Prévia do material em texto
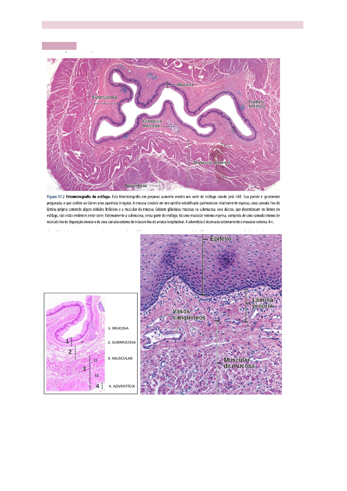
Júlia S. Crescencio / P2 / UC IV ESÔFAGO Júlia S. Crescencio / P2 / UC IV MUCOSA ● Revestimento epitelial: estratificado pavimentoso não queratinizado ● Lâmina própria: tecido conjuntivo; fibras; glândulas cardioesofágicas (secreção mucosa - lubrificação e proteção) + GALT (tecido linfático) ● Muscular da mucosa: só longitudinal SUBMUCOSA ● TCD, vasos e glândulas (esofágica propriamente ditas - secreção mucosa) ● Plexo submucoso (Meissner) - Secreção; Inerva a muscular da mucosa. MUSCULAR EXTERNA ● Camada circular interna ● Plexo mioentérico (Auerbach) - Motilidade (entre as camadas) ● Camada longitudinal externa ● Transição ao longo do órgão (estriado esquelético - estriado esquelético/liso - liso) ADVENTÍCIA ● (apenas tecido conjuntivo) ● no cervical e torácico SEROSA ● (abaixo do diafragma; mesotélio/peritônio visceral) Júlia S. Crescencio / P2 / UC IV DEGLUTIÇÃO - fase esofágica ● Involuntária, peristaltismo ● Onda primária - transporte ● Ondas secundárias - limpeza ● Ondas terciárias - patológico Júlia S. Crescencio / P2 / UC IV ESTÔMAGO ● Digestão química ● Movimentos peristálticos ● Contrações MUCOSA GÁSTRICA ● epitélio colunar simples ● rugas ● fossetas gástricas com glândulas tubulares OBS: a muscular externa tem 3 camadas TIPOS CELULARES - Células de revestimento - Células regenerativas (tronco) - Células da mucosa da superfície: cobertura gelatinosa espessa e viscosa que adere a superfície, protegendo a célula do quimo e sua alta concentração de bicarbonato protege do suco gástrico - Células da mucosa do colo: muco solúvel menos alcalino que o da superfície; proteção - Células oxínticas ou parietais: HCL e fator intrínseco (VIT. B12) - Célula zimogênica ou principal: localizadas nas partes mais profundas das glândulas; mais roxas: pepsinogênio, lipase gástrica, renina - Células endócrinas (SNED) Júlia S. Crescencio / P2 / UC IV Em preto: zimogênicas/principais Em laranja: oxínticas/parietais A célula mucosa do cólon é muito mais curta que a célula mucosa da superfície e contém uma quantidade de mucinogênio consideravelmente menor no citoplasma apical. Júlia S. Crescencio / P2 / UC IV DIVISÕES HISTOLÓGICAS ● REGIÃO CÁRDICA - Glândulas cárdicas - Muco alcalino para impedir a auto-digestão - Lisozima para desestruturar as paredes de bactérias que estão no quimo - H+ e Cl- ● REGIÃO FÚNDICA - Glândulas gástricas/fúndicas: produzem o suco gástrico ● simples e ramificadas ● no istmo: células tronco ● suco gástrico: água + eletrólitos + HCl + Pepsina + Muco + Fator intrínseco ● REGIÃO PILÓRICA Júlia S. Crescencio / P2 / UC IV - Glândulas pilóricas - Fossetas mais profundas - Glândulas mais curtas - Muitas células enteroendócrinas secretoras de gastrina INTESTINO DELGADO Duodeno > jejuno > íleo Júlia S. Crescencio / P2 / UC IV Mucosa: evaginações (vilosidades) e invaginações (glândulas); ● Somente no duodeno encontramos glândulas na submucosa (de Brunner) TIPOS CELULARES: ● Enterocitos/Absortivas ● Caliciformes ● Paneth ● Enteroendócrinas ● Células M Júlia S. Crescencio / P2 / UC IV Células de Paneth Júlia S. Crescencio / P2 / UC IV Placas de Peyer no íleo. INTESTINO GROSSO Ceco + Apêndice vermiforme > cólon > reto Mesmos tipos de células delgado, mas sem as de Paneth Cólon Reto Junção reto-anal Júlia S. Crescencio / P2 / UC IV FÍGADO Hepatócito Sinusóides Espaço porta com a tríade portal na extremidade do lóbulo ● Veia porta, artéria hepática, ducto biliar. Lóbulo clássico: fluxo sanguíneo (periferia > veia central: centrípeto) Lóbulo porta: excreção (centro > espaço porta: centrífugo, ex: bile) Júlia S. Crescencio / P2 / UC IV PÂNCREAS Júlia S. Crescencio / P2 / UC IV Ilhotas. Setas: células A. Setas: ilhotas de langerhans. Ducto interlobular à esquerda, inferior.