Logo Passei Direto
Buscar
Material
páginas com resultados encontrados.
páginas com resultados encontrados.

Prévia do material em texto

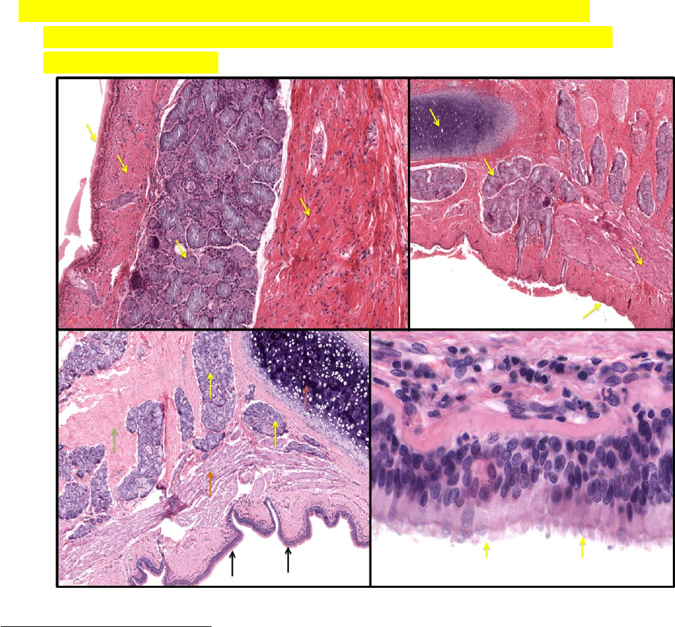
1. As imagens histológicas abaixo representam estruturas que pertence ao sistema respiratório. Descreva qual é, as partes representadas pelas setas e as suas e suas funções:
(https://histologyguide.com/)
🔬 Identificação geral:
As imagens mostram cortes de glândulas seromucosas, epitélio respiratório, cartilagem hialina e tecido conjuntivo, estruturas típicas da mucosa respiratória da traqueia e brônquios.
🟡 SETAS AMARELAS: Glândulas seromucosas
· Localização: Submucosa da traqueia e brônquios.
· Função: Produzem secreções mucosas e serosas.
· Mucosas: Lubrificam e protegem o epitélio respiratório.
· Serosas: Contêm enzimas e anticorpos para defesa contra microrganismos.
· Morfologia: Acinos arredondados com células de citoplasma claro (mucosas) ou basófilo (serosas).
🔴 SETA VERMELHA (centro superior direito): Células caliciformes
· Localização: Dispersas no epitélio respiratório pseudoestratificado.
· Função: Produção de muco para capturar partículas e microrganismos.
· Morfologia: Célula em forma de "taça", com acúmulo de muco na porção apical.
⚫ SETAS PRETAS: Epitélio respiratório (pseudoestratificado cilíndrico ciliado)
· Localização: Reveste traqueia, brônquios e parte dos bronquíolos.
· Função:
· Cílios: Movimentam o muco para fora (clearance mucociliar).
· Células basais: Progenitoras das células epiteliais.
· Morfologia: Núcleos em diferentes alturas, presença de cílios apicais visíveis.
🟢 SETAS VERDES: Cartilagem hialina
· Localização: Suporte da parede da traqueia e brônquios principais.
· Função: Mantém a via aérea aberta, impedindo o colapso.
· Morfologia: Matriz extracelular rósea, lacunas com condrócitos.
🟠 SETA LARANJA: Tecido conjuntivo da submucosa
· Localização: Entre o epitélio e as glândulas/cartilagem.
· Função:
· Suporte estrutural.
· Contém vasos, fibras elásticas e colágeno.
· Serve como meio de defesa com células imunológicas.
🔍 IMAGEM INFERIOR DIREITA (zoom):
Epitélio respiratório em detalhe:
· Mostra as células cilíndricas ciliadas, caliciformes e basais.
· Visualização clara dos cílios na borda apical (linha de "pelos").
2. Observe e identifique as imagens histológicas abaixo e com o auxílio dos livros de histologia classifique e diferencie as estruturas presente:
(https://histologyguide.com/ e https://mol.icb.usp.br/)
🔬 Imagem superior esquerda:
Estrutura: Bronquíolo respiratório
· Seta preta: Luz do bronquíolo.
· Seta amarela: Presença de alvéolos abrindo-se na parede do bronquíolo — característica típica de bronquíolos respiratórios.
· Seta azul: Provável alvéolo adjacente com paredes finas.
🟡 Diferencial:
· Epitélio simples cúbico/cilíndrico.
· Início da zona respiratória: permite troca gasosa.
· Parede interrompida por alvéolos.
🔬 Imagem superior direita:
Estrutura: Bronquíolo terminal
· Setas amarelas: Epitélio simples cúbico/cilíndrico sem células caliciformes nem cílios visíveis.
· Seta verde: Célula clara (Club cell ou de Clara).
· Seta laranja: Tecido conjuntivo com vasos adjacentes.
🟢 Diferencial:
MACROFAGO SETA AMARELA
· Última porção da via condutora do sistema respiratório.
· Sem cartilagem, sem glândulas, sem alvéolos nas paredes.
· Possui Club cells, que secretam proteínas e detoxificam.
🔬 Imagem inferior esquerda (zoom):
Estrutura: Epitélio de bronquíolo terminal (detalhe)
· Seta amarela: Núcleos das células cúbicas.
· Seta verde: Club cell.
· Lúmen visível, sem cílios, indicando bronquíolo terminal ou início de bronquíolo respiratório.
🟣 Diferencial:
· Epitélio simples cúbico.
· Células mais altas que alvéolos mas sem especializações apicais (como cílios).
🔬 Imagem inferior direita:
Estrutura: Vaso sanguíneo (provavelmente arteríola pulmonar)
· Seta preta: Lúmen com presença de hemácias.
· Parede espessa com músculo liso (arteríola).
⚫ Diferencial:
· Não se trata de bronquíolo (parede contínua e ausência de epitélio respiratório).
· Importante para o sistema de trocas gasosas, leva sangue pobre em O₂ até os capilares alveolares.
📊
(https://mol.icb.usp.br/)
🔬 Imagem superior esquerda:
Estrutura geral: Bronquíolo respiratório com alvéolos associados
· Setas verdes (duplas e simples):
· Apontam para bronquíolos respiratórios. Estes apresentam paredes discontínuas, com alvéolos se abrindo diretamente nelas — marca registrada dessa estrutura.
· Setas vermelhas:
 Apontam para alvéolos pulmonares, estruturas em forma de sacos com paredes finas formadas por pneumócitos do tipo I e II.
🔬 Imagem superior direita:
Estrutura geral: Duto alveolar
· Seta verde (única):
 Aponta para um duto alveolar, estrutura que sucede os bronquíolos respiratórios. São delimitados por alvéolos de ambos os lados e têm um trajeto mais amplo.
· Setas vermelhas:
 Indicam sacos alveolares (grupos terminais de alvéolos).
· Seta preta (triângulo):
 Representa o átrio alveolar, espaço comum no qual os alvéolos de um saco alveolar se abrem.
ESTUDAR NORMAL E FORÇADA
VALORES DO GYTON TUDOOO
RESPIRAÇÃO INTERNA 
🔬 Imagem inferior (centro):
Estrutura geral: Sacos alveolares e átrios
· Setas vermelhas:
 Continuam apontando para alvéolos, individualmente.
· Seta preta (triângulo):
 Marca o átrio, espaço central do saco alveolar.
3. Localize e depois explique a função de cada célula indicadas pelas setas na imagem abaixo: 
 (https://mol.icb.usp.br/ e Normal Histology; Lindberg and Lamps book)
 Perfeito! Essa imagem mostra diferentes colorações histológicas e imunohistoquímicas utilizadas para identificar os dois tipos principais de pneumócitos (células alveolares) presentes nos alvéolos pulmonares. Vamos analisar por partes:
🧪 Imagem 1 (à esquerda – coloração HE):
· Setas azuis claras:
· Apontam para pneumócitos tipo II, que têm núcleo arredondado, citoplasma mais evidente e volumoso, geralmente salientes para dentro da luz alveolar.
