Logo Passei Direto
Buscar
Material
páginas com resultados encontrados.
páginas com resultados encontrados.

Prévia do material em texto

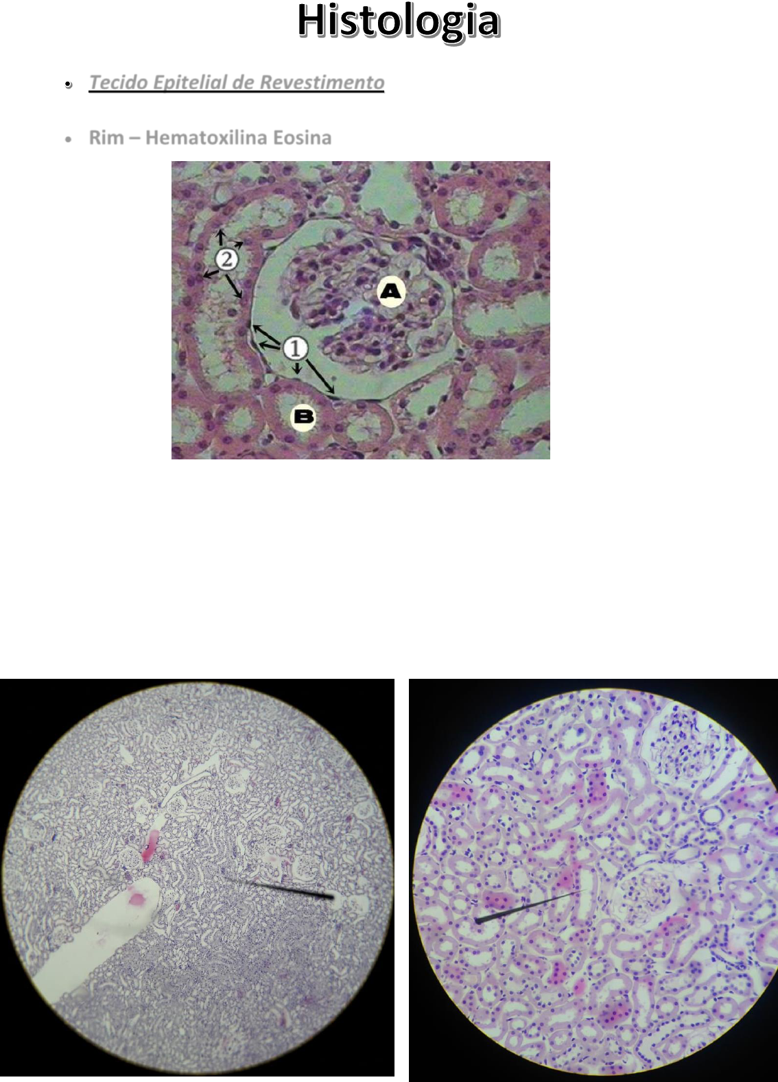
Tecido Epitelial de Revestimento
• Rim – Hematoxilina Eosina 
 
 
 
 
 
 
 
 
 
 
A- Glomérulo (corpúsculo renal) 
B- Túbulo Renal 
1- Epitélio simples pavimentoso 
2- Epitélio simples cúbico com microvilosidades (aumentar a absorção dos nutrientes) 
Função: Excretar resíduos pela urina possibilitando a homeostase no organismo, 
equilibrar o volume do líquido Extracelular. 
 
 
• Palato Duro – Hematoxilina Eosina 
 
 
 
 
 
 
 
 
 
 
 
 
 
 
 
 
 
A – Queratina 
1 – Epitélio estratificado pavimentoso queratinizado (parcialmente) ("pele grossa") 
2 – Tecido conjuntivo denso não modelado 
Se organizam em cinco camadas: basal, espinhosa, granulosa, lúcida e córnea 
 
 
 
 
 
 
 
 
 
 
 
 
 
 
 
 
 
• Seio Paranasal (maxilar) Hematoxilina Eosina 
 
 
 
 
 
 
 
 
 
 
 
 
 
 
 
A – Cílios 
1 – Epitélio pseudo estratificado colunar ciliado com células caliciformes 
2 – Tecido conjuntivo frouxo (acidófila) 
Tem células basais, células prismáticas ciliadas e caliciformes 
 
