Logo Passei Direto
Buscar
Material
páginas com resultados encontrados.
páginas com resultados encontrados.
left-side-bubbles-backgroundright-side-bubbles-background

Crie sua conta grátis para liberar esse material. 🤩

Já tem uma conta?

Ao continuar, você aceita os Termos de Uso e Política de Privacidade

left-side-bubbles-backgroundright-side-bubbles-background

Crie sua conta grátis para liberar esse material. 🤩

Já tem uma conta?

Ao continuar, você aceita os Termos de Uso e Política de Privacidade

left-side-bubbles-backgroundright-side-bubbles-background

Crie sua conta grátis para liberar esse material. 🤩

Já tem uma conta?

Ao continuar, você aceita os Termos de Uso e Política de Privacidade

left-side-bubbles-backgroundright-side-bubbles-background

Crie sua conta grátis para liberar esse material. 🤩

Já tem uma conta?

Ao continuar, você aceita os Termos de Uso e Política de Privacidade

Prévia do material em texto

LISTA DE EXERCÍCIOS
RFM 0012 - APARELHO LOCOMOTOR 
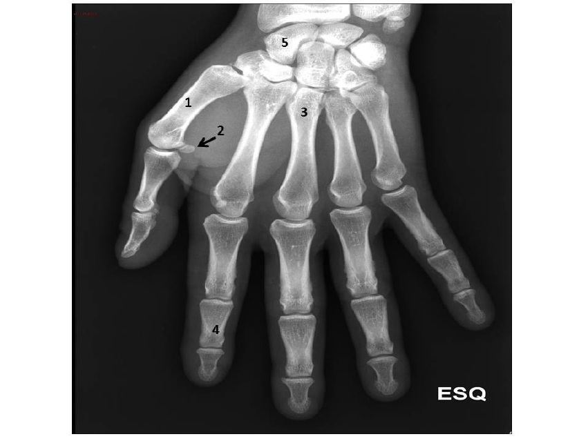
1. Identifique os ossos no raio x da mão:
2. Identifique os ossos no raio x do tórax:
3. Identifique os ossos no raio x do crânio:
4. Quais são as 2 divisões do esqueleto?
5. Classifique os ossos do esqueleto axial. 
6. Quais são as características de um osso longo?
7. O que é periósteo? Qual sua função?
8. Quais são os dois tipos de articulações? Compare.
9. Quais são as características de uma articulação sinovial? 
10. O que é ventre muscular, tendão e aponeurose?
image1.jpeg
image2.jpeg
image3.jpeg

Mais conteúdos dessa disciplina