· Asteriscos pretos:
 Indicam a localização de pneumócitos tipo I, que são extremamente achatados, com núcleo fino e alongado, e recobrem a maior parte da superfície alveolar (difíceis de ver bem definidos em HE, mas perceptíveis pelas células bem aderidas à parede).
🧬 Imagem 2 (centro – Imunohistoquímica):
· Setas azuis:
 Marcam pneumócitos tipo II fortemente corados pela imunocoloração positiva para TTF-1, um marcador típico dessas células.
· Setas pretas:
 Indicam pneumócitos tipo I, que aparecem como células achatadas e alongadas, com pouco ou nenhum destaque citoplasmático na coloração.
🔷 Imagem 3 (direita – Imunocoloração TTF-1):
· Setas pretas:
 Apontam para pneumócitos tipo II com seus núcleos fortemente corados em preto, evidenciados pelo TTF-1.
· Setas azuis claras:
 Representam pneumócitos tipo I, os quais são mais achatados e discretos, com núcleos menos destacados.
4. Descreva as estruturas indicada pelas letras na imagem:
🔍 Descrição da Imagem:
🫁 Visão Geral:
A imagem mostra uma representação tridimensional e ampliada do final da árvore respiratória, incluindo:
· Bronquíolos respiratórios
· Ductos alveolares
· Sacos alveolares
· Alvéolos
Essas estruturas representam a região onde realmente ocorre a troca gasosa.
🔬 Estruturas Identificadas na Imagem:
Respiratory bronchiole (Bronquíolo respiratório):
· Pequenos tubos que se ramificam nos ductos alveolares.
· Já participam minimamente da troca gasosa.
Excelente! Abaixo está uma versão organizada e detalhada por tópicos do texto que você enviou, transformando a explicação em partes mais claras e didáticas — ideal para revisão ou estudo.
🫁 Estrutura e Função dos Bronquíolos Respiratórios e Dutos Alveolares
🧱 1. Estrutura dos Bronquíolos Respiratórios
· Semelhança com os bronquíolos terminais, mas com uma característica distinta:
· A parede dos bronquíolos respiratórios é interrompida por alvéolos — estruturas em forma de bolsas com paredes delgadas.
· Função principal dos alvéolos:
· Trocas gasosas (entrada de O₂ e eliminação de CO₂).
🔁 2. Ramificações e Transição para Dutos Alveolares
· Ao se ramificarem:
· O diâmetro dos bronquíolos respiratórios diminui.
· A quantidade de alvéolos aumenta.
· Fim dos bronquíolos respiratórios:
· Cada um termina emum duto alveolar.
· Os dutos alveolares são arranjos lineares de alvéolos.
🧪 3. Estrutura dos Dutos Alveolares
· Um duto alveolar pode:
· Se ramificar em outros dutos alveolares.
· Cada duto terminal termina em uma bolsa cega com grupos de alvéolos.
· Esses grupos formam os sacos alveolares.
🌀 4. Átrio
· Os sacos alveolares se abrem em um espaço comum:
· Esse espaço é chamado de átrio por alguns pesquisadores.
· Serve como ponto de convergência dos alvéolos de um mesmo saco.
🧬 5. Sustentação dos Dutos Alveolares
· A parede dos dutos é reforçada por:
· Septos interalveolares – tecido conjuntivo fino entre os alvéolos.
· Fibras elásticas – proporcionam elasticidade e resistência.
🧠 6. Controle do Fluxo de Ar: Esfíncteres Alveolares
· A entrada dos dutos alveolares é regulada por:
· Uma célula muscular lisa, conhecida como "botão" de músculo liso.
· Esta célula está envolta em colágeno tipo III.
· Forma um esfíncter delicado que controla o diâmetro da abertura.
🌬️ 7. Função das Fibras Elásticas
· Durante a inspiração:
· A rede de fibras elásticas mantém as estruturas abertas.
· Protege contra lesões provocadas pela distensão dos pulmões.
· Durante a expiração:
· As fibras elásticas ajudam no processo de expiração passiva (sem esforço).
Se quiser, posso também criar um esquema visual com base nessas informações para facilitar a memorização. Quer?
Alveolar duct (Ducto alveolar):
· Dutos que conduzem o ar até os sacos alveolares.
· Revestidos por alvéolos.
Alveolar sac (Saco alveolar):
Um duto alveolar, que se origina de um bronquíolo respiratório, se ramifica, e cada um dos dutos alveolares resultantes geralmente termina em uma bolsa em fundo cego com dois ou mais pequenos grupos de alvéolos, cada grupo sendo denominado saco alveolar. Estes sacos alveolares abrem-se, portanto, em um espaço comum, que alguns pesquisadores denominam átrio.
· Estrutura em forma de cacho de uva composta por vários alvéolos agrupados.
· Local principal da troca de gases.
Alveolus (Alvéolo):
· Pequenas bolsas de ar onde ocorre a difusão do oxigênio para o sangue e do CO₂ para fora do sangue.
· Envolvidos por capilares sanguíneos.
Alveolar pore (Poro alveolar):
· Pequenas aberturas entre alvéolos adjacentes.
· Permitem a equalização da pressão e a circulação de ar entre alvéolos.
🧬 Células destacadas na imagem:
Dust cell (macrophage) – Macrófago alveolar:
· Célula imunológica que remove partículas inaladas (poeira, bactérias).
· Visível como uma célula espinhosa flutuando no interior do alvéolo.
Type II pneumocyte – Pneumócito tipo II:
· Célula que produz surfactante pulmonar, reduzindo a tensão superficial e impedindo o colapso alveolar.
· Apresenta estruturas chamadas corpos lamelares, que armazenam surfactante.
Pneumócito tipo I (não está identificado diretamente com rótulo na imagem, mas está presente na parede alveolar):
· Célula achatada e fina que forma a maior parte da parede dos alvéolos.
· Permite a difusão eficiente dos gases.
🌬️ Barreira Alveolocapilar (detalhe ampliado):
· Mostra o local da troca gasosa:
· O₂ entra no capilar → ligado à hemoglobina nos eritrócitos.
· CO₂ sai do capilar para ser expirado.
· O sangue que passa por esse capilar é oxigenado e segue para o coração.
✅ Função Representada:
A imagem ilustra o processo de hematose, ou seja, a troca de gases (O₂ e CO₂) que ocorre entre o ar dentro dos alvéolos e o sangue nos capilares pulmonares.
5. Explique onde estão localizados os seguintes itens e qual a sua função: pleura parietal, pleura visceral, cavidade pleural e líquido pleural.
Cada cavidade torácica é revestida por uma membra na serosa, a pleura, composta por epitélio pavimentoso simples e tecido conjuntivo subseroso. Pode imaginar-se a pleura como sendo um balão inflado; ao desenvolver-se, o pulmão faz pressão contra esta membrana serosa, como se fosse um punho empurrando a superfície externa de um balão. Desta maneira, uma parte da pleura, a pleura visceral, reveste e adere ao pulmão, enquanto o restante da pleura, a pleura parietal, reveste e adere às paredes da cavidade torácica.
0 espaço entre a pleura visceral e a pleura parietal (parte interna do balão) é denominado cavidade pleural. Este espaço contém uma pequena quantidade de fluido seroso (produzido pelas membranas serosas) que torna possível o movimento, quase sem fricção, dos pulmões durante a ventilação (respiração), que envolve a movimentação de ar para dentro (inspiração) e para fora (expiração) dos pulmões.
