Logo Passei Direto
Buscar

ATIVIDADE PRÁTICA DE DOENÇAS DA VESÍCULA BILIAR

Ferramentas de estudo

Questões resolvidas

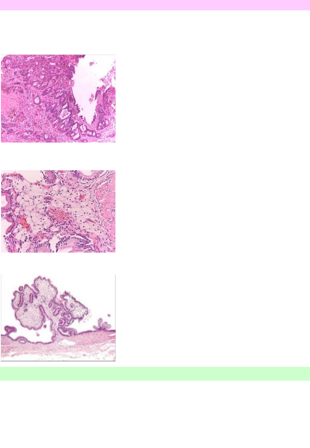
Observe a imagem abaixo referente ao exame anatomopatológico de uma vesícula biliar.
Assinale a alternativa correta
A) Trata-se de uma colicistite crônica onde são observados os seios de Rokitansky-Aschoff
B) Trata-se de um adenocarcinoma de vesícula biliar pouco diferenciado invadindo a serosa do órgão
C) Trata-se de uma colecistite aguda onde é observado dilatação de glândulas vesiculares e infiltrado neutrofílico

Material
páginas com resultados encontrados.
páginas com resultados encontrados.
left-side-bubbles-backgroundright-side-bubbles-background

Crie sua conta grátis para liberar esse material. 🤩

Já tem uma conta?

Ao continuar, você aceita os Termos de Uso e Política de Privacidade

left-side-bubbles-backgroundright-side-bubbles-background

Crie sua conta grátis para liberar esse material. 🤩

Já tem uma conta?

Ao continuar, você aceita os Termos de Uso e Política de Privacidade

left-side-bubbles-backgroundright-side-bubbles-background

Crie sua conta grátis para liberar esse material. 🤩

Já tem uma conta?

Ao continuar, você aceita os Termos de Uso e Política de Privacidade

left-side-bubbles-backgroundright-side-bubbles-background

Crie sua conta grátis para liberar esse material. 🤩

Já tem uma conta?

Ao continuar, você aceita os Termos de Uso e Política de Privacidade

Questões resolvidas

Observe a imagem abaixo referente ao exame anatomopatológico de uma vesícula biliar.
Assinale a alternativa correta
A) Trata-se de uma colicistite crônica onde são observados os seios de Rokitansky-Aschoff
B) Trata-se de um adenocarcinoma de vesícula biliar pouco diferenciado invadindo a serosa do órgão
C) Trata-se de uma colecistite aguda onde é observado dilatação de glândulas vesiculares e infiltrado neutrofílico

Prévia do material em texto

ATIVIDADE PROCESSOS FISIOPATOLÓGICOS 2 – 4º SEMESTRE – UNINOVE VERGUEIRO 
MARIANA MARQUES – T29 
ATIVIDADE PRÁTICA DE DOENÇAS DA VESÍCULA BILIAR 
 
1- Assinale a alternativa que indica a microscopia mais representativa de um Adenocarcinoma de vesícula 
biliar 
A) 
 
 
B) 
 
 
C) 
 
RESPOSTA CORRETA: LETRA A 
 
 
 
 
 
ATIVIDADE PROCESSOS FISIOPATOLÓGICOS 2 – 4º SEMESTRE – UNINOVE VERGUEIRO 
MARIANA MARQUES – T29 
2- uma criança com anemia falciforme apresenta quadro agudo de dor em hipocôndrio direito e, após 
resolução do quadro agudo, é encaminhada para cirurgia de vesícula biliar. Qual das imagens deve ser 
mais provável neste caso? 
A) 
 
 
B) 
 
C) 
 
RESPOSTA CORRETA: LETRA A 
 
 
ATIVIDADE PROCESSOS FISIOPATOLÓGICOS 2 – 4º SEMESTRE – UNINOVE VERGUEIRO 
MARIANA MARQUES – T29 
3- Uma mulher de 87 anos apresenta quadro de icterícia e dor em hipocôndrio direito e após exames, é 
submetida a cirurgia de vesícula biliar. Qual da alternativas abaixo seria mais consistente com a imagem 
mostrada na figura? 
 
A) pólipo de colesterol 
B) adenomiose 
C) adenocarcinoma de vesícula biliar 
 
 
4- Observe a imagem abaixo referente ao exame anatomopatológico de uma vesícula biliar e assinale a 
alternativa correta 
 
 
A) Trata-se de uma colicistite crônica onde são observados os seios de Rokitansky-Aschoff 
B) Trata-se de um adenocarcinoma de vesícula biliar pouco diferenciado invadindo a serosa do órgão 
C) Trata-se de uma colecistite aguda onde é observado dilatação de glândulas vesiculares e infiltrado 
neutrofílico 
 
ATIVIDADE PROCESSOS FISIOPATOLÓGICOS 2 – 4º SEMESTRE – UNINOVE VERGUEIRO 
MARIANA MARQUES – T29 
5- Assinale a alternativa que, mais provavelmente, se relaciona um das causas da doença apresentada na 
imagem. 
 
 
A) Colite ulcerativa 
B) Anemia hemolítica 
C) Obesidade

Mais conteúdos dessa disciplina