificação corretamente para determinar a necessidade 
de tratamento ou de outros métodos de investigação. Algumas calcificações de tecido mole não necessitam de qualquer 
intervenção ou acompanhamento a longo prazo, enquanto outras podem representar uma ameaça à vida, devendo sua 
causa principal ser tratada. Quando a calcificação do tecido mole é adjacente ao osso, algumas vezes é difícil determinar 
se a calcificação está ocorrendo dentro do osso ou do tecido mole. Outra incidência radiográfica perpendicular é 
bastante útil. 
CALCIFICAÇÃO DISTRÓFICA 
- CALCIFICAÇÕES DISTRÓFICAS GERAIS DAS REGIÕES ORAIS: relacionado a sítios de inflamação crônica (cistos 
inflamatórios crônicos) ou em tecidos necrosados e que estão em processo de necrose. Pode estar em gengiva, língua, 
nódulos linfáticos e bochechas. Pode não apresentar sinais clínicos ou apresentar uma tumefação mais discreta. 
Radiograficamente podem ser finos grãos radiopacos de difícil visualização até partículas irregulares maiores. Pode 
apresentar uma ou mais. 
- NÓDULOS LINFÁTICOS CALCIFICADOS: ocorre em nódulos linfáticos que estão inflamados cronicamente, sendo uma 
mineralização distrófica, assintomático e mais acomete submandibulares e cervicais. Pode ser provocada em casos de 
tuberculose, AIDS. Não tem necessidade de tratamento em si, mas deve-se avaliar a causa. Tem característica de 
formato lobulado e a deposição em cadeia. 
- CALCIFICAÇÃO DISTRÓFICA NAS TONSILAS (TONSILOLITO): formados em episódio recorrentes de inflamação, sendo 
uma mineralização distrófica, com aumento de volume das criptas tonsilares podendo apresentar dor, inchaço, mau 
cheiro e leva a dificuldade de deglutição. 
- CISTICERCOSE: a larva de Taenia solium se aloja em músculos da mastigação e da mimica, além de músculos do pescoço 
e quando morrem, elas calcificam nos tecidos que se alojaram. Mais visualizados em tomografia computadorizados. Em 
casos graves há distúrbios gastrointestinais, epilepsia, dor de cabeça, distúrbios visuais e irritabilidade. 
 
CALCIFICAÇÃO ARTERIAL 
- ESCLEROSE CALCIFICANTE DA MÉDIA DE MONCKEBERG (ARTERIOESCLEROSE): deposição de cálcio no interior da túnica 
média dos vasos sanguíneos, podendo envolver a artéria facial e a carótida. Esboçam o contorno da artéria. 
- PLACA ATEROMATOSA CALCIFICADA: calcificação distrófica ocorre na formação de placas dentro do revestimento 
interno do vaso sanguíneo envolvido, principal causa do AVC. Fator de risco é ser homem, fumar, beber, ser sedentário, 
obesidade e ter mais de 50 anos. Aparece mais na região de bifurcação arterial. Se ver na AP de towne modificada 
(diminuir os fatores de exposição) lateralmente a coluna, é a placa ateromatosa. Se tiver projetada e sobreposta na 
coluna cervical é a calcificação da cartilagem tritícea. Exame ultrassom doppler também pode ser usado para avaliar a 
presença de placas ateromatosas e fechar o diagnóstico (AP não fecha diagnóstico), vendo o estreitamento e o fluxo 
sanguíneo da artéria analisada. 
CALCIFICAÇÃO IDIOPÁTICA 
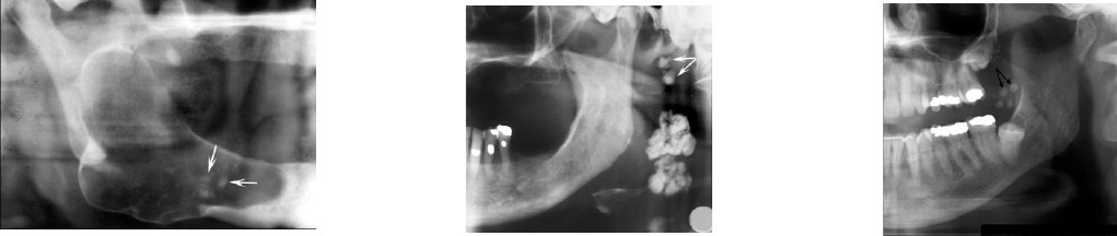
- SIALOLITO: cálculos encontrados no interior dos ductos das glândulas salivares pela precipitação de sais e cálcio e 
fosfato devido a diminuição do fluxo salivar que pode estar estacionário e características físico-químicas da própria 
secreção salivar. A técnica oclusal de mandíbula reduzindo o tempo de exposição para ser visto melhor e diferenciar de 
lesões intra-ósseas que aparecem as vezes em panorâmicas e outros métodos. Não precisa de tomografia. A intervenção 
pode ser necessária ou não. 
- FLEBOLITOS: trombos intravasculares originados a partir da estagnação venosa e então podem se estruturar e sofrer 
calcificações (mineralização idiopática). Comum em regiões de hemangiomas e lesões vasculares na região da cabeça e 
do pescoço.. Mineralizações concêntricas que mostram a estrutura interna com aspecto de alvo. 
- CALCIFICAÇÕES NA CARTILAGEM LARÍNGEA: cartilagem tritícea e cartilagem tireóidea que são de cartilagem hialina 
tem tendência a se ossificar com o avanço da idade (mineralização idiopática). Diferencial pra ateroma, fazer a aAP de 
towne modificada. 
- RINOLITO/ANTROLITO: corpos ou pedras calcificadas que ocorrem na cavidade nasal ou no antro dos seios maxilares 
que surgem pela deposição de minerais (sais de cálcio) ao redor de um determinado sítio, normalmente um corpo 
estranho exógeno ou endógeno. É assintomático ou ter sintomatologia. Antrolito pode confundir com osteoma no seio. 
 
CALCIFICAÇÃO METASTÁTICA 
Causada por hiperparatireoidismo ou hipercalcemia das malignidades que aumentam o número de cálcio sorológico ou 
insuficiência renal crônica que aumenta os índices de fosfato 
OSSO HETEROTÓPICO 
- OSSIFICAÇÃO DO LIGAMENTO ESTILO-HIOIDE: normalmente bilateral e se estende para baixo da base do crânio e está 
associado a algumas síndromes que promovem essa calcificação (síndrome de Eagle, que essa sim, possui 
sintomatologia: tonteira, desmaio), mas assintomático. 
- OSTEOMA CUTÂNEO: ossificação do tecido mole rara que acomete a pele e ocorrem secundariamente a presença de 
acne de longa duração que desenvolveu numa cicatriz ou dermatose inflamatória crônica. Pode ser visualizado nas 
radiografias periapicais, interproximal (com mais detalhes), mas também em outras incidências que pegam a pele. 
- MIOSITE OSSIFICANTE: tecido fibroso e osso heterotópico são formados dentro do tecido intersticial muscular e de 
tendões e ligamentos associados. Pode ocorrer destruição secundária e atrofia muscular a medida que o tecido fibroso 
e ósseo penetram e separam as fibras dos músculos envolvidos. 
-- MIOSITE OSSIFICANTE LOCALIZADA (TRAUMÁTICA): resultado de um trauma agudo ou crônico ou de um forte 
estiramento muscular. -- MIOSITE OSSIFICANTE PROGRESSIVA: rara e de etiologia desconhecida

Mais conteúdos dessa disciplina