6. Ainda a respeito da laringe, descreva o que é epiglote e qual a sua ação no processo de deglutição.
A epiglote é um segmento grande de cartilagem elástica em forma de folha que é recoberta por epitélio . Existe uma parte inferior afilada (pecíolo epiglótico) que está conectada à margem anterior da cartilagem tireóidea. A parte superior ampla em forma de “folha” da epiglote (cartilagem epiglótica) não está presa a nenhuma estrutura e se move para cima e para baixo como um alçapão. Durante a deglutição, a faringe e a laringe se movem para cima. A elevação da faringe amplia-a para receber alimentos ou bebidas; a elevação da laringe faz com que a epiglote se mova para baixo e cubra a glote, fechandoa. A glote é composta por um par de pregas de túnica mucosa, as pregas vocais (cordas vocais verdadeiras) na laringe, e o espaço entre elas é chamado de rima da glote. O fechamento da laringe desta maneira durante a deglutição desvia líquidos e alimentos para o esôfago e os mantêm fora da laringe e das vias respiratórias. Quando pequenas partículas de poeira, fumaça, alimentos ou líquidos passam para a laringe, ocorre um reflexo de tosse, geralmente expelindo o material. A epiglote constitui uma cobertura sobre o ádito (abertura) da laringe. Durante a respiração, a epiglote fica em posição vertical permitindo o fluxo de ar. Mas, durante a deglutição de comida, fluidos ou saliva, ela assume uma posição horizontal fechando o ádito laringeal. Entretanto, normalmente, mesmo na ausência da epiglote, o material deglutido ultrapassa a abertura da laringe.
7.Identifique as estruturas envolvidas na produção da voz
 1. Pregas da Laringe
· Pregas vestibulares (cordas vocais falsas):
· Localizadas na parte superior.
· Não produzem som, mas ajudam na retenção de ar durante esforço (ex: levantar peso).
· Espaço entre elas: rima do vestíbulo.
· Pregas vocais (cordas vocais verdadeiras):
· Localizadas inferiormente às vestibulares.
· Envolvidas diretamente na produção da voz (fonação).
· Revestidas por epitélio escamoso estratificado não queratinizado.
· Contêm ligamentos elásticos profundos que vibram como cordas de violão.
📌 2. Ventrículo da Laringe
· Definição: expansão lateral entre as pregas vestibulares (acima) e vocais (abaixo).
· Função: participa da modulação do som e movimentação das pregas.
📌 3. Produção da Voz (Fonação)
· Envolve:
· Contração dos músculos intrínsecos da laringe, que:
· Movem cartilagens.
· Tensionam ou relaxam os ligamentos vocais.
· Distensão das pregas vocais nas vias aéreas estreita a rima da glote.
· O ar que passa vibra as pregas vocais, produzindo ondas sonoras.
📌 4. Controle do Tom da Voz
· Mais tensão nas pregas → vibração mais rápida → tom mais alto.
· Menos tensão → vibração mais lenta → tom mais grave.
· Influência dos andrógenos:
· Homens: pregas vocais mais espessas e longas → voz mais grave e com menos variação de tom.
📌 5. Abertura e Fechamento da Glote
· Abertura (abdução):
· Contração dos músculos cricoaritenoides posteriores → afastam as pregas vocais → abrem a rima da glote.
· Fechamento (adução):
· Contração dos cricoaritenoides laterais → aproximam as pregas vocais → fecham a glote.
· Outros músculos:
· Alongam ou encurtam as pregas vocais, ajustando a tensão.
📌 6. Fala e Modulação Sonora
· Som gerado nas pregas vocais precisa de:
· Faringe, boca, cavidade nasal e seios paranasais como câmaras de ressonância.
· Músculos da faringe, língua, face e lábios para articular palavras.
📌 7. Sussurro
· Ocorre quando:
· A rima da glote está quase totalmente fechada, excetona parte posterior.
· Pregas vocais não vibram → sem tonalidade.
· Fala ainda possível através da modulação da cavidade oral.
8. A respeito do sistema respiratório superior identifique as estruturas destacadas pela seta, e descreva as subdivisões do nariz, cavidade nasal e faringe. Em seguida discuta sobre o processo de passagem de ar através do nariz.
PRINCIPIOS DE ANATOMIA E FISIOLOGIA 1147
 Nariz – Estrutura e Funções Principais
1. Divisão Geral
· Parte externa (visível na face)
· Parte interna (cavidade nasal, intracraniana)
2. Parte externa do nariz
🔹 Constituição:
· Estrutura de suporte: osso + cartilagem hialina
· Recoberto por músculo, pele e revestimento mucoso
🔹 Estrutura óssea:
· Formada pelos ossos:
· Frontal
· Ossos nasais
· Maxilas
Estrutura cartilaginosa:
· Cartilagem do septo nasal (forma a parte anterior do septo)
· Cartilagens nasais acessórias (abaixo dos ossos nasais)
· Cartilagens alares (formam as laterais das narinas)
· Flexível por ser feita de cartilagem hialina maleável
Narinas:
· Duas aberturas inferiores que conduzem o ar para o interior da cavidade nasal
🫁 3. Parte interna do nariz (cavidade nasal)
Funções principais:
1. Aquecimento, umidificação e filtragem do ar inspirado
2. Detecção de estímulos olfatórios
3. Ressonância da voz (modifica e amplifica o som da fala)
Ressonância:
· Capacidade das cavidades nasais de amplificar ou modificar o som pela vibração do ar
Cavidade Nasal 
1. Localização e Estrutura Geral
· Espaço amplo localizado na face anterior do crânio.
· Situada:
· Inferiormente ao osso nasal
· Superiormente à cavidade oral
· Revestida por músculo e túnica mucosa
· Dividida ao meio pelo septo nasal
🧱 2. Septo Nasal (divisão medial)
· Parte anterior: formada por cartilagem hialina
· Parte posterior: formada por ossos:
· Vômer
· Lâmina perpendicular do etmoide
· Maxila
· Palatinos
3. Conexões com Outras Estruturas
· Anteriormente: conecta-se ao nariz externo
· Posteriormente: comunica-se com a faringe pelos cóanos
· Aberturas importantes:
· Ductos dos seios paranasais (drenam muco)
· Ductos lacrimonasais (drenam lágrimas)
4. Seios Paranasais (associados à cavidade nasal)
· Cavidades nos ossos:
· Frontal
· Esfenoide
· Etmoide
· Maxila
· Funções:
· Produzem muco
· Atuam como câmaras de ressonância vocal
 5. Estruturas Ósseas da Cavidade Nasal
· Paredes laterais: ossos
· Etmoide
· Maxila
· Lacrimal
· Palatino
· Concha nasal inferior
· Teto: osso etmoide
· Assoalho: palato duro (palatinos + processos palatinos da maxila)
 6. Vestíbulo Nasal
· Parte anterior da cavidade nasal, logo após as narinas
· Circundada por cartilagem
· Área de transição entre o nariz externo e a cavidade nasal interna
 7. Divisão Funcional da Cavidade Nasal
· Parte respiratória (inferior e maior):
· Revestida por epitélio colunar pseudoestratificado ciliado
· Contém células caliciformes → secreção de muco
· Chamado de epitélio respiratório
· Parte olfatória (superior e menor):
· Contém o epitélio olfatório (neurônios sensoriais responsáveis pelo olfato)
FARINGE
Localização e Estrutura Geral
· Tubo em forma de funil, com ~13 cm de comprimento.
· Estende-se dos cóanos até a cartilagem cricóidea (a mais inferior da laringe).
· Posterior às cavidades nasal e oral, anterior às vértebras cervicais e superior à laringe.
· Composta por músculos esqueléticos e revestida por mucosa.
· Músculos esqueléticos mantêm a faringe patente (aberta) e participam da deglutição.
 Funções da Faringe
· Via comum para ar e alimento.
· Câmara de ressonância para sons da fala.
· Abriga as tonsilas, que atuam na imunidade.
 Divisões Anatômicas da Faringe
1. Nasofaringe (Parte nasal da faringe)
· Localiza-se posterior à cavidade nasal até o palato mole.
· Função exclusivamente respiratória.
· Revestida por epitélio colunar pseudoestratificado ciliado.
· Cílios movem o muco em direção à porção inferior.
· 5 aberturas na parede:
· 2 cóanos (ar da cavidade nasal)
· 2 óstios das trompas auditivas (equalização da pressão)
· 1 abertura para a orofaringe
· Contém a tonsila faríngea na parede posterior.