 
 
 
• Esôfago Hematoxilina Eosina 
 
 
 
 
 
 
 
 
 
 
 
 
 
 
 
 
 
 
 
 
 
 
 
 
 
1 – Epitélio estratificado pavimentoso não queratinizado 
2 – Tecido conjuntivo denso não modelado 
 
 
 
 
 
• Epidídimo – Hematoxilina Eosina 
 
 
 
 
 
 
 
 
 
 
 
 
 
 
 
A – Estereocílios 
B – Espermatozoides 
1 – Epitélio pseudo estratificado cilíndrico com estereocílios 
Este epitélio participa da absorção e digestão dos corpos residuais das espermátides, 
que são eliminadas durante a espermiogênese 
 
 
 
• Córnea – Hematoxilina Eosina 
 
 
 
 
 
 
 
 
 
 
 
 
1 - Epitélio estratificado pavimentoso não queratinizado 
2 – Tecido conjuntivo denso modelado 
Juntamente com a esclera forma a túnica externa do olho 
 
 
 Tecido Epitelial de Glandular
 
• Parótida (Exócrina) Hematoxilina Eosina 
 
 
 
 
 
 
 
 
 
endócrinas ou de secreção interna, como hipófise, ovário, testículo. 
exócrinas: secretam substâncias para fora do corpo ou para dentro de uma cavidade corporal. 
1 – Acinosa Serosa 
 2 – Ducto 
Os ácinos são formados exclusivamente por células serosas que contêm grânulos de 
secreção ricos em proteínas, a secreção do produto é dada por ductos excretores e vai ser 
merócrina a secreção é liberada pela célula por meio de exocitose, sem perda de outro 
material celular como o seu citoplasma. 
 
 
 
 
 
• Adrenal/Supra Renal (Endócrino) (H.E.) 
 
 
 
 
 
 
 
 
 
 
 
 
 
 
 
 
 
 
 
1 – Luz dos vasos sanguíneas (nessa glândula não há ductos e os hormônios são lançados 
diretamente nos vasos sanguíneos) 
2 – Cordonal (células que produz hormônio) (armazena no citoplasma) 
(Tireoide é a única glândula folicular) 
 
 
 
 
• Fígado (Mista) (H.E.) 
 
 
 
 
 
 
 
 
 
 
 
 
1 – Hepatócitos 
2 – Capilares 
3 – Canalículos 
Tríade hepática (Ducto biliar, arteríola e vênula) 
• Função endócrina: Os hepatócitos são responsáveis tanto pela secreção de 
glicogênio na circulação através dos sinusóides hepatócitos. 
• Função exócrina: Também são responsáveis pela síntese e eliminação da bile na 
complexa rede de canalículos que se anatomosam nos ductos biliares. 
 
 
 
 
 
 
 
 
 
 
 
 
 
• Intestino Delgado (Exócrina) (H.E.) 
 
 
 
 
 
 
 
 
 
 
 
 
 
 
1 – Glândula intestinal do tipo tubular ( é uma vilosidade que sofre invaginação) 
2 – Células Caliciformes (produz muco) estão dentro dos túbulos glandulares 
-Epitélio cilíndrico simples com microvilosidades 
-Nas glândulas a porção secretora que secreta mas na globular ela é toda secretora por 
causa das cel. Caliciformes 
 
 
 
 
 
 
• Tecido Conjuntivo (Verhoeff) 
 
 
 
 
 
 
 
 
 
 
 
 
1 – Fibras elásticas 
 
 
 
 
 
 
 
 
 
 
 
 
 
 
• Fígado (Prata Reticulina) 
 
 
 
 
 
 
 
 
 
 
 
 
 
 
 
1 – Fibras reticulares 
Constituídas principalmente de colágeno tipo 3 com glicoproteínas e proteoglicanas 
Este tecido constitui o estroma que promove sustentação para os hepatócitos 
 
 
 
 
 
 
 
 
 
 
 
 
 
 
 
 
 
 
 
 
• Fígado (Tricrômico de Masson) 
 
 
 
 
 
 
 
 
 
 
 
 
 
 
 
 
 
 
1 – Fibras colágenas 
Este tecido conjuntivo promove sustentação para a tríade hepática 
 
 
 
 
 
 
 
 
 
Hepatócitos 
 
• Útero (H.E.) 
 
