Logo Passei Direto
Buscar
Material
páginas com resultados encontrados.
páginas com resultados encontrados.

Prévia do material em texto

Colo uterino - Anatomicamente divido em: 
• Ectocervice: região exposta no canal vaginal. Ep. escamoso estr. ñ querat. Função: 
Revestimento e proteção. 
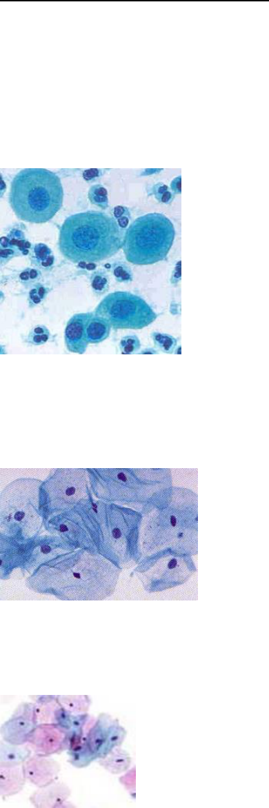
- Células basais e parabasais: região profunda do epitélio. Arredondadas, citoplasma 
arredondado e ovalado, núcleo grande, ocupa mais que 50% da área celular total. 
Predominam em amostras de mulheres com baixa atividade ovariana (pré-menarca, pós-
menopausa, puerpério, lactação). 
 
- Células intermediárias: região intermediária do epitélio. Forma poligonal, citoplasma 
abundante e cianófilo, núcleo arredondado e cromatina finamente granular. 
Predominam em amostras sob elevado efeito da progesterona (gestação, fase lútea, terapia 
hormonal). 
 
- Células superficiais: região superficial do epitélio. Citoplasma abundante, são cianófilas ou 
eosinófilas, núcleo pequeno, central. 
Predominam em amostras de mulheres sob elevado efeito estrogênico. 
 
• Endocervice: canal de comunicação entre a vagina e o corpo do útero. Ep. colunar 
simples. Função: Produção de muco. 
- Células colunares, pequenas com núcleo grande, se comparado ao tamanho total da célula, 
podem ser do tipo mucípara (produtora de muco) ou ciliada. Quando aparecem agrupadas: 
paliçada ou favo-de-mel. 
 
• JEC (Junção escamo – colunar): Ponto histológico onde os dois epitélios se encontram. 
Região de maior incidência de colo uterino, o HPV atinge a JEC principalmente quando 
há inflamação e/ou metaplasia. 
 
- Eversão do epitélio colunar: Elevada atividade ovariana; Gestação; Contraceptivos; Efeito 
progestacional. 
 
- Internalização do epitélio escamoso: Baixa atividade ovariana; Pós-menopausa. 
 
• Céls. Endometriais: Podem aparecer até o 10º dia do ciclo menstrual, descamam em 
blocos tridimensionais (geralmente em bolas), núcleos pequenos. 
- Significado: Mulheres jovens, em fase proliferativa do ciclo, não precisam ser relatadas; 
Mulheres +40 anos, podem estar associadas a carcinoma de endométrio, mesmo quando são 
típicas; Mulheres menopausadas oferece risco maior de associação com carcinoma do 
endométrio (mesmo quando típicas). 
 
Coleta de amostras para Citologia Cervicovaginal 
Critérios: Não estar menstruada; Abstenção sexual 48 horas ;Não realizar ultrassom 
transvaginal/cremes vaginais/ duchas vaginais (48 horas). 
Materiais: Escova endocervical; Espátula de Ayre; Frasco de fixador; Coletor; Lápis; Laminas de 
vidro; Especulo. 
Alterações benignas 
Inflamação: Resposta dos tecidos às lesões ocasionadas por vários agentes como 
bactérias, vírus, fungos, parasitas, trauma, reações químicas, calor, frio ou radiação. 
Atrofia com inflamação: Fundo do esfregaço com material amorfo e basófilo, 
resultante da degeneração celular. Células parabasais com características inflamatórias. 
 