2. Orofaringe (Parte oral da faringe)
· Localiza-se posterior à cavidade oral, do palato mole ao osso hioide.
· Via comum para ar, alimento e líquidos.
· Revestida por epitélio escamoso estratificado não queratinizado (resistente à abrasão).
· Contém as tonsilas palatinas e linguais.
· Única abertura: fauce (conecta à boca).
3. Laringofaringe (Parte laríngea da faringe)
· Inicia-se no nível do osso hioide.
· Abre-se em:
· Esôfago posteriormente (digestivo)
· Laringe anteriormente (respiratório)
· Funções respiratória e digestiva.
· Revestida por epitélio escamoso estratificado não queratinizado (resistência mecânica).
9. O sistema respiratório inferior inclui a laringe, a traqueia, os brônquios e os pulmões. Desta forma, descreva a estrutura anatômica da laringe, conforme a imagem abaixo.
PRINCIPIOS DE ANATOMIA E FISIOLOGIA 1154
Laringe – Estrutura, Função e Anatomia
1. Localização
· Pequena conexão entre a faringe laríngea e a traqueia
· Linha média do pescoço, anterior ao esôfago
· Estende-se das vértebras C4 a C6
2. Estrutura da Parede da Laringe
· Composta por 9 cartilagens:
· 3 cartilagens ímpares:
· Cartilagem tireóidea
· Epiglote
· Cartilagem cricóidea
· 3 cartilagens pares:
· Cartilagens aritenóideas
· Cartilagens corniculadas
· Cartilagens cuneiformes
3. Cartilagens Ímpares
· Cartilagem tireóidea (pomo de Adão):
· Formada por duas lâminas de cartilagem hialina
· Forma a parede anterior da laringe
· Mais saliente em homens devido à ação dos andrógenos
· Epiglote:
· Cartilagem elástica em forma de folha
· Parte inferior (pecíolo) ligada à cartilagem tireóidea
· Atua como válvula durante a deglutição, cobrindo a glote
· Cartilagem cricóidea:
· Anel de cartilagem hialina
· Marca a base da laringe
· Liga-se à traqueia por meio do ligamento cricotraqueal
4. Cartilagens Pares
· Aritenóideas:
· Cartilagem hialina
· Controlam a posição e tensão das pregas vocais
· Corniculadas:
· Cartilagem elástica
· Localizadas no ápice das aritenóideas
· Cuneiformes:
· Cartilagem elástica em forma de taco
· Anterior às corniculadas, ajudam a sustentar as pregas vocais e a epiglote
 5. Pregas Vocais e Cavidade Laríngea
· Pregas vestibulares (falsas): parte superior
· Pregas vocais (verdadeiras): envolvidas na fonação
· Espaço entre as pregas vocais: glote
· Regiões da cavidade:
· Vestíbulo da laringe: acima das pregas vestibulares
· Cavidade infraglótica: abaixo das pregas vocais
6. Músculos da Laringe
· Músculos extrínsecos: ligam a laringe a outras estruturas do pescoço
· Músculos intrínsecos: conectam as cartilagens entre si
7. Revestimento Epitelial
· Acima das pregas vocais: epitélio escamoso estratificado não queratinizado
· Abaixo das pregas vocais: epitélio colunar pseudoestratificado ciliado
· Células:
· Colunares ciliadas
· Caliciformes (produção de muco)
· Basais
8. Mecanismo de Proteção
· Deglutição:
· A laringe se eleva
· A epiglote fecha a glote
· Impede a entrada de alimentos nas vias respiratórias
· Reflexo de tosse: ocorre ao detectar partículas irritantes (poeira, fumaça, etc.)
10. Identifique as estruturas sinalizadas pela seta, relatando a função da traqueia em relação ao processo respiratório:
 TRAQUEIA – ANATOMIA, CARTILAGENS E FUNÇÃO NA RESPIRAÇÃO (DETALHADO)
 1. Visão Geral da Traqueia
· Tubo fibrocartilaginoso localizado anterior ao esôfago.
· Inicia-se na borda inferior da cartilagem cricoidea (nível da vértebra C6) e termina na bifurcação da carina (nível de T4-T5).
· Mede cerca de 10–12 cm de comprimento e 2 cm de diâmetro em adultos.
· É a principal via de condução de ar da laringe para os brônquios.
 2. Funções Fisiológicas da Traqueia
· Condução do ar entre laringe e pulmões.
· Filtração e limpeza do ar por meio do epitélio respiratório ciliado, que remove partículas e muco.
· Aquecimento e umidificação do ar inspirado.
· Atua na expulsão de partículas por meio do reflexo de tosse.
 ESTRUTURAS ANATÔMICAS E FUNCIONAIS DA TRAQUEIA
🔹 3. Cartilagens Traqueais
· Compostaspor cartilagem hialina.
· Formam 16 a 20 anéis em forma de “C” (incompletos posteriormente).
· Função: Evitam o colabamento da traqueia durante a respiração.
· Mantêm a luz da traqueia permeável ao fluxo de ar.
· A abertura posterior de cada anel permite expansão do esôfago durante a deglutição.
4. Parte Membranácea da Traqueia
· Localizada na porção posterior, onde os anéis cartilaginosos são abertos.
· Composta por tecido conjuntivo, músculo traqueal liso e túnica mucosa.
· Função: Permitir distensão do esôfago ao engolir alimentos.
· É o local de ação do músculo traqueal.
5. Músculo Traqueal (Musculus trachealis)
· Músculo liso que une as extremidades livres posteriores dos anéis traqueais.
· Contração:
· Reduz o diâmetro da traqueia → aumenta a velocidade do fluxo de ar (especialmente útil na tosse).
· Ajuda na expulsão de secreções, corpos estranhos ou muco.
6. Glândulas Traqueais
· Localizadas na submucosa.
· Glândulas seromucosas (produzem muco e componentes líquidos).
· Função: Produção de muco para:
· Capturar partículas inaladas.
· Umidificar o ar inspirado.
· Trabalham junto ao epitélio colunar pseudoestratificado ciliado.
 7. Ligamentos Anulares
· Tecido conjuntivo que liga os anéis cartilaginosos entre si.
· Proporciona elasticidade e flexibilidade à traqueia.
· Permite movimentos respiratórios suaves e resistência à compressão.
 8. Bifurcação da Traqueia (Carina)
· Ocorre no nível da vértebra T4-T5 (ângulo do esterno).
· Divide-se em:
· Brônquio principal direito (mais curto, mais largo e mais vertical).
· Brônquio principal esquerdo (mais longo e mais horizontal).
· A carina possui epitélio extremamente sensível → estimula reflexo de tosse quando irritada.
· Importante ponto anatômico em broncoscopias e intubações.
ENFOQUE: CARTILAGENS DA LARINGE RELACIONADAS À TRAQUEIA
 9. Cartilagem TIREÓIDEA
· Forma a parede anterior da laringe (pomo de Adão).
· Não está na traqueia, mas acima dela, formando a laringe.
· Importante para a proteção das pregas vocais.
 10. Cartilagem CRICÓIDEA
· Última cartilagem da laringe e única em forma de anel completo.
· Articula-se com a cartilagem tireoidea superiormente e une-se ao primeiro anel traqueal inferiormente.
· Conectada à traqueia pelo ligamento cricotraqueal.
· Local de referência para traqueostomia.
11. Cartilagens ARITENÓIDEAS
· Localizadas sobre a borda posterior da cricóidea.
· Controlam a posição e tensão das pregas vocais verdadeiras.
· Indiretamente importantes para manter a via aérea aberta durante a respiração.
12. Cartilagens CORNICULADAS
· Pequenas, em forma de chifre.
· Localizadas no ápice das aritenóideas.
· Auxiliam na movimentação e suporte das pregas vocais.
11. Descreva a estrutura anatômica dos pulmões e árvore bronquial 
1. Divisão da Traqueia
· A traqueia se bifurca na margem superior da vértebra T5.
· Forma dois brônquios principais: direito e esquerdo.