 
 
 
 
 
 
 
 
 
 
 
 
 
 
 
 
 
 
1 – Tecido conjuntivo frouxo (O endométrio está constituído pelo epitélio simples 
colunar com células secretoras e ciliadas e logo após o tecido) 
-contém fibrilas em sua matriz 
-O endométrio tem 2 camadas, uma basal mais profunda composta por tecido 
conjuntivo e parte das glândulas uterinas, e uma funcional formada pelo restante 
do tecido conjuntivo e porção final das glândulas uterinas 
 
 
 
 
 
 
 
 
 
 
 
 
• Palato (H.E.) 
 
 
 
 
 
 
 
 
 
 
 
 
 
A – Queratina 
1 – Epitélio estratificado pavimentoso queratinizado (parcialmente) ("pele grossa") 
2 – Tecido conjuntivo denso não modelado (rico em fibras colágenas finas, substância 
fundamental amorfa e fibroblastos) 
-Contem fibras colágenas espessas que se cruzam em vários sentidos assim como 
substância fundamental amorfa e fibroblastos 
 
 
 
 
 
 
 
 
 
 
 
 
 
 
 
 
 
3 – Tecido conjuntivo denso não modelado 
4 – Fibroblastos (acidófilas) 
 
 
• Cordão Umbilical (H.E.) 
 
 
 
 
 
 
 
 
 
 
 
 
 
 
 
 
A – Artéria 
B – Veia 
1 – Tecido conjuntivo Mucoso 
-Fibroblastos mergulhados em abundante matriz extracelular frouxa, constituída 
principalmente po ácido hialurônico e esparsas fibras colágenas 
-Tecido encontrado no cordão umbilical e na polpa jovem do dente 
 
 
 
 
 
 
 
 
 
 
 
 
 
 
 
 
 
• Parótida (H.E.) 
 
 
 
 
 
 
 
 
 
 
 
 
 
A – Acinos Serosos 
B – Ductos 
1 – Tecido Conjuntivo denso não modelado 
2 – Tecido conjuntivo frouxo 
-Rico em fibras colágenas 
 
 
 
 
 
 
 
 
• Esclera (H.E.) 
 
 
 
 
 
 
 
 
 
 
 
 
 
 
 
1 – Tecido conjuntivo denso modelado 
-Apresenta fibras colágenas paralelas entre si e fibroblastos intercalados 
-Esse tipo de tecido conjuntivo pode também ser encontrado nos tendões 
 
 
 
 
 
 
 
 
 
 
 
 
 
 
 
 
 
 
• Timo (H.E.) 
 
 
 
 
 
 
 
 
 
 
 
 
 
 
A – Lobo Tímico 
1 – Tecido Adiposo unilocular 
2 – Tecido Adiposo multilocular 
- O Tecido unilocular apresenta uma única gotícula grande e tem função de 
reserva energética e armazenamento de triglicerídeos 
- O Tecido multilocular contém várias gotículas e funciona como termorreguladorEpitélio simples pavimentoso 
• RIM 
 
 Epitélio simples cúbico com microvilosidades 
 
• Rim 
 
 Epitélio estratificado pavimentoso queratinizado 
 
• Palato Duro 
 
 Epitélio estratificado pavimentoso não queratinizado 
 
• Esôfago 
• Córnea 
 
 Epitélio pseudo estratificado colunar 
 
• Seio paranasal (Com cel. Caliciformes) 
• Epidídimo (Com estéreo cílios) 
 
 Tecido conjuntivo denso não modelado 
 
• Palato duro 
• Esôfago 
• Parótida 
 
 Tecido conjuntivo denso modelado 
 
• Córnea 
• Esclera 
 
 Tecido conjuntivo frouxo 
 
• Seio Paranasal 
• Útero 
• Parótida 
 
 Tecido conjuntivo mucoso 
 
• Cordão Umbilical 
• Polpa jovem do dente

Mais conteúdos dessa disciplina