 
Reparo: Processo ativado logo após lesão de maior ou menor grau dos tecidos 
epiteliais e conjuntivo. Critérios citológicos: Difícil diferenciação do epitélio de origem (colunar 
ou escamoso); Grupamentos celulares com citoplasma denso (fumaça); Anisonucleose; 
Cromatina granular; Núcleo claro; Nucléolos evidentes; Contorno nuclear regular; Mitose. 
Processos de proteção: 
• Hiperdiferenciação: mecanismo de proteção utilizado pelo epitélio escamoso 
estratificando quando sob estimulação crônica mais grave. 
- Acantose: O epitélio aumenta seu poder de proteção pelo aumento do número de camadas 
de células intermediárias. Não é observável na citologia. 
- Hiperqueratose: Queratinização da camada superficial do epitélio escamoso. 
- Paraqueratose: Processo de queratinização anormal do epitélio escamoso estratificado 
(ectocervical e da vagina). 
Climatério é o período da vida biológica da mulher que marca a transição do período 
reprodutivo para o não reprodutivo. É nesta fase que ocorre a menopausa, ou seja, a última 
menstruação. Declínio na produção de hormônios; Modificação da microbiota; Aumento do 
pH; Achatamento das camadas celulares do epitélio escamoso; Redução na produção de muco 
pelo epitélio glandular. 
Alterações associadas ao uso de DIU: Vacúolo citoplasmático deslocando o núcleo, 
aumento de volume nuclear com aumento da relação núcleo citoplasma. 
 
Alterações pós – radioterapia: Células em formatos bizarros. 
 
Metaplasia 
Fenômeno adaptativo que resulta em um novo tipo celular bem mais preparado para 
enfrentar um ambiente adverso. 
• Microbiologia Cervico Vaginal 
- Lactobacillus sp / Citolise: Causam citólise em células intermediárias do epitélio escamoso 
(ricas em glicogênio) são observadas no esfregaço núcleos livres, restos citoplasmáticos e 
numerosos lactobacilos; Promove a acidificação do meio (pH 3,8 a 4,5). 
 
- Cocos/Bacilos: é observada como uma mistura de cocos e bacilos; 
- Gardnerella vaginalis / Mobiluncus ssp: Ausência ou escassez de lactobacilos e de leucócitos. 
Responsável pela Vaginose bacteriana, caract. por corrimento vaginal cinzento, homogêneo e 
de odor forte. 
Numerosos bacilos diminutos que recobrem parcial ou totalmente as céls. escamosas e 
aderem a sua superfície. O núcleo, frequentemente é picnotico, esse padrão celular é 
chamado Clue Cell. 
 
- Actinomyces sp: Associados ao uso do DIU, abundante neutrófilos e macrófagos. 
 
- Chlamydia trachomatis: Infecção assintomática em 70% dos casos, sexualmente 
transmissível. Responsavel por colpites, cervicites e salpingites. Na citologia serão observadas 
céls. colunares ou metaplasicas c/ inclusões intracitoplasmática do tipo vacúolo bem 
delimitado e em seu interior inclusões eosinofilicas, numerosos leucócitos. 
 
- Leptothichia spp: Associada a infecção por Trichomonas vaginalis, quando isolada não a resp. 
inflamatória, apresentam – se como longos bacilos que se assemelham a fios de cabelos. 
 
- Candida sp: É uma levedura. A gravidez, obesidade, diabetes e tratamento com antibióticos 
imunossupressores favorecem seu desenvolvimento. Pode ser assintomática ou provocar 
leucorreias cremosas e espessas, brancas e com aspecto de leite talhado, sensação de 
queimadura e prurido. 
Exibem duas formas: Os esporos e os filamentos. 
Esfregaço tem padrão inflamatório com numerosos neutrófilos, muitas vezes degenerados, 
pseudoeosinofilia, halo perinuclear, aumento do volume nuclear, discreto aumento da 
afinidade tintorial da cromatina 
 
- Trichomonas vaginalis: Transmissivel por via sexual. Pode ser assintomático. Quando 
manisfesta veirifica –se: Leucorreia abundante, bolhosa, mal cheirosa e esverdeada. Flagelos 
são raramente observados. 
Presença do protozoário promove: alterações nas céls. ep., tais com pseudofilia , halo 
perinuclear, discreto aumento do volume nuclear, metacromasia, cariomegalia, binucleação, 
alteração de cromatina. 
 