· O brônquio direito é mais vertical, curto e largo, favorecendo a entrada de corpos estranhos.
2. Características dos Brônquios Principais
· Contêm anéis incompletos de cartilagem.
· Revestimento de epitélio colunar pseudoestratificado ciliado.
3. Carina
· Estrutura interna na divisão da traqueia.
· Extremamente sensível: estimula reflexo da tosse.
· Alargamento/distorção pode indicar carcinoma de linfonodos próximos.
4. Ramificação da Árvore Brônquica
· Brônquios principais se dividem em brônquios lobares (1 por lobo pulmonar).
· Brônquios lobares se dividem em brônquios segmentares, que irrigam segmentos broncopulmonares.
· Brônquios segmentares → bronquíolos → bronquíolos terminais.
5. Células Exócrinas Bronquiolares
· Presentes nos bronquíolos terminais.
· Funções:
· Proteção contra toxinas.
· Produção de surfactante.
· Atuam como células-tronco epiteliais.
6. Zona de Condução x Zona Respiratória
· Bronquíolos terminais: fim da zona de condução.
· Início da zona respiratória ocorre nos bronquíolos respiratórios.
7. Mudanças Estruturais na Ramificação da Árvore Brônquica
a) Epitélio
· Brônquios principais a lobares: colunar pseudoestratificado ciliado.
· Bronquíolos maiores: colunar simples ciliado com algumas células caliciformes.
· Bronquíolos menores: cúbico simples ciliado (sem células caliciformes).
· Bronquíolos terminais: cúbico simples não ciliado.
· Partículas inaladas são removidas por macrófagos onde não há cílios.
b) Cartilagem
· Anéis de cartilagem são gradualmente substituídos por placas e desaparecem nos bronquíolos distais.
c) Músculo Liso
· Aumenta à medida que a cartilagem diminui.
· Circunda o lúmen em faixas espiraladas.
· Importante para manter a permeabilidade das vias aéreas.
· Espasmos podem causar obstruções (como em crises de asma).
8. Regulação Nervosa e Hormonal da Árvore Brônquica
a) Sistema Nervoso Simpático + Medula Suprarrenal:
· Liberação de epinefrina e norepinefrina.
· Relaxamento do músculo liso → dilatação brônquica → melhor ventilação.
b) Sistema Nervoso Parassimpático + Reações Alérgicas:
· Liberação de histamina e outros mediadores.
· Contração do músculo liso → constrição das vias aéreas.
 1. Estrutura Geral dos Pulmões
· Pulmões: órgãos cônicos e pareados localizados na cavidade torácica.
· Separados pelo mediastino (contém o coração e outras estruturas).
· O trauma em um pulmão não afeta diretamente o outro, graças à separação anatômica.
 2. Pleura e Cavidade Pleural
· Pleura: túnica serosa de dupla camada que reveste os pulmões.
· Pleura parietal: reveste a parede da cavidade torácica.
· Pleura visceral: recobre diretamente o pulmão.
· Cavidade pleural:
· Espaço entre as pleuras, contendo líquido pleural.
· Funções:
· Reduz o atrito durante a respiração.
· Cria tensão superficial que mantém as pleuras unidas.
· Doenças pleurais:
· Pleurisia/pleurite: inflamação da pleura com dor.
· Derrame pleural: acúmulo anormal de líquido pleural.
3. Anatomia Externa dos Pulmões
· Base: parte inferior, côncava, repousa sobre o diafragma.
· Ápice: parte superior estreita, se projeta acima da clavícula.
· Face costal: em contato com as costelas.
· Face mediastinal:
· Contém o hilo pulmonar (entrada/saída de vasos, brônquios e nervos).
· No pulmão esquerdo há a incisura cardíaca.
· Diferenças:
· Pulmão esquerdo: menor (10%) por conta do coração.
· Pulmão direito: mais largo e espesso, porém mais curto (por conta do fígado).
4. Limites e Procedimentos Clínicos
· Limites dos pulmões:
· Estendem-se da 6ª cartilagem costal anterior à T10 posteriormente.
· Limites da pleura:
· Estendem-se da 6ª costela até a 12ª posteriormente.
· Toracocentese:
· Procedimento para remoção de líquido pleural.
· Realizado no 7º espaço intercostal, acima da costela inferior (evita lesão dos nervos e vasos).
🫀 5. Lobos e Fissuras
· Fissuras dividem os pulmões em lobos:
· P. esquerdo: 2 lobos (superior e inferior) — fissura oblíqua.
· P. direito: 3 lobos (superior, médio, inferior) — fissura oblíqua e horizontal.
· Cada lobo recebe um brônquio lobar (brônquios secundários).
🫁 6. Segmentos e Lóbulos Pulmonares
· Segmentos broncopulmonares:
· Cada lobo é dividido em segmentos (~10 por pulmão).
· Supridos por brônquios segmentares (3ª ordem).
· Cirurgicamente removíveis individualmente.
· Lóbulos:
· Compartimentos menores dentro dos segmentos.
· Cada lóbulo contém:
· 1 bronquíolo terminal
· arteríola, vênula, vaso linfático
 7. Ramificações da Árvore Brônquica
· Dos brônquios principais até os ductos alveolares: ~25 níveis de ramificações.
· Brônquios principais → lobares → segmentares → bronquíolos terminais → bronquíolos respiratórios → ductos alveolares.
· Bronquíolos respiratórios:
· Início da zona respiratória (onde ocorre troca gasosa).
· Revestimento epitelial muda: cúbico simples → escamoso simples.
 8. Alvéolos e Sacos Alveolares
· Alvéolos:
· Pequenas evaginações com epitélio escamoso simples.
· Sacos alveolares:
· Conjunto de 2 ou mais alvéolos compartilhando uma abertura.
 Tipos Celulares nos Alvéolos:
· Tipo I (epiteliais escamosas):
· Revestimento contínuo.
· Principal local de troca gasosa.
· Tipo II (células septais):
· Secretamlíquido alveolar com surfactante.
· Surfactante reduz tensão superficial e previne colapso dos alvéolos.
· Macrófagos alveolares:
· Fazem limpeza de partículas inaladas.
· Fibroblastos:
· Produzem fibras elásticas e reticulares.
9. Membrana Respiratória
· Estrutura onde ocorre a troca gasosa entre sangue e ar.
· Quatro camadas:
· Células alveolares tipo I e II + macrófagos.
· Membrana basal epitelial.
· Membrana basal capilar (geralmente fundida com a epitelial).
· Endotélio capilar.
· Extremamente fina: ~0,5 μm (ideal para difusão de O₂ e CO₂).
· Área total para trocas gasosas: ~70 m² (tamanho de uma quadra de squash).
12. Identifique os vasos sanguíneos e suas ramificações para brônquios, bronquíolos e pulmões.
1164 E NETTER
1. Dupla Irrigação dos Pulmões
Os pulmões recebem sangue por dois conjuntos de vasos:
· Artérias pulmonares (circulação funcional)
· Ramos bronquiais da aorta torácica (circulação nutricional)
2. Circulação Funcional – Trocas Gasosas
· Tronco pulmonar carrega sangue venoso (desoxigenado) do ventrículo direito.
· Divide-se em:
· Artéria pulmonar direita → pulmão direito
· Artéria pulmonar esquerda → pulmão esquerdo
· Função: Levar sangue aos alvéolos para oxigenação.
· O sangue oxigenado retorna ao coração pelas quatro veias pulmonares → átrio esquerdo.
🧠 Curiosidade: As artérias pulmonares são as únicas artérias do corpo que transportam sangue desoxigenado.
3. Circulação Nutricional – Suprimento dos Tecidos Pulmonares
· Ramos bronquiais originados da aorta torácica.
· Leva sangue oxigenado para as paredes musculares dos brônquios e bronquíolos.
· Parte desse sangue:
· Retorna ao coração pelas veias pulmonares.
· Outra parte drena pelas veias bronquiais → sistema ázigo → veia cava superior.
4. Regulação da Perfusão Pulmonar – Hipoxia e Vasoconstrição
· Resposta pulmonar à hipoxia local: vasoconstrição dos vasos pulmonares.
· Redireciona o fluxo para áreas bem ventiladas.
· Objetivo: Otimizar as trocas gasosas.
· Nos demais tecidos do corpo, a hipoxia causa vasodilatação (o contrário).
📌 Esse mecanismo é chamado de equilíbrio ventilação-perfusão.
13.Explique o processo de inspiração e expiração (destaque à relação das pressões), destacando quais músculos participam do processo na figura 6A, e explique a relação do diafragma, com a imagem 6B.
TORTORA1168 SILTERTON 576 GYTON512
O processo de troca gasosa no corpo, chamado de respiração, tem três passos básicos: A ventilação pulmonar, ou respiração, é a inspiração (inalação) e expiração (exalação) do ar e envolve a troca de ar entre a atmosfera e os alvéolos dos pulmões. A respiração externa (pulmonar) é a troca de gases entre os alvéolos dos pulmões e o sangue nos capilares pulmonares através da membrana respiratória. Neste processo, o sangue capilar pulmonar ganha O2 e perde CO2. A respiração interna (tecidual) é a troca de gases entre o sangue nos capilares sistêmicos e as células teciduais. Nesta etapa, o sangue perde O2 e ganha CO2. Dentro das células, as reações metabólicas que consomem O2 e liberam CO2 durante a produção de ATP são denominadas respiração celular (discutida no Capítulo 25). Na ventilação pulmonar, o ar flui entre a atmosfera e os alvéolos dos pulmões em decorrência das diferenças de pressão alternadas produzidas pela contração e pelo relaxamento dos músculos respiratórios. A taxa de fluxo de ar e o esforço necessário para a respiração também são influenciados pela tensão superficial alveolar, complacência dos pulmões e resistência das vias respiratórias
🌬️ Ventilação Pulmonar: Movimento do Ar
· O ar entra nos pulmões (inspiração) quando a pressão intraalveolar é menor que a pressão atmosférica.
· O ar sai dos pulmões (expiração) quando a pressão intraalveolar é maior que a pressão atmosférica.
📥 Inspiração (Inalação)
🔹 Pressões:
· Pressão atmosférica ≈ 760 mmHg
· Pressão intraalveolar ↓ para ~758 mmHg durante a inspiração
· Diferença de pressão → ar entra nos pulmões
🔹 Como isso acontece?
· Aumenta-se o volume pulmonar → diminui a pressão (📉 Lei de Boyle)
· O diafragma se contrai e desce
· Os intercostais externos elevam as costelas
· Resultado: a cavidade torácica se expande → pressão cai → ar entra
🔹 Inspiração forçada (durante exercício):
· Envolvimento de músculos acessórios:
· Esternocleidomastóideo → eleva o esterno
· Escalenos → elevam 1ª e 2ª costelas
· Peitoral menor → eleva costelas III a V
🔸 Inspiração é sempre um processo ativo (envolve contração muscular)
📤 Expiração (Exalação)
🔹 Pressões:
· Pressão intraalveolar ↑ para ~762 mmHg
· O ar flui para fora dos pulmões
🔹 Como isso acontece?
· Processo passivo durante respiração tranquila
· Diafragma e intercostais externos relaxam
· Volume torácico ↓ → pressão ↑ → ar sai
🔹 Forças envolvidas:
1. Recolhimento elástico dos pulmões
2. Tensão superficial do fluido alveolar
🔹 Expiração forçada (ex: tosse, exercício):
· Se torna ativa
· Envolvimento de:
· Músculos abdominais → pressionam vísceras e sobem o diafragma
· Intercostais internos → puxam costelas para baixo
· Aumenta ainda mais a pressão intratorácica
📏 Lei de Boyle aplicada aos pulmões
"Pressão é inversamente proporcional ao volume"
· ↑ Volume → ↓ Pressão
· ↓ Volume → ↑ Pressão
Essa relação regula a movimentação do ar durante a respiração.:
🫁 Pressões que Causam o Movimento do Ar Pulmonar
📌 1. Pressão Pleural (Intrapleural)
Pressão do líquido entre a pleura visceral e a parietal.
· Normalmente negativa (sucção leve):
· 🧊 Início da inspiração: ≈ –5 cmH₂O
· 🫧 Durante inspiração: ↓ para –7,5 cmH₂O
· Essa sucção mantém os pulmões abertos e colados à parede torácica.
· A negatividade aumenta com a expansão da caixa torácica (inspiração).
· Durante a expiração, volta ao valor inicial (–5 cmH₂O).
🧠 Importância:
· Sem essa pressão negativa, os pulmões colapsariam (como um balão murchando).
📌 2. Pressão Alveolar (Intrapulmonar)
Pressão do ar dentro dos alvéolos.
· Em repouso (glote aberta, sem ar em movimento):
· Igual à atmosférica → 0 cmH₂O
Durante a inspiração:
· A pressão cai para ≈ –1 cmH₂O
· Isso puxa o ar para dentro dos pulmões (≈ 0,5 L de ar em 2 segundos)
Durante a expiração:
· A pressão sobe para ≈ +1 cmH₂O
· Isso empurra o ar para fora dos pulmões (também ≈ 0,5 L em 2–3 segundos)
📌 3. Pressão Transpulmonar
Diferença entre a pressão alveolar e a pressão pleural
 (Pressão transpulmonar = P_alvéolos – P_pleural)
🔹 Exemplo durante a inspiração:
· Pressão alveolar = –1 cmH₂O
· Pressão pleural = –7,5 cmH₂O
· Transpulmonar = +6,5 cmH₂O
🧠 Significado:
· Mede a força de retração elástica dos pulmões.
· Quanto maior a pressão transpulmonar, maior a tendência do pulmão permanecer aberto.
· Essencial para superar a tensão superficial e manter os alvéolos inflados.
🫁 Movimento do Ar para os Alvéolos
· Para o ar entrar nos pulmões, a pressão alveolar deve ser menor que a atmosférica.
· Lei de Boyle: Aumento do volume → Redução da pressão.
📈 Inspiração e Volume Torácico
· Diafragma contrai → Move-se 1,5 cm para baixo → Aumenta o volume torácico.
· Contribui com 60 a 75% do volume inspirado.
💪 Ação dos Músculos Torácicos
· Intercostais externos e escalenos tracionam costelas para cima e para fora.
· Esse movimento contribui com os 25 a 40% restantes do volume.
🪜 Movimentos Analógicos
· Ação de alavanca: Costelas sobem e se afastam da coluna.
· Movimento de alça de balde: Costelas se expandem lateralmente.
🌬️ Efeito do Aumento de Volume
· Volume torácico aumenta → Pressão intrapulmonar cai → O ar entra.
🧠 Músculos Acessórios da Respiração
· Antes: escalenos e esternocleidomastoideo eram considerados ativos só na respiração profunda.
· Hoje: reconhece-se sua participação na respiração basal.
❗ Importância dos Escalenos
· Pacientes com escalenos paralisados:
· Diafragma contrai, mas puxa costelas inferiores para dentro, o que dificulta a inspiração.
· Escalenos ajudam a levantar o esterno e costelas superiores → facilitam a entrada de ar.
14. Descreva as características do sistema respiratório descrevendo suas atividades funcionais tanto na porção condutoraquanto na porção respiratória.
Claro! Vamos por partes:
🫁 Características do Sistema Respiratório
O sistema respiratório é responsável pela troca gasosa entre o corpo e o ambiente externo, essencial para a oxigenação do sangue e eliminação de dióxido de carbono. Ele é dividido em duas porções:
🔹 1. Porção Condutora
Função principal: transportar, umidificar, aquecer e filtrar o ar até os pulmões.
Estruturas envolvidas:
· Cavidade nasal
· Faringe
· Laringe
· Traqueia
· Brônquios principais
· Brônquios secundários e terciários
· Bronquíolos terminais
Atividades funcionais:
· Aquecimento e umidificação do ar inspirado
· Filtragem de partículas com cílios e muco
· Transporte do ar até a região onde ocorre a troca gasosa
· Produção de voz (pela laringe)
🔹 2. Porção Respiratória
Função principal: realizar as trocas gasosas entre o ar e o sangue (hematose).