- Herpes: Sexualmente transmissível. Paciente pode ser assitomatica ou haver episódios de dor 
e febre antes do aparecimento das lesões. Aspecto clinico: lesões que mostram vesículas 
múltiplas que se unem p/ formar ulceras que cicatrizam em cerca de 10d. 
O vírus infecta céls. escamosas, colunares e metaplasicas. Multinucleação, com aumento do 
volume nuclear e aumento do tamanho total da célula 
 
 
- HPV: Existem 200 tipos de HPV que infectam pele e mucosa. No genoma estão distribuídas 8 
ORF, as ORFs são classificadas em duas categorias: As de “expressão tardia” pela letra L e as de 
“expressão precoce” identificadas pela letra E. 
Paciente pode ser assintomática ou haver episódios de dor e febre antes do aparecimento das 
lesões. Infectam cels. Escamosas, metaplasicas e colunares. Multinucleação; Aumento do vol. 
nuclear; Cromatina com aspecto de vidro fosco; Amoldamento nuclear; Espessamento do 
envoltório nuclear; Alterações inflamatórias e númerosleucócitos. 
Classificação em citopatologia cervico vaginal 
- Papanicolaou 1943: Distingue 5 classes de esfregaços. Teve papel histórico, mas deve ser 
abandonada. 
- Reagan 1953: Introdução do termo displasia p/ descrever as lesões epiteliais menos 
marcadas que as do carcinoma. Distingue 3 graus de displasias: Leve, moderada e acentuada. 
- Richart 1967: Reuniu as lesões intra - epiteliais em um único grupo, as neoplasias 
intraepiteiais cervicais (NIC), que diferenciou e 3 categorias: NIC I, II E III. 
- Bethesda 1988: Propõe um modelo de laudo padronizado internacionalmente. 
O diagnóstico pode ser: 
- Dentro dos limites da normalidade; 
- ASC: Significado indeterminado, ñ deve ultrapassar 5% de diagnósticos da rotina laboratorial. 
. ASC – US: Provável não neoplásico. 
. ASC – H: Não pode ser afastada lesão intra-epitelial de alto grau. 
- LSIL (lesão intra-epitelial de baixo grau): Está relacionada a HPV; Céls. superficiais ou 
intermediarias; Núcleo até 3X maior; Bi ou multibucleação; Hipercromatismo; Contorno 
nuclear pode ser liso ou irregular; coilocitose e orangeofilia. 
Conduta clínica: repetir em 6 meses, se persistir, colposcopia. 
 
- HSIL (lesão intra-epitelial de alto grau): Céls. parabasais e pequenas; Hipercromasia nuclear é 
acompanhada por variações no tamanho do núcleo e na sua forma; Aumento da relação 
núcleo citoplasma; Cromatina fina ou grosseiramente granulosa e regular; Contorno nuclear é 
irregular e frequentemente apresenta entalhes. 
Conduta clínica: colposcopia e se lesão bem visível e limitada “ver e tratar” por CAF. 
 
- Carcinoma escamoso: Pleomorfismo celular e nuclear; Queratinização; Hipercromatismo; 
Céls. em formatos aberrantes; Diátese tumoral. 
 
- Adenocarcinoma: Céls. isoladas, em camadas bidimensionais ou agrupamentos 
tridimensionais. Nucleos aumentados, alongados, pleomorficos. Pode haver diátese, 
macronúcleos.

Mais conteúdos dessa disciplina