Estruturas envolvidas:
· Bronquíolos respiratórios
· Ductos alveolares
· Sacos alveolares
· Alvéolos
Atividades funcionais:
· Troca de gases (O₂ e CO₂) por difusão através da membrana alvéolo-capilar
· Superfície altamente vascularizada para máxima eficiência
· Contém células produtoras de surfactante para reduzir a tensão superficial e evitar o colapso alveolar
15. Explique os três fatores que afetam a taxa de fluxo de ar e a facilitam da ventilação: a) A tensão superficial do líquido alveolar b) A complacência dos pulmões c) A resistência das vias respiratórias
TORTORA 1170
🫁 Fatores que Influenciam a Ventilação Pulmonar
1. 📈 Complacência Pulmonar
É a facilidade com que os pulmões e a parede torácica se expandem.
🔹 Alta complacência:
· Pouco esforço para expandir os pulmões.
· Pulmões normais com fibras elásticas funcionais + surfactante eficiente.
· Exemplo: pulmões saudáveis.
🔹 Baixa complacência:
· Difícil expansão dos pulmões.
· Exige mais trabalho para ventilar.
🔸 Causas comuns de baixa complacência:
1. Cicatrizes no tecido pulmonar (ex: tuberculose)
2. Edema pulmonar (acúmulo de líquido nos pulmões)
3. Deficiência de surfactante (ex: prematuros)
4. Paralisia muscular (intercostais/diafragma)
5. Enfisema pulmonar (destruição das fibras elásticas)
2. 🌬️ Resistência das Vias Aéreas
É a oposição ao fluxo de ar, principalmente nos bronquíolos.
🔹 Quanto maior a resistência, mais difícil é respirar.
· A resistência varia conforme o diâmetro das vias:
· Inspiração → bronquíolos se alargam → menor resistência
· Expiração → bronquíolos se estreitam → maior resistência
🔸 Broncodilatação:
· Estímulo simpático (SNA) → relaxa o músculo liso → diminui resistência
🔸 Aumento da resistência ocorre em:
· Asma
· DPOC (bronquite crônica e enfisema)
· Obstrução das vias aéreas
3. 💧 Tensão Superficial do Líquido Alveolar
Força que tende a colapsar os alvéolos, dificultando sua expansão.
🔹 Origem:
· Moléculas de água se atraem fortemente → força para dentro → reduz diâmetro dos alvéolos
🔹 Função do surfactante:
· Reduz a tensão superficial.
· Facilita a abertura dos alvéolos na inspiração.
· Mantém os alvéolos abertos após a expiração.
🔸 Sem surfactante:
· Alvéolos colapsam após a expiração.
· Exemplo: síndrome da angústia respiratória do recém-nascido (RN prematuro).
📌 Resumo Rápido: Três Fatores-Chave
	Fator
	Função principal
	Problemas relacionados
	Complacência
	Facilidade de expansão dos pulmões
	Tuberculose, edema, enfisema, prematuridade
	Resistência das vias aéreas
	Facilidade do fluxo de ar
	Asma, DPOC, broncoespasmos
	Tensão superficial
	Tendência dos alvéolos a colapsar
	Falta de surfactante, colapso alveolar
Se quiser, posso transformar tudo isso em mapa mental, infográfico ou flashcards pra estudo rápido. Quer?
7. Observe a imagem abaixar e descreva os componentes da capacidade e volume pulmonar e sua correlação. 
Perfeito! Vamos aprofundar esse conteúdo com explicações mais detalhadas, incluindo fisiologia, definições, fórmulas, e a relação clínica. Ideal para estudo universitário ou preparação para provas.
🫁 SISTEMA RESPIRATÓRIO – VOLUMES E CAPACIDADES PULMONARES
🔹 1. Volume Corrente (VC)
· Definição: Quantidade de ar que entra e sai dos pulmões em uma respiração tranquila.
· Valor médio:
 ♂ e ♀ = ~500 mL por respiração.
· Importância clínica: Base da ventilação minuto e da ventilação alveolar.
· Fato fisiológico: Somente 70% (~350 mL) chega aos alvéolos; o restante fica no espaço morto anatômico.
🔹 2. Frequência Respiratória (FR)
· Número de ciclos respiratórios por minuto.
· Valor em repouso:
 Adulto saudável: ~12 a 20 ciclos/minuto
 (média considerada: 12/min em cálculos básicos)
🔹 3. Ventilação Minuto (VM)
· Fórmula:
 VM = VC × FR
 Exemplo: 500 mL × 12 respirações/min = 6.000 mL/min ou 6 L/min
· Significado: Volume total de ar movimentado (inspirado + expirado) por minuto.
· Alterações clínicas:
·🌬️ Conceito de Trocas Gasosas
As trocas gasosas são processos que ocorrem por difusão simples de gases entre diferentes compartimentos, com base nas pressões parciais dos gases e suas solubilidades.
🔹 1. Respiração Externa (Troca Pulmonar de Gases)
Local: Alvéolos pulmonares ↔ capilares pulmonares
 Processo:
· O oxigênio difunde-se do ar alveolar (pO₂ = 105 mmHg) para o sangue venoso pulmonar (pO₂ = 40 mmHg).
· O dióxido de carbono difunde-se do sangue (pCO₂ = 45 mmHg) para o alvéolo (pCO₂ = 40 mmHg).
· Equilíbrio é atingido em 0,25 segundos, mais rápido que o tempo disponível para difusão (~0,75 s).
➕ Fatores facilitadores:
· Membrana respiratória muito fina (~0,5 µm)
· Grande área de superfície (~70 m²)
· Altíssima vascularização
🔹 2. Respiração Interna (Troca Tecidual de Gases)
Local: Capilares sistêmicos ↔ células dos tecidos
 Processo:
· O O₂ move-se do sangue arterial (pO₂ = 100 mmHg) para as células (pO₂ ≈ 40 mmHg).
· O CO₂ move-se das células (pCO₂ ≈ 45 mmHg) para o sangue (pCO₂ = 40 mmHg).
· O sangue venoso resultante retorna ao coração com menos oxigênio e mais dióxido de carbono.
🔹 3. Fatores que Afetam a Troca Gasosa
· Diferença de pressão parcial dos gases
· Área de superfície disponível
· Espessura da membrana alveolocapilar
· Solubilidade dos gases:
· CO₂ é 24x mais solúvel que o O₂
· Taxa de ventilação/perfusão (V/Q):
· Ideal: 1 (ventilação igual à perfusão)
· Desequilíbrios causam hipóxia ou hipercapnia
📘 Capítulo 23.5 – Transporte de Oxigênio e Dióxido de Carbono
🔹 1. Transporte de Oxigênio (O₂)
Origem: Alvéolos → sangue capilar pulmonar → tecidos
🧬 Formas de Transporte:
· 98,5% ligado à hemoglobina (Hb) nas hemácias:
 Hb + O₂ ⇌ HbO₂ (oxiemoglobina)
· 1,5% dissolvido no plasma (forma ativa para difusão)
🔁 Curva de Dissociação da Oxi-hemoglobina
· Relação entre pO₂ e saturação da Hb
· Curva sigmoide ("S") mostra como a afinidade da Hb por O₂ muda com o pO₂
· pO₂ elevado (pulmões): Hb se satura (~98%)
· pO₂ reduzido (tecidos): Hb libera O₂ (~25% liberado em repouso)
📉 Fatores que deslocam a curva para a direita (↓ afinidade da Hb por O₂):
· ↓ pH (acidose)
· ↑ pCO₂
· ↑ temperatura
· ↑ 2,3-BPG (produto dos eritrócitos) 👉 Facilitam liberação de O₂ nos tecidos
 (Efeito Bohr)
🔹 2. Transporte de Dióxido de Carbono (CO₂)
Origem: Células dos tecidos → capilares sistêmicos → alvéolos
🧬 Formas de Transporte:
1. 70% como íons bicarbonato (HCO₃⁻):
a. Nas hemácias:
 CO₂ + H₂O → H₂CO₃ → H⁺ + HCO₃⁻
 (Reação catalisada pela anidrase carbônica)
b. HCO₃⁻ sai da hemácia → entra Cl⁻ (Shift do cloreto)
2. 23% ligado à hemoglobina:
a. Hb + CO₂ ⇌ HbCO₂ (carboemoglobina)
3. 7% dissolvido no plasma
🔄 Reversibilidade nas Trocas
· Nos tecidos, CO₂ é convertido em HCO₃⁻.
· Nos pulmões, a reação se inverte:
· HCO₃⁻ → CO₂, que é exalado.
🧪 Papel na Regulação do pH
· O CO₂ é ácido volátil.
· Alterações na ventilação afetam o pH sanguíneo:
· Hipoventilação: ↑ CO₂ → ↑ H⁺ → acidose respiratória
· Hiperventilação: ↓ CO₂ → ↓ H⁺ → alcalose respiratória
🧠 Quadro Comparativo: Oxigênio vs CO₂
	Característica
	O₂
	CO₂
	Principal forma de transporte
	Hb-O₂ (98,5%)
	HCO₃⁻ (70%)
	Solubilidade
	Baixa
	Alta (24x maior que O₂)
	Pressão parcial alveolar
	105 mmHg
	40 mmHg
	Pressão parcial tecidual
	40 mmHg
	45 mmHg
	Efeito sobre o pH
	Indireto (via entrega de O₂)
	Direto (forma H⁺ no sangue)
📚 Aplicações Clínicas Relevantes
· Anemia: menos Hb → menor transporte de O₂
· DPOC: obstrução crônica → menor ventilação → ↑ CO₂
· Intoxicação por monóxido de carbono (CO):
· Compete com O₂ na Hb (200x mais afinidade)
· Acidose respiratória: ventilação deficiente
· Alcalose respiratória: hiperventilação (ex: ataque de pânico)
🧩 Fórmulas e Cálculos Importantes
Ventilação Minuto (VM):
Ventilação Alveolar (VA):
Volume de Reserva Inspiratório (VRI):
Homem: ~3.100 mL | Mulher: ~1.900 mL
Volume de Reserva Expiratório (VRE):
Homem: ~1.200 mL | Mulher: ~700 mL
Volume Residual (VR):
Homem: ~1.200 mL | Mulher: ~1.100 mL
Capacidade Vital (CV):
VC + VRI + VRE
 Homem: ~4.800 mL | Mulher: ~3.100 mL
Se quiser, posso transformar esse conteúdo em:
· Slides (estilo Canva)
· PDF formatado para impressão
· Quadros-resumo visuais
· Flashcards interativos
· Mapas mentais
Me avisa como prefere estudar que preparo rapidinho para você!
9. Explique a relação do sistema nervoso com o processo de respiração
Claro! Aqui está uma análise detalhada e organizada por tópicos com base no texto que você forneceu sobre o controle e regulação da respiração. Separei por seções para facilitar o entendimento:
🧠 1. Centro Respiratório (no Tronco Encefálico)
O centro respiratório está localizado no tronco encefálico (bulbo e ponte) e é composto por grupos de neurônios que controlam o ritmo e a profundidade da respiração:
🔹 1.1. Centro Respiratório Bulbar (no Bulbo)
Dividido em dois grupos principais:
✅ Grupo Respiratório Dorsal (GRD) – Área inspiratória
· Ativo na respiração tranquila (normal).
· Envia impulsos para:
· Diafragma via nervos frênicos
· Músculos intercostais externos via nervos intercostais
· Ciclo: 2s de contração (inspiração) + 3s de relaxamento (expiração passiva)
· Controla inspiração rítmica automática
✅ Grupo Respiratório Ventral (GRV) – Área expiratória
· Inativo durante respiração tranquila.
· Ativado durante respiração forçada (exercício, sopro, etc.).
· Contém o Complexo Pré-Bötzinger:
· Importante para geração do ritmo respiratório
· Possui células marcapasso respiratórias.
· Atua:
· Na inspiração forçada → ativa músculos acessórios (esternocleidomastóideo, escalenos, peitoral menor)
· Na expiração forçada → ativa músculos expiratório acessórios (intercostais internos, oblíquos, transverso e reto abdominal)
🔹 1.2. Grupo Respiratório Pontino (GRP) – Ponte
· Modula o ritmo respiratório básico do GRD/GRV.
· Atua tanto na inspiração quanto na expiração.
· Envolvido em ajustes finos, como ao falar, exercitar-se ou dormir.
· Recebe e envia informações para o centro respiratório bulbar.
⚙️ 2. Regulação da Respiração
A atividade do centro respiratório é modulada por informações periféricas e centrais para manter a homeostase:
🔹 2.1. Influência Cortical (Controle Voluntário)
· O córtex cerebral permite controle consciente da respiração (ex: prender a respiração).
· Importante em situações protetoras (evitar entrada de água ou gases tóxicos).
· O acúmulo de CO₂ e H⁺ anula esse controle → respiração recomeça automaticamente.
🔹 2.2. Quimiorreceptores (Sensores químicos)
✅ Centrais (no bulbo)
· Sensíveis ao pH e PCO₂ no líquido cerebrospinal
· Detectam aumento de H⁺ causado pelo CO₂ que forma ácido carbônico → estimula respiração
✅ Periféricos (nos glomos aórticos e caróticos)
· Detectam mudanças de PO₂, PCO₂ e H⁺ no sangue arterial
· Sinais enviados:
· Glomos caróticos → Nervo glossofaríngeo (IX)
· Glomos aórticos → Nervo vago (X)
🔁 Sistema de Feedback Negativo
· Aumento de PCO₂ / H⁺ ou queda de PO₂ → aumento da ventilação
· Hiperventilação → reduz CO₂ e H⁺ → respiração diminui até normalização
· Hiperventilação voluntária pode levar à hipocapnia → risco de desmaio
🔹 2.3. Proprioceptores
· Localizados em músculos e articulações
· Ao iniciar o exercício, mesmo sem alterações nos gases do sangue, a respiração aumenta
· Também influenciada por impulsos do córtex motor
🔹 2.4. Reflexo de Insuflação (Reflexo de Hering-Breuer)
· Receptores de estiramento nos brônquios e bronquíolos
· Impedem a hiperinsuflação dos pulmões
· Atuam quando o volume corrente excede 1500 mL
· Ativação envia sinal inibitório ao GRD → interrupção da inspiração
🔹 2.5. Outros Fatores que Influenciam a Respiração
	Estímulo
	Efeito Respiratório
	Sistema límbico
	Emoções (ansiedade, riso, choro) ↑ frequência respiratória
	Temperatura
	↑ Temperatura → ↑ respiração / ↓ temperatura → ↓ respiração
	Dor
	Dor intensa → apneia temporária / Dor prolongada → ↑ respiração
	Estiramento anal
	↑ respiração (usado em recém-nascidos ou reanimação)
	Irritação nas vias aéreas
	Provoca apneia seguida de tosse/espirro
	Pressão arterial
	↑ pressão → ↓ respiração/ ↓ pressão → ↑ respiração
🏃‍♂️ 3. Resumo – Resposta ao Exercício
· Em repouso: uso de ~200 mL de O₂/min.
· Exercício moderado/intenso: consumo de O₂ pode aumentar de 15 a 30 vezes!
· Mecanismos ativados:
· Proprioceptores
· Ativação do GRV para respiração forçada
· Aumento de CO₂ e H⁺ → estimula quimiorreceptores
· Influências corticais e emocionais
image1c.png
image1a.png
image7.png
image19.png
image4.png
imaged.png
image1d.png
image14.png
image15.png
image3.png
image6.png
image8.png
image10.png
image13.png
image18.png
imageb.png
imagec.png
image12.png
image.png
image1b.png
image11.png
image9.png
imagef.png
image16.png
image5.png
imagea.png
image17.png
imagee.png
image2.png

Mais conteúdos dessa disciplina